购物车
  • TargetMol
    您的购物车当前为空

Anti-Claudin-5 Antibody (7Z609)

Synonyms: Transmembrane protein deleted in VCFS, TMDVCF, CLDN5, Claudin5, AWAL TMVCF
货号 TMAC-00889 一键复制产品信息
Rating icon 还可以

Anti-Claudin-5 Antibody (7Z609) 是一种 Rabbit 抗体,靶向 Claudin-5。Anti-Claudin-5 Antibody (7Z609) 可用于 IHC,WB。

Anti-Claudin-5 Antibody (7Z609)

一键复制产品信息
Rating icon 还可以
货号 TMAC-00889

别名 Transmembrane protein deleted in VCFS, TMDVCF, CLDN5, Claudin5, AWAL TMVCF

Anti-Claudin-5 Antibody (7Z609) 是一种 Rabbit 抗体,靶向 Claudin-5。Anti-Claudin-5 Antibody (7Z609) 可用于 IHC,WB。

Anti-Claudin-5 Antibody (7Z609)
规格价格库存数量
50 μL
¥ 1,495
5日内发货
100 μL
¥ 2,490
5日内发货
库存状态实时更新,以官网显示为准,现货产品可直接加购物车下单
大包装 & 定制
加入购物车

TargetMol的所有产品仅用作科学研究或药证申报,不能被用于人体,我们不向个人提供产品和服务。请您遵守承诺用途,不得违反法律法规规定用于任何其他用途。

实验操作小课堂
常见问题解答
查看更多

资源下载:产品操作手册

产品介绍


生物活性
产品描述
Anti-Claudin-5 Antibody (7Z609) is a Rabbit antibody targeting Claudin-5. Anti-Claudin-5 Antibody (7Z609) can be used in IHC,WB.
别名
Transmembrane protein deleted in VCFS, TMDVCF, CLDN5, Claudin5, AWAL TMVCF
Ig Type
IgG
克隆号
7Z609
反应种属
Human
验证活性
1. Western blot analysis of Claudin 5 on human lung cells lysates using anti-Claudin 5 antibody at 1/500 dilution.
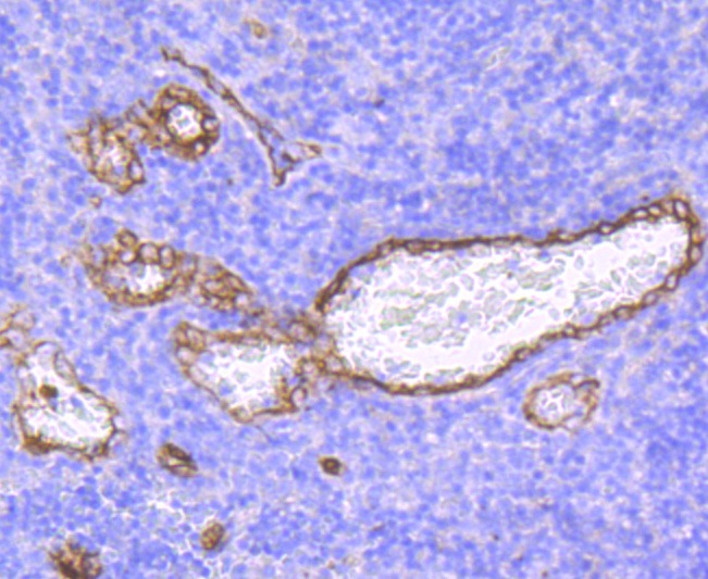
2. Immunohistochemical analysis of paraffin-embedded human tonsil tissue using anti-Claudin 5 antibody. Counter stained with hematoxylin.
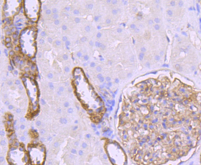
3. Immunohistochemical analysis of paraffin-embedded human kidney tissue using anti-Claudin 5 antibody. Counter stained with hematoxylin.
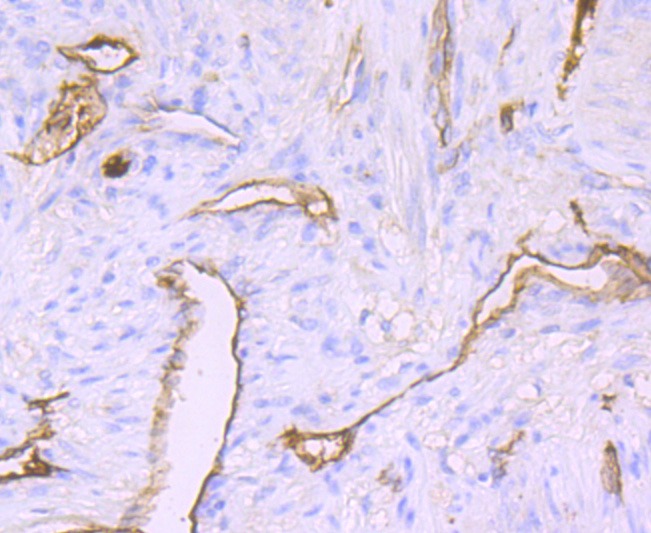
4. Immunohistochemical analysis of paraffin-embedded human lung tissue using anti-Claudin 5 antibody. Counter stained with hematoxylin.
5. Immunohistochemical analysis of paraffin-embedded human uterus tissue using anti-Claudin 5 antibody. Counter stained with hematoxylin.
verifiedActivityverifiedActivityverifiedActivityverifiedActivityverifiedActivity
应用IHCWB
推荐剂量
WB: 1:2000-5000; IHC: 1:50-200
抗体种类
Monoclonal
宿主来源Rabbit
构建方式Recombinant Antibody
纯化方式ProA affinity purified
性状Liquid
缓冲液1*TBS (pH7.4), 1%BSA, 40%Glycerol. Preservative: 0.05% Sodium Azide.
研究背景The claudin superfamily consists of many structurally related proteins in humans. These proteins are important structural and functional components of tight junctions in paracellular transport. Claudins are located in both epithelial and endothelial cells in all tight junction-bearing tissues. Three classes of proteins are known to localize to tight junctions, including the claudins, Occludin and Junction adhesion molecule. Claudins, which consist of four transmembrane domains and two extracellular loops make up tight junction strands. Claudin expression is highly restricted to specfic regions of different tissues and may have an important role in transcellular transport through tight junctions. Claudin-5 is expressed in the endothelial junctions of the rat liver and in junctions of acinar cells of the pancreas. Human Claudin-5 is abundantly expressed in adult lung, heart and skeletal muscle and is deleted in patients with velocardiofacial syndrone, which is characterized by cleft palate, facial dysmorphology and conotruncal heart defects.
偶联与修饰
偶联
Unconjugated
抗原信息
免疫原
Recombinant Protein
Uniprot ID
化学信息
分子量Theoretical: 24 kDa.
储存&溶解度
储存方式Store at -20°C or -80°C for 12 months. Avoid repeated freeze-thaw cycles.
运输方式Shipping with blue ice.

计算器

  • 稀释 计算器
  • 配液 计算器
Related Tags: buy Anti-Claudin-5 Antibody (7Z609) | purchase Anti-Claudin-5 Antibody (7Z609) | Anti-Claudin-5 Antibody (7Z609) cost | order Anti-Claudin-5 Antibody (7Z609) | Anti-Claudin-5 Antibody (7Z609) molecular weight