购物车
  • 全部删除
  • TargetMol
    您的购物车当前为空

Anti-CASP9 Antibody (5N183)

一键复制产品信息
Rating icon 还可以
产品编号 TMAC-00574
别名 MCH6, ICE-like apoptotic protease 6, ICE-LAP6, EC 3.4.22.62, Caspase-9, Caspase9, CASP-9, Apoptotic protease-activating factor 3, Apoptotic protease Mch-6, APAF-3

Anti-CASP9 Antibody (5N183) 是一种 Mouse 抗体,靶向 CASP9。Anti-CASP9 Antibody (5N183) 可用于 IP,WB。

Anti-CASP9 Antibody (5N183)

Anti-CASP9 Antibody (5N183)

一键复制产品信息
Rating icon 还可以
产品编号 TMAC-00574 别名 MCH6, ICE-like apoptotic protease 6, ICE-LAP6, EC 3.4.22.62, Caspase-9, Caspase9, CASP-9, Apoptotic protease-activating factor 3, Apoptotic protease Mch-6, APAF-3

Anti-CASP9 Antibody (5N183) 是一种 Mouse 抗体,靶向 CASP9。Anti-CASP9 Antibody (5N183) 可用于 IP,WB。

规格价格库存数量
50 μL
¥ 1,340
5日内发货
100 μL
¥ 2,195
5日内发货
大包装 & 定制
加入购物车
TargetMol 的所有产品仅用作科学研究或药证申报,不能被用于人体,我们不向个人提供产品和服务。请您遵守承诺用途,不得违反法律法规规定用于任何其他用途。
实验操作小课堂
常见问题解答
查看更多
联系我们获取更多批次信息
资源下载

产品介绍

生物活性
产品描述
Anti-CASP9 Antibody (5N183) is a Mouse antibody targeting CASP9. Anti-CASP9 Antibody (5N183) can be used in IP,WB.
别名MCH6, ICE-like apoptotic protease 6, ICE-LAP6, EC 3.4.22.62, Caspase-9, Caspase9, CASP-9, Apoptotic protease-activating factor 3, Apoptotic protease Mch-6, APAF-3
克隆号
5N183
交叉反应
Human,Mouse,Rat
验证活性
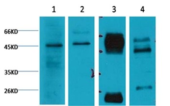
1. Western blot analysis of Hela cells, using TMAC-00574 diluted at 1:2,000 1:5,000.
2. Western blot analysis of 1)Jurkat, 2) HepG2, 3)Mouse Heart, 4)Rat Heart, using TMAC-00574 diluted at 1:3,000.
3. Input: Hela Cell Lysate, IP product: IP dilute 1:200. Western blot analysis: primary antibody : TMAC-00574 1:1,000, Secondary antibody: Goat anti-Mouse IgG, Light chain specific, 1:5,000.
verifiedActivityverifiedActivityverifiedActivity
应用IPWB
推荐剂量
WB: 1:1000-5000;IP: 1:200
抗体种类
Monoclonal
宿主来源Mouse
构建方式Hybridoma Monoclonal Antibody
纯化方式Affinity purification using immunogen.
性状Liquid
缓冲液Mouse IgG1 in phosphate buffered saline (without Mg2+ and Ca2+), pH 7.4, 150mM NaCl, 0.02% sodium azide and 50% glycerol.
研究背景Caspase-9 is an initiator caspase, encoded by the CASP9 gene.Binding of caspase-9 to Apaf-1 leads to activation of the protease which then cleaves and activates caspase-3. Proteolytically cleaves poly(ADP-ribose) polymerase (PARP).
偶联与修饰
偶联
Unconjugated
抗原信息
Uniprot ID
化学信息
分子量Actual: 46 kDa.
存储&运输
储存方式Store at -20°C or -80°C for 12 months. Avoid repeated freeze-thaw cycles.
运输方式Shipping with blue ice.

计算器

  • 稀释 计算器

评论列表

4个月前
5.0
Rating icon 很棒

评论内容

Related Tags: buy Anti-CASP9 Antibody (5N183) | purchase Anti-CASP9 Antibody (5N183) | Anti-CASP9 Antibody (5N183) cost | order Anti-CASP9 Antibody (5N183) | Anti-CASP9 Antibody (5N183) molecular weight