购物车
  • 全部删除
  • TargetMol
    您的购物车当前为空

Anti-CD133/PROM1 Antibody (9Y940)

Rating icon 还可以
产品编号 TMAC-00656

Anti-CD133/PROM1 Antibody (9Y940) 是一种 Mouse 抗体,靶向 CD133/PROM1。Anti-CD133/PROM1 Antibody (9Y940) 可用于 ICC,IHC。

Anti-CD133/PROM1 Antibody (9Y940)

Anti-CD133/PROM1 Antibody (9Y940)

一键复制产品信息
Rating icon 还可以
产品编号 TMAC-00656

Anti-CD133/PROM1 Antibody (9Y940) 是一种 Mouse 抗体,靶向 CD133/PROM1。Anti-CD133/PROM1 Antibody (9Y940) 可用于 ICC,IHC。

规格价格库存数量
50 μL
¥ 1,985
5日内发货
100 μL
¥ 2,980
5日内发货
大包装 & 定制
加入购物车
TargetMol 的所有产品仅用作科学研究或药证申报,不能被用于人体,我们不向个人提供产品和服务。请您遵守承诺用途,不得违反法律法规规定用于任何其他用途。
实验操作小课堂
常见问题解答
查看更多
联系我们获取更多批次信息
资源下载

产品介绍

生物活性
产品描述
Anti-CD133/PROM1 Antibody (9Y940) is a Mouse antibody targeting CD133/PROM1. Anti-CD133/PROM1 Antibody (9Y940) can be used in ICC,IHC.
克隆号
9Y940
交叉反应
Human,Mouse
验证活性
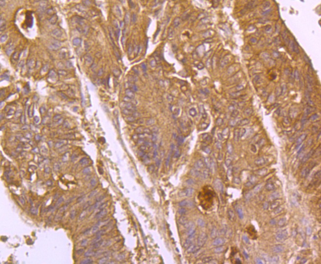
1. Immunohistochemical analysis of paraffin-embedded human colon cancer tissue using anti-CD133 antibody. Counter stained with hematoxylin.
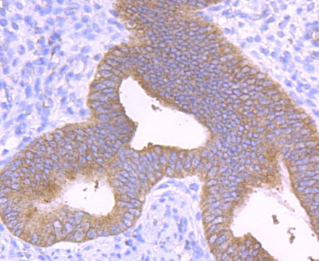
2. Immunohistochemical analysis of paraffin-embedded human uterus tissue using anti-CD133 antibody. Counter stained with hematoxylin.
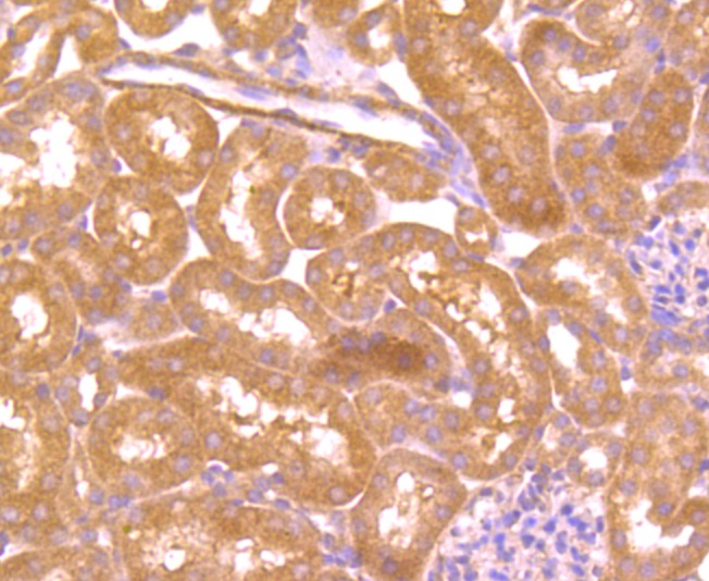
3. Immunohistochemical analysis of paraffin-embedded mouse kidney tissue using anti-CD133 antibody. Counter stained with hematoxylin.
4. ICC staining CD133 (green) in LOVO cells. The nuclear counter stain is DAPI (blue). Cells were fixed in paraformaldehyde, permeabilised with 0.25% Triton X100/PBS.
5. ICC staining CD133 (green) in N2A cells. The nuclear counter stain is DAPI (blue). Cells were fixed in paraformaldehyde, permeabilised with 0.25% Triton X100/PBS.
verifiedActivityverifiedActivityverifiedActivityverifiedActivityverifiedActivity
应用ICCIHC
推荐剂量
IHC: 1:50-200; ICC: 1:100-500
抗体种类
Monoclonal
宿主来源Mouse
构建方式Hybridoma Monoclonal Antibody
纯化方式Peptide affinity purified
性状Liquid
缓冲液1*TBS (pH7.4), 0.5%BSA, 50%Glycerol. Preservative: 0.05% Sodium Azide.
研究背景CD133 antigen also known as prominin-1 is a glycoprotein that in humans is encoded by the PROM1 gene. It is a member of pentaspan transmembrane glycoproteins (5-transmembrane, 5-TM), which specifically localize to cellular protrusions. While the precise function of CD133 remains unknown, it has been proposed to act as an organizer of cell membrane topology.
偶联与修饰
偶联
Unconjugated
抗原信息
免疫原
Peptide
Uniprot ID
化学信息
分子量Theoretical: 97 kDa.
存储&运输
储存方式Store at -20°C or -80°C for 12 months. Avoid repeated freeze-thaw cycles.
运输方式Shipping with blue ice.

计算器

  • 稀释 计算器

关键词

评论列表

4个月前
5.0
Rating icon 很棒

评论内容

Related Tags: buy Anti-CD133/PROM1 Antibody (9Y940) | purchase Anti-CD133/PROM1 Antibody (9Y940) | Anti-CD133/PROM1 Antibody (9Y940) cost | order Anti-CD133/PROM1 Antibody (9Y940) | Anti-CD133/PROM1 Antibody (9Y940) molecular weight