购物车
  • TargetMol
    您的购物车当前为空

Anti-Chorionic Gonadotropin/CGA Antibody (5Q170)

Synonyms: TSHA, LHA, HCG, GPHA1, GPHa, glycoprotein hormones, α polypeptide, glycoprotein hormones, alpha polypeptide, FSHA, FSH α, FSH alpha, CG-α, CG-ALPHA
货号 TMAC-04145 一键复制产品信息
Rating icon 还可以

Anti-Chorionic Gonadotropin/CGA Antibody (5Q170) 是一种 Mouse 抗体,靶向 Chorionic Gonadotropin/CGA。Anti-Chorionic Gonadotropin/CGA Antibody (5Q170) 可用于 ICC,IHC,WB。

Anti-Chorionic Gonadotropin/CGA Antibody (5Q170)

一键复制产品信息
Rating icon 还可以
货号 TMAC-04145

别名 TSHA, LHA, HCG, GPHA1, GPHa, glycoprotein hormones, α polypeptide, glycoprotein hormones, alpha polypeptide, FSHA, FSH α, FSH alpha, CG-α, CG-ALPHA

Anti-Chorionic Gonadotropin/CGA Antibody (5Q170) 是一种 Mouse 抗体,靶向 Chorionic Gonadotropin/CGA。Anti-Chorionic Gonadotropin/CGA Antibody (5Q170) 可用于 ICC,IHC,WB。

Anti-Chorionic Gonadotropin/CGA Antibody (5Q170)
规格价格库存数量
50 μL
¥ 1,995
5日内发货
100 μL
¥ 2,995
5日内发货
库存状态实时更新,以官网显示为准,现货产品可直接加购物车下单
大包装 & 定制
加入购物车

TargetMol的所有产品仅用作科学研究或药证申报,不能被用于人体,我们不向个人提供产品和服务。请您遵守承诺用途,不得违反法律法规规定用于任何其他用途。

实验操作小课堂
常见问题解答
查看更多

资源下载:产品操作手册

产品介绍


生物活性
产品描述
Anti-Chorionic Gonadotropin/CGA Antibody (5Q170) is a Mouse antibody targeting Chorionic Gonadotropin/CGA. Anti-Chorionic Gonadotropin/CGA Antibody (5Q170) can be used in ICC,IHC,WB.
别名
TSHA, LHA, HCG, GPHA1, GPHa, glycoprotein hormones, α polypeptide, glycoprotein hormones, alpha polypeptide, FSHA, FSH α, FSH alpha, CG-α, CG-ALPHA
克隆号
5Q170
反应种属
Human,Mouse
验证活性
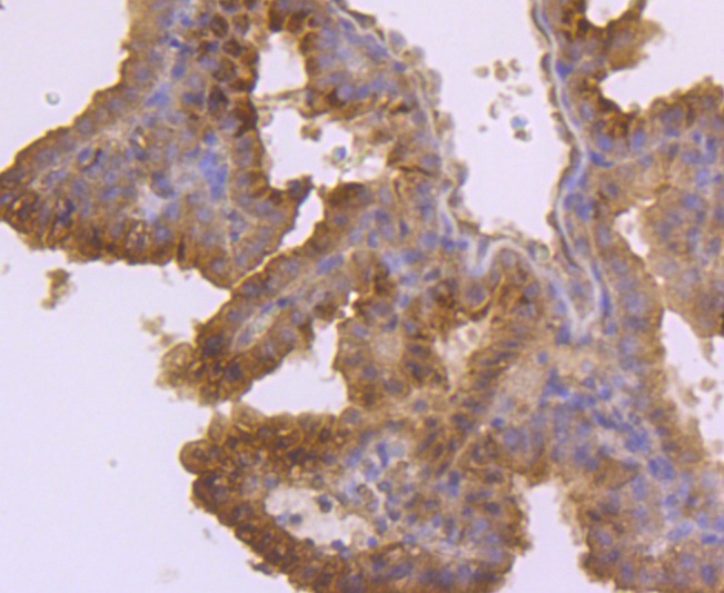
1. Immunohistochemical analysis of paraffin-embedded mouse placenta tissue using anti-TSH antibody. Counter stained with hematoxylin.
2. ICC staining TSH in HepG2 cells (red). The nuclear counter stain is DAPI (blue). Cells were fixed in paraformaldehyde, permeabilised with 0.25% Triton X100/PBS.
3. ICC staining TSH in JAR cells (red). The nuclear counter stain is DAPI (blue). Cells were fixed in paraformaldehyde, permeabilised with 0.25% Triton X100/PBS.
verifiedActivityverifiedActivityverifiedActivity
应用ICCIHCWB
推荐剂量
WB: 1:1000; IHC: 1:50-200; ICC: 1:50-200
抗体种类
Monoclonal
宿主来源Mouse
构建方式Hybridoma Monoclonal Antibody
性状Liquid
缓冲液1*TBS (pH7.4), 1%BSA, 40%Glycerol. Preservative: 0.23% Sodium Azide.
研究背景Various hormones are secreted from the anterior pituitary during development and growth, including thyroid-stimulating hormone (TSH, also known as thyrotropin), follicle-stimulating hormone (FSH) and leutinizing hormone (LH). TSH, FSH, and LH are heterodimers formed from a common α chain and a unique β chain. TSH is a glycoprotein involved in the control of thyroid structure and metabolism, which stimulates the release of the thyroid hormones. TSHβ is regulated by thyroid hormone (T3) and various retinoid compounds. TSHβ binds to the thyroid-stimulating hormone receptor (TSHR), which plays a major role in regulating thyroid function. TSHR is thought to exist in multiple glycosylation states. The third cytoplasmic loop of TSHR has been identified as critical for its role in regulating inositol phosphate and cAMP formation.
偶联与修饰
偶联
Unconjugated
抗原信息
免疫原
Recombinant Protein
Uniprot ID
化学信息
分子量Theoretical: 42 kDa.
储存&溶解度
储存方式Store at -20°C or -80°C for 12 months. Avoid repeated freeze-thaw cycles.
运输方式Shipping with blue ice.

计算器

  • 稀释 计算器
  • 配液 计算器
Related Tags: buy Anti-Chorionic Gonadotropin/CGA Antibody (5Q170) | purchase Anti-Chorionic Gonadotropin/CGA Antibody (5Q170) | Anti-Chorionic Gonadotropin/CGA Antibody (5Q170) cost | order Anti-Chorionic Gonadotropin/CGA Antibody (5Q170) | Anti-Chorionic Gonadotropin/CGA Antibody (5Q170) molecular weight