购物车
  • 全部删除
  • TargetMol
    您的购物车当前为空

Anti-CST3 Antibody (6K312)

一键复制产品信息
Rating icon 还可以
产品编号 TMAC-01066
别名 γ-trace, Post-γ-globulin, Post-gamma-globulin, Neuroendocrine basic polypeptide, Gamma-trace, Cystatin-C, Cystatin-3, CST3

Anti-CST3 Antibody (6K312) 是一种 Rabbit 抗体,靶向 CST3。Anti-CST3 Antibody (6K312) 可用于 IHC,WB。

Anti-CST3 Antibody (6K312)

Anti-CST3 Antibody (6K312)

一键复制产品信息
Rating icon 还可以
产品编号 TMAC-01066 别名 γ-trace, Post-γ-globulin, Post-gamma-globulin, Neuroendocrine basic polypeptide, Gamma-trace, Cystatin-C, Cystatin-3, CST3

Anti-CST3 Antibody (6K312) 是一种 Rabbit 抗体,靶向 CST3。Anti-CST3 Antibody (6K312) 可用于 IHC,WB。

规格价格库存数量
50 μL
¥ 1,480
5日内发货
100 μL
¥ 2,485
5日内发货
大包装 & 定制
加入购物车
TargetMol 的所有产品仅用作科学研究或药证申报,不能被用于人体,我们不向个人提供产品和服务。请您遵守承诺用途,不得违反法律法规规定用于任何其他用途。
实验操作小课堂
常见问题解答
查看更多
联系我们获取更多批次信息
资源下载

产品介绍

生物活性
产品描述
Anti-CST3 Antibody (6K312) is a Rabbit antibody targeting CST3. Anti-CST3 Antibody (6K312) can be used in IHC,WB.
别名γ-trace, Post-γ-globulin, Post-gamma-globulin, Neuroendocrine basic polypeptide, Gamma-trace, Cystatin-C, Cystatin-3, CST3
Ig Type
IgG
克隆号
6K312
交叉反应
Human,Mouse,Rat
验证活性
1. Western blot analysis of Cystatin C on different lysates using anti-Cystatin C antibody at 1/1,000 dilution. Positive control: Lane 1: Hela, Lane 2: Mouse spleen.
2. Immunohistochemical analysis of paraffin-embedded human liver cancer tissue using anti-Cystatin C antibody. Counter stained with hematoxylin.
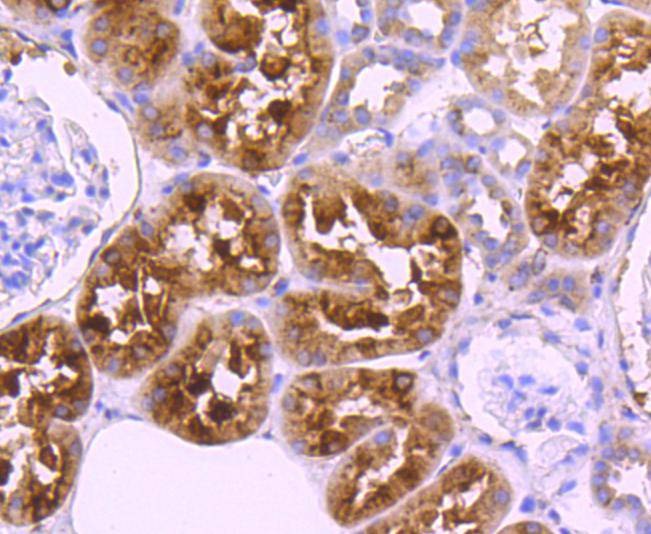
3. Immunohistochemical analysis of paraffin-embedded human kidney tissue using anti-Cystatin C antibody. Counter stained with hematoxylin.
4. Immunohistochemical analysis of paraffin-embedded mouse brain tissue using anti-Cystatin C antibody. Counter stained with hematoxylin.
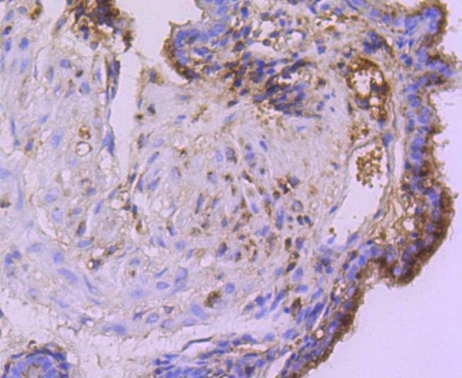
5. Immunohistochemical analysis of paraffin-embedded mouse placenta tissue using anti-Cystatin C antibody. Counter stained with hematoxylin.
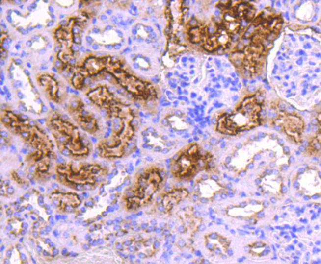
6. Immunohistochemical analysis of paraffin-embedded mouse kidney tissue using anti-Cystatin C antibody. Counter stained with hematoxylin.
verifiedActivityverifiedActivityverifiedActivityverifiedActivityverifiedActivityverifiedActivity
应用IHCWB
推荐剂量
WB: 1:1000-2000; IHC: 1:50-200
抗体种类
Monoclonal
宿主来源Rabbit
构建方式Recombinant Antibody
纯化方式ProA affinity purified
性状Liquid
缓冲液1*TBS (pH7.4), 1%BSA, 40%Glycerol. Preservative: 0.05% Sodium Azide.
研究背景Cystatin C is a cysteine (thiol) protease inhibitor that belongs to the type II cystatin gene superfamily and is the most abundant extracellular inhibitor of cysteine proteases. Cystatin C is a constitutively secreted, amyloidogenic protein, which forms a two-fold symmetric dimer and modulates both cysteine protease activity and the expression of class II MHC molecules. Expression of cystatin C is an indicator of kidney function and glomerular filtration rate. Mutations in the cystatin C gene can lead to protein aggregates, which are implicated in hereditary amyloid angiopathy (HCCAA) and cerebral hemorrhage. Although both wild-type and mutant cystatin C are capable of forming concentration dependent inactive dimers, mutant cystatin C dimerizes at lower concentrations and is more susceptible to serine proteases, which may facilitate aggregation. In neuronal cells, oxidative stress stimulates expression of cystatin C, which may positively regulate apoptosis.
偶联与修饰
偶联
Unconjugated
抗原信息
免疫原
Recombinant Protein
Uniprot ID
化学信息
分子量Theoretical: 16 kDa.
存储&运输
储存方式Store at -20°C or -80°C for 12 months. Avoid repeated freeze-thaw cycles.
运输方式Shipping with blue ice.

计算器

  • 稀释 计算器

关键词

评论列表

4个月前
5.0
Rating icon 很棒

评论内容

Related Tags: buy Anti-CST3 Antibody (6K312) | purchase Anti-CST3 Antibody (6K312) | Anti-CST3 Antibody (6K312) cost | order Anti-CST3 Antibody (6K312) | Anti-CST3 Antibody (6K312) molecular weight