购物车
  • TargetMol
    您的购物车当前为空

Anti-Caspase 5 Antibody (3R203)

Synonyms: TY protease, TY, MGC141966, ICH3 protease, ICH3, ICH 3 protease, ICH 3, ICERELIII, ICEREL III, ICE(rel)III, ICE(rel) III, ICE, Caspase-5 subunit p20, Caspase-5, Caspase5, caspase 5 apoptosis related cysteine protease, Caspase 5 apoptosis related cysteine peptidase, CASP5, CASP 5, Apoptosis related cysteine protease
货号 TMAC-00571 一键复制产品信息
Rating icon 还可以

Anti-Caspase 5 Antibody (3R203) 是一种 Rabbit 抗体,靶向 Caspase 5。Anti-Caspase 5 Antibody (3R203) 可用于 ICC/IF,IHC,IP,WB。

Anti-Caspase 5 Antibody (3R203)

一键复制产品信息
Rating icon 还可以
货号 TMAC-00571

别名 TY protease, TY, MGC141966, ICH3 protease, ICH3, ICH 3 protease, ICH 3, ICERELIII, ICEREL III, ICE(rel)III, ICE(rel) III, ICE, Caspase-5 subunit p20, Caspase-5, Caspase5, caspase 5 apoptosis related cysteine protease, Caspase 5 apoptosis related cysteine peptidase, CASP5, CASP 5, Apoptosis related cysteine protease

Anti-Caspase 5 Antibody (3R203) 是一种 Rabbit 抗体,靶向 Caspase 5。Anti-Caspase 5 Antibody (3R203) 可用于 ICC/IF,IHC,IP,WB。

Anti-Caspase 5 Antibody (3R203)
规格价格库存数量
50 μL
¥ 1,485
5日内发货
100 μL
¥ 2,485
5日内发货
库存状态实时更新,以官网显示为准,现货产品可直接加购物车下单
大包装 & 定制
加入购物车

TargetMol的所有产品仅用作科学研究或药证申报,不能被用于人体,我们不向个人提供产品和服务。请您遵守承诺用途,不得违反法律法规规定用于任何其他用途。

实验操作小课堂
常见问题解答
查看更多

资源下载:产品操作手册

产品介绍


生物活性
产品描述
Anti-Caspase 5 Antibody (3R203) is a Rabbit antibody targeting Caspase 5. Anti-Caspase 5 Antibody (3R203) can be used in ICC/IF,IHC,IP,WB.
别名
TY protease, TY, MGC141966, ICH3 protease, ICH3, ICH 3 protease, ICH 3, ICERELIII, ICEREL III, ICE(rel)III, ICE(rel) III, ICE, Caspase-5 subunit p20, Caspase-5, Caspase5, caspase 5 apoptosis related cysteine protease, Caspase 5 apoptosis related cysteine peptidase, CASP5, CASP 5, Apoptosis related cysteine protease
Ig Type
IgG
克隆号
3R203
反应种属
Human
验证活性
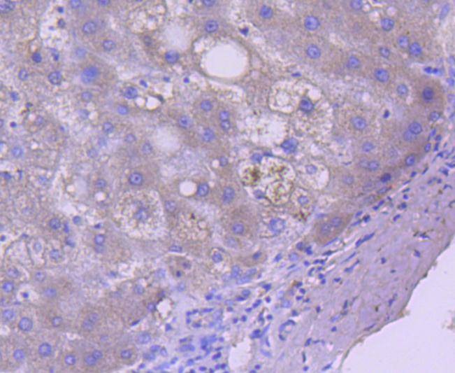
1. Immunohistochemical analysis of paraffin-embedded human liver tissue using anti-Caspase 5 antibody. Counter stained with hematoxylin.
2. ICC staining Caspase 5 in A549 cells (green). The nuclear counter stain is DAPI (blue). Cells were fixed in paraformaldehyde, permeabilised with 0.25% Triton X100/PBS.
3. ICC staining Caspase 5 in Hela cells (green). The nuclear counter stain is DAPI (blue). Cells were fixed in paraformaldehyde, permeabilised with 0.25% Triton X100/PBS.
4. ICC staining Caspase 5 in SHG-44 cells (green). The nuclear counter stain is DAPI (blue). Cells were fixed in paraformaldehyde, permeabilised with 0.25% Triton X100/PBS.
verifiedActivityverifiedActivityverifiedActivityverifiedActivity
应用ICC/IFIHCIPWB
推荐剂量
WB: 1:500-1000; IHC: 1:50-200; ICC/IF: 1:50-200
抗体种类
Monoclonal
宿主来源Rabbit
构建方式Recombinant Antibody
纯化方式ProA affinity purified
性状Liquid
缓冲液1*TBS (pH7.4), 1%BSA, 40%Glycerol. Preservative: 0.05% Sodium Azide.
研究背景Caspases are cysteine proteases which play important roles in the activation of cytokines and in apoptosis. The ICE subfamily of caspases comprises peptides closely related to caspase-1, which promotes maturation of interleukin 1β (IL-1β) and interleukin-18 (IL-18) by proteolytic cleavage of precursor forms to generate biologically active peptides. Both caspase-4 and caspase-5 are members of the caspase-1 subfamily, and are more closely related to each other than to other homologues. Caspase-5 (also designated ICErel-III, TY, ICH-3 and caspase-12 in mouse), can cleave its own precursor, an activity that requires the cysteine 245 residue. Frameshift mutations in caspase-5 have been identified in MMP tumors of the endometrium, colon, and stomach, indicating the caspase-5 may be a new target gene in the microsatellite mutator pathway for cancer. The human caspase 5 gene maps to chromosome 11q22.2-q22.3 and encodes a protein whose expression is barely detectable in most tissues except brain, with highest expression levels being found in lung, liver and skeletal muscle.
偶联与修饰
偶联
Unconjugated
抗原信息
免疫原
Recombinant Protein
Uniprot ID
化学信息
分子量Theoretical: 47 kDa.
储存&溶解度
储存方式Store at -20°C or -80°C for 12 months. Avoid repeated freeze-thaw cycles.
运输方式Shipping with blue ice.

计算器

  • 稀释 计算器
  • 配液 计算器
Related Tags: buy Anti-Caspase 5 Antibody (3R203) | purchase Anti-Caspase 5 Antibody (3R203) | Anti-Caspase 5 Antibody (3R203) cost | order Anti-Caspase 5 Antibody (3R203) | Anti-Caspase 5 Antibody (3R203) molecular weight