购物车
  • 全部删除
  • TargetMol
    您的购物车当前为空

Anti-COMT Antibody (7B935)

一键复制产品信息
Rating icon 还可以
产品编号 TMAC-00930
别名 HEL-S-98n, catechol-O-methyltransferase

Anti-COMT Antibody (7B935) 是一种 Rabbit 抗体,靶向 COMT。Anti-COMT Antibody (7B935) 可用于 IHC,WB。

Anti-COMT Antibody (7B935)

Anti-COMT Antibody (7B935)

一键复制产品信息
Rating icon 还可以
产品编号 TMAC-00930 别名 HEL-S-98n, catechol-O-methyltransferase

Anti-COMT Antibody (7B935) 是一种 Rabbit 抗体,靶向 COMT。Anti-COMT Antibody (7B935) 可用于 IHC,WB。

规格价格库存数量
50 μL
¥ 1,490
5日内发货
100 μL
¥ 2,480
5日内发货
大包装 & 定制
加入购物车
TargetMol 的所有产品仅用作科学研究或药证申报,不能被用于人体,我们不向个人提供产品和服务。请您遵守承诺用途,不得违反法律法规规定用于任何其他用途。
实验操作小课堂
常见问题解答
查看更多
联系我们获取更多批次信息
资源下载

产品介绍

生物活性
产品描述
Anti-COMT Antibody (7B935) is a Rabbit antibody targeting COMT. Anti-COMT Antibody (7B935) can be used in IHC,WB.
别名HEL-S-98n, catechol-O-methyltransferase
Ig Type
IgG
克隆号
7B935
交叉反应
Human,Mouse,Rat
验证活性
1. Western blot analysis of COMT on MCF-7 cell (1) and rat testis tissue (2) lysate using anti-COMT antibody at 1/2,000 dilution.
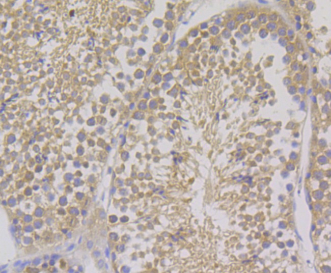
2. Immunohistochemical analysis of paraffin-embedded mouse testis tissue using anti-COMT antibody. Counter stained with hematoxylin.
verifiedActivityverifiedActivity
应用IHCWB
推荐剂量
WB: 1:500-2000; IHC: 1:50-100
抗体种类
Monoclonal
宿主来源Rabbit
构建方式Recombinant Antibody
纯化方式ProA affinity purified
性状Liquid
缓冲液1*TBS (pH7.4), 1%BSA, 40%Glycerol. Preservative: 0.05% Sodium Azide.
研究背景Catechol-O-methyltransferase (COMT) plays a crucial role in the regulation of central dopaminergic systems by catalyzing the inactivation of catechol-amines. It is widely distributed in most tissues in soluble and membrane-bound forms. COMT-mediated methylation metabolism of catecholamine neurotransmitters is a first-line detoxification pathway. A Val158Met polymorphism of the COMT gene affects activity of the enzyme and influences performance and efficiency of the prefrontal cortex of the brain. Sequential conversion of estradiol to methoxyestradiol by COMT, contributes to the antimitogenic effects of estradiol on vascular smooth muscle cell growth via estrogen receptor-independent mechanisms.
偶联与修饰
偶联
Unconjugated
抗原信息
免疫原
Recombinant Protein: C-terminal human COMT
抗原种属
human
Uniprot ID
化学信息
分子量Theoretical: 24 kDa.
存储&运输
储存方式Store at -20°C or -80°C for 12 months. Avoid repeated freeze-thaw cycles.
运输方式Shipping with blue ice.

计算器

  • 稀释 计算器

评论列表

4个月前
5.0
Rating icon 很棒

评论内容

Related Tags: buy Anti-COMT Antibody (7B935) | purchase Anti-COMT Antibody (7B935) | Anti-COMT Antibody (7B935) cost | order Anti-COMT Antibody (7B935) | Anti-COMT Antibody (7B935) molecular weight