购物车
  • TargetMol
    您的购物车当前为空

Anti-CNN1 Antibody (5Y848)

Synonyms: smooth muscle, SMCC, Sm Calp, HEL S 14, Epididymis secretory protein Li 14, CNN 1, Calponins basic, Calponin-1, Calponin1, Calponin H1 smooth muscle, Calponin H1, Calponin 1 basic smooth muscle, Basic calponin
货号 TMAC-00531 一键复制产品信息
Rating icon 还可以

Anti-CNN1 Antibody (5Y848) 是一种 Rabbit 抗体,靶向 CNN1。Anti-CNN1 Antibody (5Y848) 可用于 ICC/IF,IHC,WB。

Anti-CNN1 Antibody (5Y848)

一键复制产品信息
Rating icon 还可以
货号 TMAC-00531

别名 smooth muscle, SMCC, Sm Calp, HEL S 14, Epididymis secretory protein Li 14, CNN 1, Calponins basic, Calponin-1, Calponin1, Calponin H1 smooth muscle, Calponin H1, Calponin 1 basic smooth muscle, Basic calponin

Anti-CNN1 Antibody (5Y848) 是一种 Rabbit 抗体,靶向 CNN1。Anti-CNN1 Antibody (5Y848) 可用于 ICC/IF,IHC,WB。

Anti-CNN1 Antibody (5Y848)
规格价格库存数量
50 μL
¥ 1,480
5日内发货
100 μL
¥ 2,490
5日内发货
库存状态实时更新,以官网显示为准,现货产品可直接加购物车下单
大包装 & 定制
加入购物车

TargetMol的所有产品仅用作科学研究或药证申报,不能被用于人体,我们不向个人提供产品和服务。请您遵守承诺用途,不得违反法律法规规定用于任何其他用途。

实验操作小课堂
常见问题解答
查看更多

资源下载:产品操作手册

产品介绍


生物活性
产品描述
Anti-CNN1 Antibody (5Y848) is a Rabbit antibody targeting CNN1. Anti-CNN1 Antibody (5Y848) can be used in ICC/IF,IHC,WB.
别名
smooth muscle, SMCC, Sm Calp, HEL S 14, Epididymis secretory protein Li 14, CNN 1, Calponins basic, Calponin-1, Calponin1, Calponin H1 smooth muscle, Calponin H1, Calponin 1 basic smooth muscle, Basic calponin
Ig Type
IgG
克隆号
5Y848
反应种属
Human,Mouse,Rat,Dog,Pig
验证活性
1. Western blot analysis of Calponin on Hela cell lysates using anti-Calponin antibody at 1/1,000 dilution.
2. Immunohistochemical analysis of paraffin-embedded human breast tissue using anti-Calponin antibody. Counter stained with hematoxylin.
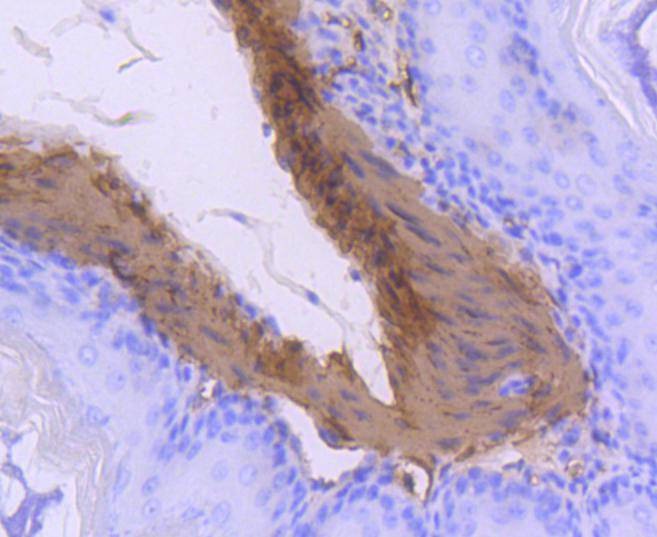
3. Immunohistochemical analysis of paraffin-embedded mouse bladder tissue using anti-Calponin antibody. Counter stained with hematoxylin.
4. Immunohistochemical analysis of paraffin-embedded mouse stomach tissue using anti-Calponin antibody. Counter stained with hematoxylin.
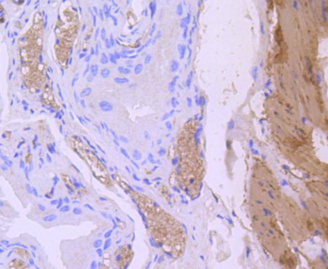
5. Immunohistochemical analysis of paraffin-embedded mouse heart tissue using anti-Calponin antibody. Counter stained with hematoxylin.
6. ICC staining Calponin in HepG2 cells (green). The nuclear counter stain is DAPI (blue). Cells were fixed in paraformaldehyde, permeabilised with 0.25% Triton X100/PBS.
verifiedActivityverifiedActivityverifiedActivityverifiedActivityverifiedActivityverifiedActivity
应用ICC/IFIHCWB
推荐剂量
WB: 1:1000-2000; IHC: 1:50-200; ICC/IF: 1:50-200
抗体种类
Monoclonal
宿主来源Rabbit
构建方式Recombinant Antibody
纯化方式ProA affinity purified
性状Liquid
缓冲液1*TBS (pH7.4), 1%BSA, 40%Glycerol. Preservative: 0.05% Sodium Azide.
研究背景Calponin regulates smooth muscle cell contraction and is a marker of smooth muscle cell differentiation. Calponin, an Actin- and Tropomyosin-binding protein, is characterized as an inhibitory factor of smooth-muscle actomyosin activity. Calponin is implicated in the regulation of smooth muscle contraction through its interaction with F-Actin and inhibition of the Actin-activated MgATPase activity of phosphorylated Myosin. Both properties are lost following phosphorylation (primarily at Serine 175) by protein kinase C or calmodulin-dependent protein kinase II. The three forms of Calponin, Calponin 1 (basic Calponin), Calponin 2 (neutral Calponin) and Calponin 3 (acidic Calponin), are found in smooth muscle tissue. Additionally, Calponin 2 is found in heart muscle tissue and Calponin 3 is found in the brain.
偶联与修饰
偶联
Unconjugated
抗原信息
免疫原
Recombinant Protein
Uniprot ID
化学信息
分子量Theoretical: 33 kDa.
储存&溶解度
储存方式Store at -20°C or -80°C for 12 months. Avoid repeated freeze-thaw cycles.
运输方式Shipping with blue ice.

计算器

  • 稀释 计算器
  • 配液 计算器
Related Tags: buy Anti-CNN1 Antibody (5Y848) | purchase Anti-CNN1 Antibody (5Y848) | Anti-CNN1 Antibody (5Y848) cost | order Anti-CNN1 Antibody (5Y848) | Anti-CNN1 Antibody (5Y848) molecular weight