购物车
  • 全部删除
  • TargetMol
    您的购物车当前为空

Anti-Collagen II/COL2A1 Antibody (7X334)

一键复制产品信息
Rating icon 还可以
产品编号 TMAB-00457
别名 STL1, SEDC, collagen, type II, α1, collagen, type II, alpha 1, COL11A3, AOM, ANFH

Anti-Collagen II/COL2A1 Antibody (7X334) 是一种 Mouse 抗体,靶向 Collagen II/COL2A1。Anti-Collagen II/COL2A1 Antibody (7X334) 可用于 IF,IHC-Fr,IHC-P。

Anti-Collagen II/COL2A1 Antibody (7X334)

Anti-Collagen II/COL2A1 Antibody (7X334)

一键复制产品信息
Rating icon 还可以
产品编号 TMAB-00457 别名 STL1, SEDC, collagen, type II, α1, collagen, type II, alpha 1, COL11A3, AOM, ANFH

Anti-Collagen II/COL2A1 Antibody (7X334) 是一种 Mouse 抗体,靶向 Collagen II/COL2A1。Anti-Collagen II/COL2A1 Antibody (7X334) 可用于 IF,IHC-Fr,IHC-P。

规格价格库存数量
50 μL
¥ 1,170
5日内发货
100 μL
¥ 1,970
5日内发货
200 μL
¥ 2,785
5日内发货
大包装 & 定制
加入购物车
TargetMol 的所有产品仅用作科学研究或药证申报,不能被用于人体,我们不向个人提供产品和服务。请您遵守承诺用途,不得违反法律法规规定用于任何其他用途。
实验操作小课堂
常见问题解答
查看更多
联系我们获取更多批次信息
资源下载

产品介绍

生物活性
产品描述
Anti-Collagen II/COL2A1 Antibody (7X334) is a Mouse antibody targeting Collagen II/COL2A1. Anti-Collagen II/COL2A1 Antibody (7X334) can be used in IF,IHC-Fr,IHC-P.
别名STL1, SEDC, collagen, type II, α1, collagen, type II, alpha 1, COL11A3, AOM, ANFH
Ig Type
IgG
克隆号
7X334
交叉反应
Human,Rat (predicted:Mouse)
验证活性
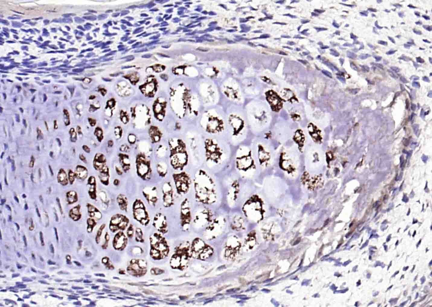
1. Paraformaldehyde-fixed, paraffin embedded (Rat fetal bone); Antigen retrieval by boiling in sodium citrate buffer (pH6.0) for 15 min; Block endogenous peroxidase by 3% hydrogen peroxide for 20 min; Blocking buffer (normal goat serum) at 37°C for 30 min; Antibody incubation with (Collagen II) Monoclonal Antibody, Unconjugated (TMAB-00457) at 1:200 overnight at 4°C, followed by operating according to SP Kit (Mouse) instructionsand DAB staining.
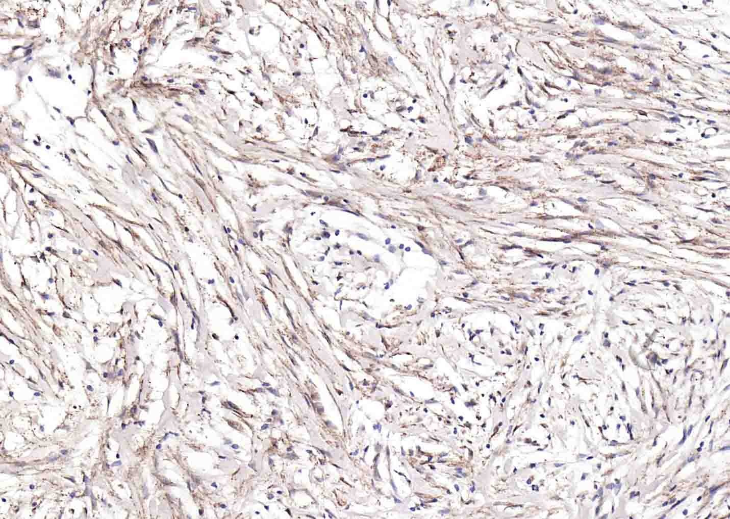
2. Paraformaldehyde-fixed, paraffin embedded (human breast carcinoma); Antigen retrieval by boiling in sodium citrate buffer (pH6.0) for 15 min; Block endogenous peroxidase by 3% hydrogen peroxide for 20 min; Blocking buffer (normal goat serum) at 37°C for 30 min; Antibody incubation with (Collagen II) Monoclonal Antibody, Unconjugated (TMAB-00457) at 1:200 overnight at 4°C, followed by operating according to SP Kit (Mouse) instructionsand DAB staining.
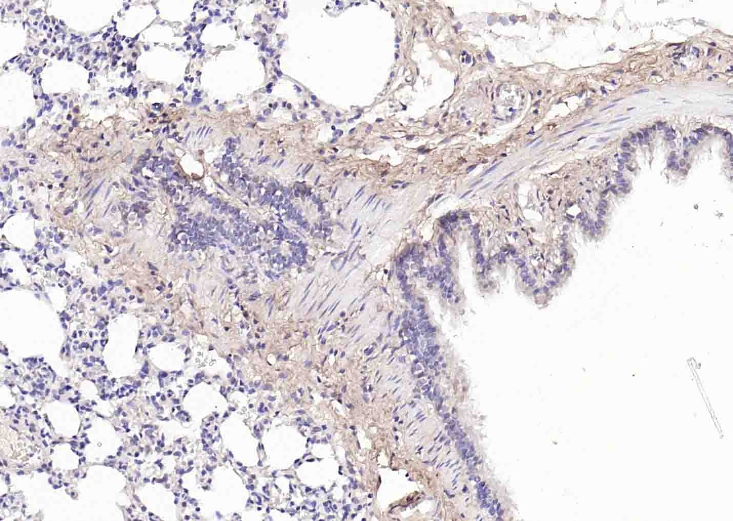
3. Paraformaldehyde-fixed, paraffin embedded (rat lung); Antigen retrieval by boiling in sodium citrate buffer (pH6.0) for 15 min; Block endogenous peroxidase by 3% hydrogen peroxide for 20 min; Blocking buffer (normal goat serum) at 37°C for 30 min; Antibody incubation with (Collagen II) Monoclonal Antibody, Unconjugated (TMAB-00457) at 1:200 overnight at 4°C, followed by operating according to SP Kit (Mouse) instructionsand DAB staining.
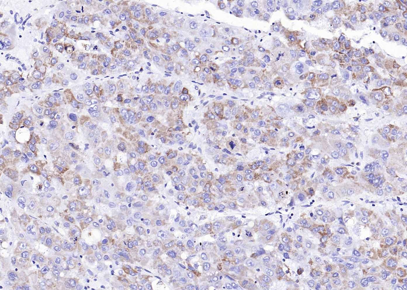
4. Paraformaldehyde-fixed, paraffin embedded (human liver carcinoma); Antigen retrieval by boiling in sodium citrate buffer (pH6.0) for 15 min; Block endogenous peroxidase by 3% hydrogen peroxide for 20 min; Blocking buffer (normal goat serum) at 37°C for 30 min; Antibody incubation with (Collagen II) Monoclonal Antibody, Unconjugated (TMAB-00457) at 1:200 overnight at 4°C, followed by operating according to SP Kit (Mouse) instructionsand DAB staining.
verifiedActivityverifiedActivityverifiedActivityverifiedActivity
应用IFIHC-FrIHC-P
推荐剂量
IHC-P: 1:100-500; IHC-Fr: 1:100-500; IF: 1:100-500
抗体种类
Monoclonal
宿主来源Mouse
亚细胞定位Secreted, extracellular space, extracellular matrix.
组织特异性Isoform 2 is highly expressed in juvenile chondrocyte and low in fetal chondrocyte.
构建方式Hybridoma Monoclonal Antibody
纯化方式Protein G purified
性状Liquid
缓冲液0.01M TBS (pH7.4) with 1% BSA, 0.02% Proclin300 and 50% Glycerol.
浓度1 mg/mL
研究背景This gene encodes the alpha-1 chain of type II collagen, a fibrillar collagen found in cartilage and the vitreous humor of the eye. Mutations in this gene are associated with achondrogenesis, chondrodysplasia, early onset familial osteoarthritis, SED congenita, Langer-Saldino achondrogenesis, Kniest dysplasia, Stickler syndrome type I, and spondyloepimetaphyseal dysplasia Strudwick type. In addition, defects in processing chondrocalcin, a calcium binding protein that is the C-propeptide of this collagen molecule, are also associated with chondrodysplasia. There are two transcripts identified for this gene. [provided by RefSeq, Jul 2008]
抗原信息
免疫原
KLH conjugated synthetic peptide: human Collagen II
抗原种属
Human
基因名称
COL2A1
基因ID
蛋白名称
Procollagen Type II N-Terminal Propeptide
Uniprot ID
功能
Type II collagen is specific for cartilaginous tissues. It is essential for the normal embryonic development of the skeleton, for linear growth and for the ability of cartilage to resist compressive forces.
化学信息
分子量Theoretical: 142 kDa.
存储&运输
储存方式Store at -20°C or -80°C for 12 months. Avoid repeated freeze-thaw cycles.
运输方式Shipping with blue ice.

计算器

  • 稀释 计算器

关键词

评论列表

4个月前
5.0
Rating icon 很棒

评论内容

Related Tags: buy Anti-Collagen II/COL2A1 Antibody (7X334) | purchase Anti-Collagen II/COL2A1 Antibody (7X334) | Anti-Collagen II/COL2A1 Antibody (7X334) cost | order Anti-Collagen II/COL2A1 Antibody (7X334) | Anti-Collagen II/COL2A1 Antibody (7X334) molecular weight