购物车
  • TargetMol
    您的购物车当前为空

Anti-CD68 Antibody (8F211)

Synonyms: SCARD1, LAMP4, GP110, CD68 molecule
货号 TMAB-00380 一键复制产品信息
Rating icon 还可以

Anti-CD68 Antibody (8F211) 是一种 Mouse 抗体,靶向 CD68。Anti-CD68 Antibody (8F211) 可用于 IF, IHC-Fr, IHC-P。

Anti-CD68 Antibody (8F211)

一键复制产品信息
Rating icon 还可以
货号 TMAB-00380

别名 SCARD1, LAMP4, GP110, CD68 molecule

Anti-CD68 Antibody (8F211) 是一种 Mouse 抗体,靶向 CD68。Anti-CD68 Antibody (8F211) 可用于 IF, IHC-Fr, IHC-P。

Anti-CD68 Antibody (8F211)
规格价格库存数量
50 μL
¥ 1,160
5日内发货
100 μL
¥ 1,975
5日内发货
库存状态实时更新,以官网显示为准,现货产品可直接加购物车下单
大包装 & 定制
加入购物车

TargetMol的所有产品仅用作科学研究或药证申报,不能被用于人体,我们不向个人提供产品和服务。请您遵守承诺用途,不得违反法律法规规定用于任何其他用途。

实验操作小课堂
常见问题解答
查看更多

资源下载:产品操作手册

产品介绍


生物活性
产品描述
Anti-CD68 Antibody (8F211) is a Mouse antibody targeting CD68. Anti-CD68 Antibody (8F211) can be used in IF, IHC-Fr, IHC-P.
别名
SCARD1, LAMP4, GP110, CD68 molecule
Ig Type
IgG
克隆号
8F211
反应种属
Human,Rat
验证活性
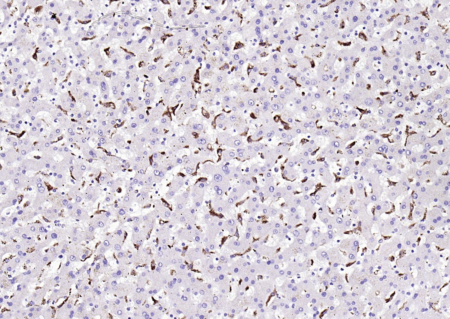
1. Paraformaldehyde-fixed, paraffin embedded (human liver); Antigen retrieval by boiling in sodium citrate buffer (pH6.0) for 15 min; Block endogenous peroxidase by 3% hydrogen peroxide for 20 min; Blocking buffer (normal goat serum) at 37°C for 30 min; Antibody incubation with (CD68) Monoclonal Antibody, Unconjugated (TMAB-00380) at 1:200 overnight at 4°C, followed by operating according to SP Kit (Mouse) instructionsand DAB staining.
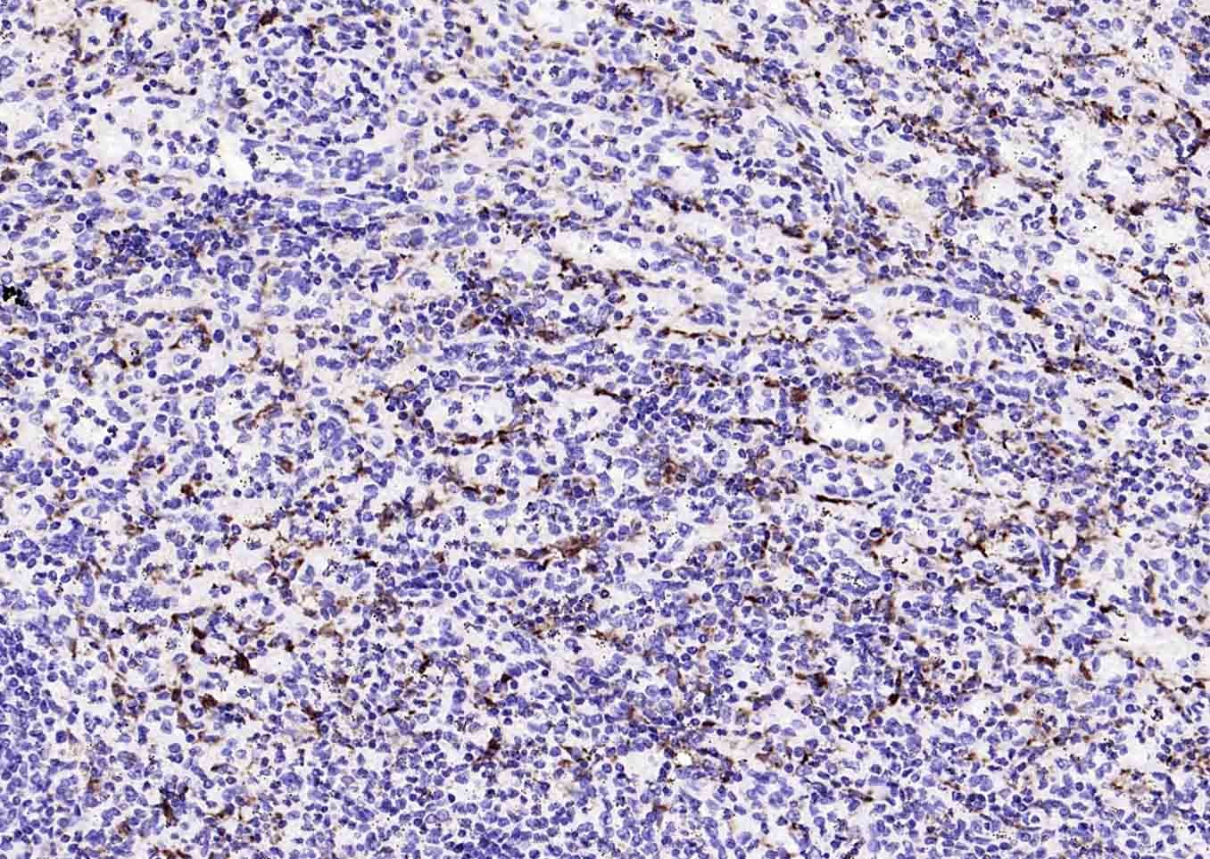
2. Paraformaldehyde-fixed, paraffin embedded (rat spleen); Antigen retrieval by boiling in sodium citrate buffer (pH6.0) for 15 min; Block endogenous peroxidase by 3% hydrogen peroxide for 20 min; Blocking buffer (normal goat serum) at 37°C for 30 min; Incubation with (CD68) Monoclonal Antibody, Unconjugated (TMAB-00380) at 1:50 overnight at 4°C, followed by operating according to SP Kit (Mouse) instructionsand DAB staining.
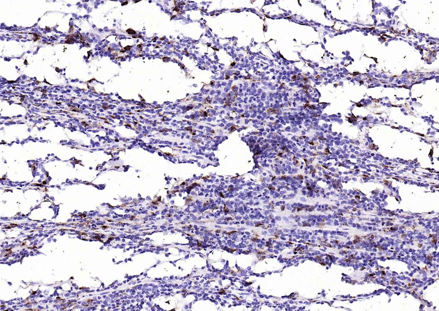
3. Paraformaldehyde-fixed, paraffin embedded (human lung carcinoma); Antigen retrieval by boiling in sodium citrate buffer (pH6.0) for 15 min; Block endogenous peroxidase by 3% hydrogen peroxide for 20 min; Blocking buffer (normal goat serum) at 37°C for 30 min; Incubation with (CD68) Monoclonal Antibody, Unconjugated (TMAB-00380) at 1:50 overnight at 4°C, followed by operating according to SP Kit (Mouse) instructionsand DAB staining.
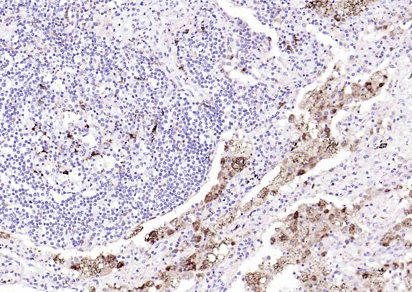
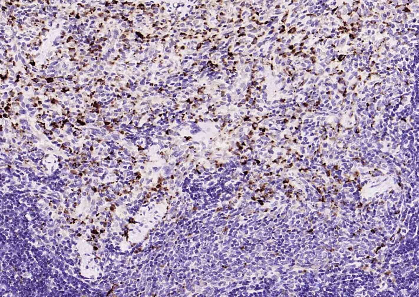
4. Paraformaldehyde-fixed, paraffin embedded (Human diffuse large B-cell lymphoma); Antigen retrieval by boiling in sodium citrate buffer (pH6.0) for 15 min; Block endogenous peroxidase by 3% hydrogen peroxide for 20 min; Blocking buffer (normal goat serum) at 37°C for 30 min; Incubation with (CD68) Monoclonal Antibody, Unconjugated (TMAB-00380) at 1:50 overnight at 4°C, followed by operating according to SP Kit (Mouse) instructionsand DAB staining.
5. Paraformaldehyde-fixed, paraffin embedded (human tonsil); Antigen retrieval by boiling in sodium citrate buffer (pH6.0) for 15 min; Block endogenous peroxidase by 3% hydrogen peroxide for 20 min; Blocking buffer (normal goat serum) at 37°C for 30 min; Incubation with (CD68) Monoclonal Antibody, Unconjugated (TMAB-00380) at 1:50 overnight at 4°C, followed by operating according to SP Kit (Mouse) instructionsand DAB staining.
6. Paraformaldehyde-fixed, paraffin embedded (human spleen); Antigen retrieval by boiling in sodium citrate buffer (pH6.0) for 15 min; Block endogenous peroxidase by 3% hydrogen peroxide for 20 min; Blocking buffer (normal goat serum) at 37°C for 30 min; Incubation with (CD68) Monoclonal Antibody, Unconjugated (TMAB-00380) at 1:50 overnight at 4°C, followed by operating according to SP Kit (Mouse) instructionsand DAB staining.
verifiedActivityverifiedActivityverifiedActivityverifiedActivityverifiedActivityverifiedActivity
应用IFIHC-FrIHC-P
推荐剂量
IF=1:50-200; IHC-Fr=1:50-200; IHC-P=1:50-200
抗体种类
Monoclonal
宿主来源Mouse
亚细胞定位Isoform Short: Cell membrane; Single-pass type I membrane protein. Isoform Long: Endosome membrane; Single-pass type I membrane protein. Lysosome membrane; Single-pass type I membrane protein.
组织特异性Highly expressed by blood monocytes and tissue macrophages. Also expressed in lymphocytes, fibroblasts and endothelial cells. Expressed in many tumor cell lines which could allow them to attach to selectins on vascular endothelium, facilitating their diss
构建方式Hybridoma Monoclonal Antibody
纯化方式Protein G purified
性状Liquid
缓冲液0.01M TBS (pH7.4) with 1% BSA, 0.02% Proclin300 and 50% Glycerol.
浓度1 mg/mL
研究背景This gene encodes a 110-kD transmembrane glycoprotein that is highly expressed by human monocytes and tissue macrophages. It is a member of the lysosomal/endosomal-associated membrane glycoprotein (LAMP) family. The protein primarily localizes to lysosomes and endosomes with a smaller fraction circulating to the cell surface. It is a type I integral membrane protein with a heavily glycosylated extracellular domain and binds to tissue- and organ-specific lectins or selectins. The protein is also a member of the scavenger receptor family. Scavenger receptors typically function to clear cellular debris, promote phagocytosis, and mediate the recruitment and activation of macrophages. Alternative splicing results in multiple transcripts encoding different isoforms. [provided by RefSeq, Jul 2008]
抗原信息
免疫原
Recombinant Protein: human CD68 1-100/354aa
抗原种属
Human
基因名称
CD68
基因ID
蛋白名称
Macrosialin
Uniprot ID
研究领域
Myeloid Cells,SARS Coronavirus
功能
Could play a role in phagocytic activities of tissue macrophages, both in intracellular lysosomal metabolism and extracellular cell-cell and cell-pathogen interactions. Binds to tissue- and organ-specific lectins or selectins, allowing homing of macrophage subsets to particular sites. Rapid recirculation of CD68 from endosomes and lysosomes to the plasma membrane may allow macrophages to crawl over selectin-bearing substrates or other cells.
化学信息
分子量Theoretical: 37 kDa.
储存&溶解度
储存方式Store at -20°C or -80°C for 12 months. Avoid repeated freeze-thaw cycles.
运输方式Shipping with blue ice.

计算器

  • 稀释 计算器
  • 配液 计算器
Related Tags: buy Anti-CD68 Antibody (8F211) | purchase Anti-CD68 Antibody (8F211) | Anti-CD68 Antibody (8F211) cost | order Anti-CD68 Antibody (8F211) | Anti-CD68 Antibody (8F211) molecular weight