购物车
  • 全部删除
  • TargetMol
    您的购物车当前为空

Anti-CELF1 Antibody (3Z245)

一键复制产品信息
Rating icon 还可以
产品编号 TMAC-00811
别名 RNA-binding protein BRUNOL-2, RNA binding protein BRUNOL2, RNA binding protein BRUNOL 2, Nuclear polyadenylated RNA binding protein 50 kD, Nuclear polyadenylated RNA binding protein, NAPOR, NAB50, NAB 50, hNab50, hNab 50, Embryo deadenylation element-binding protein homolog, embryo deadenylation element binding protein homolog, embryo deadenylation element binding protein, EDEN-BP homolog, EDEN-BP, EDEN BP homolog, EDEN BP, Deadenylation factor CUG-BP, Deadenylation factor CUGBP, Deadenylation factor CUG BP, Cytidine uridine guanosine binding protein 1, CUG-BP1, CUGBP1, CUGBP Elav-like family member 1, CUGBP Elav like family member 1, CUG-BP- and ETR-3-like factor 1, CUGBP and ETR3 like factor 1, CUGBP 1, CUG-BP, CUGBP, CUG triplet repeat RNA-binding protein 1, CUG triplet repeat RNA binding protein 1, CUG RNA binding protein, CUG BP1, CUG BP and ETR 3 like factor 1, CUG BP, CELF1_HUMAN, CELF1 CUGBP, Elav like family member 1, CELF-1, celf1, CELF 1, Bruno-like protein 2, BRUNOL2, BRUNOL 2, bruno like protein 2, Bruno like 2, 50 kDa nuclear polyadenylated RNA-binding protein, 50 kDa Nuclear polyadenylated RNA binding protein

Anti-CELF1 Antibody (3Z245) 是一种 Mouse 抗体,靶向 CELF1。Anti-CELF1 Antibody (3Z245) 可用于 IHC,WB。

Anti-CELF1 Antibody (3Z245)

Anti-CELF1 Antibody (3Z245)

一键复制产品信息
Rating icon 还可以
产品编号 TMAC-00811 别名 RNA-binding protein BRUNOL-2, RNA binding protein BRUNOL2, RNA binding protein BRUNOL 2, Nuclear polyadenylated RNA binding protein 50 kD, Nuclear polyadenylated RNA binding protein, NAPOR, NAB50, NAB 50, hNab50, hNab 50, Embryo deadenylation element-binding protein homolog, embryo deadenylation element binding protein homolog, embryo deadenylation element binding protein, EDEN-BP homolog, EDEN-BP, EDEN BP homolog, EDEN BP, Deadenylation factor CUG-BP, Deadenylation factor CUGBP, Deadenylation factor CUG BP, Cytidine uridine guanosine binding protein 1, CUG-BP1, CUGBP1, CUGBP Elav-like family member 1, CUGBP Elav like family member 1, CUG-BP- and ETR-3-like factor 1, CUGBP and ETR3 like factor 1, CUGBP 1, CUG-BP, CUGBP, CUG triplet repeat RNA-binding protein 1, CUG triplet repeat RNA binding protein 1, CUG RNA binding protein, CUG BP1, CUG BP and ETR 3 like factor 1, CUG BP, CELF1_HUMAN, CELF1 CUGBP, Elav like family member 1, CELF-1, celf1, CELF 1, Bruno-like protein 2, BRUNOL2, BRUNOL 2, bruno like protein 2, Bruno like 2, 50 kDa nuclear polyadenylated RNA-binding protein, 50 kDa Nuclear polyadenylated RNA binding protein

Anti-CELF1 Antibody (3Z245) 是一种 Mouse 抗体,靶向 CELF1。Anti-CELF1 Antibody (3Z245) 可用于 IHC,WB。

规格价格库存数量
50 μL
¥ 1,995
5日内发货
100 μL
¥ 2,985
5日内发货
大包装 & 定制
加入购物车
TargetMol 的所有产品仅用作科学研究或药证申报,不能被用于人体,我们不向个人提供产品和服务。请您遵守承诺用途,不得违反法律法规规定用于任何其他用途。
实验操作小课堂
常见问题解答
查看更多
联系我们获取更多批次信息
资源下载

产品介绍

生物活性
产品描述
Anti-CELF1 Antibody (3Z245) is a Mouse antibody targeting CELF1. Anti-CELF1 Antibody (3Z245) can be used in IHC,WB.
别名RNA-binding protein BRUNOL-2, RNA binding protein BRUNOL2, RNA binding protein BRUNOL 2, Nuclear polyadenylated RNA binding protein 50 kD, Nuclear polyadenylated RNA binding protein, NAPOR, NAB50, NAB 50, hNab50, hNab 50, Embryo deadenylation element-binding protein homolog, embryo deadenylation element binding protein homolog, embryo deadenylation element binding protein, EDEN-BP homolog, EDEN-BP, EDEN BP homolog, EDEN BP, Deadenylation factor CUG-BP, Deadenylation factor CUGBP, Deadenylation factor CUG BP, Cytidine uridine guanosine binding protein 1, CUG-BP1, CUGBP1, CUGBP Elav-like family member 1, CUGBP Elav like family member 1, CUG-BP- and ETR-3-like factor 1, CUGBP and ETR3 like factor 1, CUGBP 1, CUG-BP, CUGBP, CUG triplet repeat RNA-binding protein 1, CUG triplet repeat RNA binding protein 1, CUG RNA binding protein, CUG BP1, CUG BP and ETR 3 like factor 1, CUG BP, CELF1_HUMAN, CELF1 CUGBP, Elav like family member 1, CELF-1, celf1, CELF 1, Bruno-like protein 2, BRUNOL2, BRUNOL 2, bruno like protein 2, Bruno like 2, 50 kDa nuclear polyadenylated RNA-binding protein, 50 kDa Nuclear polyadenylated RNA binding protein
克隆号
3Z245
交叉反应
Human
验证活性
1. Western blot analysis of CELF1 on Daudi cell lysate using anti-CELF1 antibody at 1/5,000 dilution.
2. Immunohistochemical analysis of paraffin-embedded human spleen tissue using anti-CELF1 antibody. Counter stained with hematoxylin.
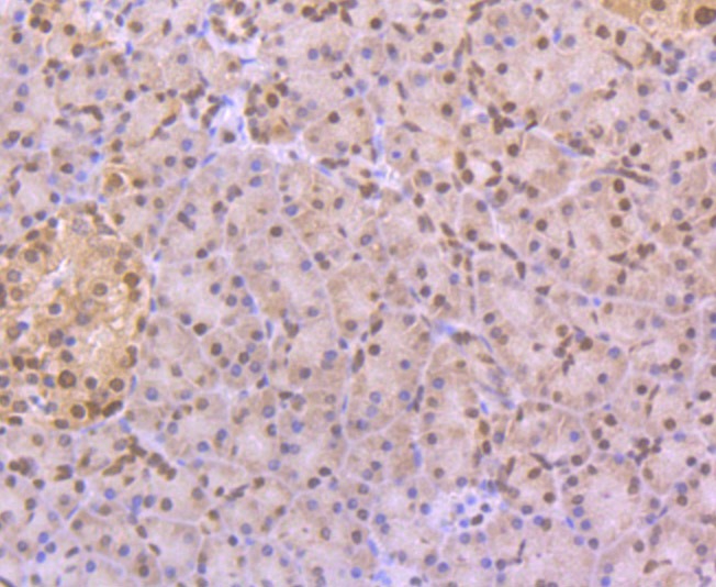
3. Immunohistochemical analysis of paraffin-embedded human pancreas tissue using anti-CELF1 antibody. Counter stained with hematoxylin.
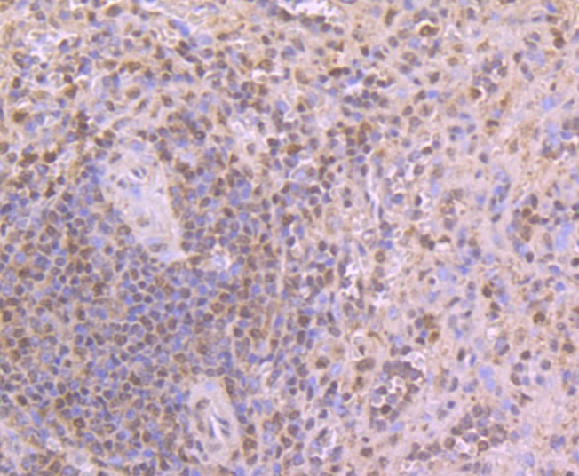
4. Immunohistochemical analysis of paraffin-embedded human tonsil tissue using anti-CELF1 antibody. Counter stained with hematoxylin.
verifiedActivityverifiedActivityverifiedActivityverifiedActivity
应用IHCWB
推荐剂量
IHC: 1:50-200
抗体种类
Monoclonal
宿主来源Mouse
构建方式Hybridoma Monoclonal Antibody
纯化方式Protein affinity purified
性状Liquid
缓冲液1*TBS (pH7.4), 0.5%BSA, 50%Glycerol. Preservative: 0.05% Sodium Azide.
研究背景Myotonic dystrophy (DM) is an autosomal dominant neuromuscular disease that is associated with a (CTG)n repeat expansion in the 3'-untranslated region of the myotonin protein kinase gene (DMPK). CUG-BP1 and CUG-BP2 are proteins that bind specifically to (CUG)8 oligonucleotides in vitro. While CUG-BP1 has the major binding activity in normal cells, nuclear CUG-BP2 binding activity increases in DM cells. Both CUG-BP1 and CUG-BP2 are isoforms of a novel heterogeneous nuclear ribonucleoprotein (hnRNP), hNab50. CUG-BP1, an RNA CUG triplet repeat binding protein, regulates splicing and translation of various RNAs. Expansion of RNA CUG repeats in the DMPK in DM is associated with alterations in binding activity of CUG-BP1 as well as alterations in the translation of the C/EBPb transcription factor. CUG-BP1 is an important regulator of initiation from different AUG codons of C/EBPb mRNA. In normal cells, CUG-BP1 up-regulates the p21 protein during differentiation by inducing the translation of p21 via binding to a GC-rich sequence located within the 5' region of p21 mRNA. In DM cells, failure to accumulate CUG-BP1 leads to a reduction of p21 and alterations in other proteins responsible for cell cycle withdrawl.
偶联与修饰
偶联
Unconjugated
抗原信息
免疫原
Recombinant Protein: human CELF1 aa 1-180
抗原种属
human
Uniprot ID
化学信息
分子量Theoretical: 52 kDa.
存储&运输
储存方式Store at -20°C or -80°C for 12 months. Avoid repeated freeze-thaw cycles.
运输方式Shipping with blue ice.

计算器

  • 稀释 计算器

评论列表

4个月前
5.0
Rating icon 很棒

评论内容

Related Tags: buy Anti-CELF1 Antibody (3Z245) | purchase Anti-CELF1 Antibody (3Z245) | Anti-CELF1 Antibody (3Z245) cost | order Anti-CELF1 Antibody (3Z245) | Anti-CELF1 Antibody (3Z245) molecular weight