购物车
  • TargetMol
    您的购物车当前为空

Anti-CAMK2D Antibody (7Z493)

Synonyms: CaMK-II subunit delta, CAMKD, CAMK2D, CaM kinase II subunit delta, Calcium/calmodulin-dependent protein kinase type II subunit delta
货号 TMAC-00542 一键复制产品信息
Rating icon 还可以

Anti-CAMK2D Antibody (7Z493) 是一种 Rabbit 抗体,靶向 CAMK2D。Anti-CAMK2D Antibody (7Z493) 可用于 IHC,WB。

Anti-CAMK2D Antibody (7Z493)

一键复制产品信息
Rating icon 还可以
货号 TMAC-00542

别名 CaMK-II subunit delta, CAMKD, CAMK2D, CaM kinase II subunit delta, Calcium/calmodulin-dependent protein kinase type II subunit delta

Anti-CAMK2D Antibody (7Z493) 是一种 Rabbit 抗体,靶向 CAMK2D。Anti-CAMK2D Antibody (7Z493) 可用于 IHC,WB。

Anti-CAMK2D Antibody (7Z493)
规格价格库存数量
50 μL
¥ 1,480
5日内发货
100 μL
¥ 2,490
5日内发货
库存状态实时更新,以官网显示为准,现货产品可直接加购物车下单
大包装 & 定制
加入购物车

TargetMol的所有产品仅用作科学研究或药证申报,不能被用于人体,我们不向个人提供产品和服务。请您遵守承诺用途,不得违反法律法规规定用于任何其他用途。

实验操作小课堂
常见问题解答
查看更多

资源下载:产品操作手册

产品介绍


生物活性
产品描述
Anti-CAMK2D Antibody (7Z493) is a Rabbit antibody targeting CAMK2D. Anti-CAMK2D Antibody (7Z493) can be used in IHC,WB.
别名
CaMK-II subunit delta, CAMKD, CAMK2D, CaM kinase II subunit delta, Calcium/calmodulin-dependent protein kinase type II subunit delta
Ig Type
IgG
克隆号
7Z493
反应种属
Human,Mouse,Rat,zebrafish
验证活性
1. Western blot analysis of CaMKII delta on Human skeletal muscle (1) and Rat heart (2) cells lysates using anti-CaMKII delta antibody at 1/500 dilution.
2. Immunohistochemical analysis of paraffin-embedded zebrafish tissue using anti-CaMKII delta antibody. Counter stained with hematoxylin.
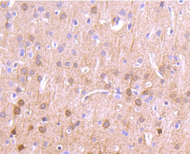
3. Immunohistochemical analysis of paraffin-embedded rat brain tissue using anti-CaMKII delta antibody. Counter stained with hematoxylin.
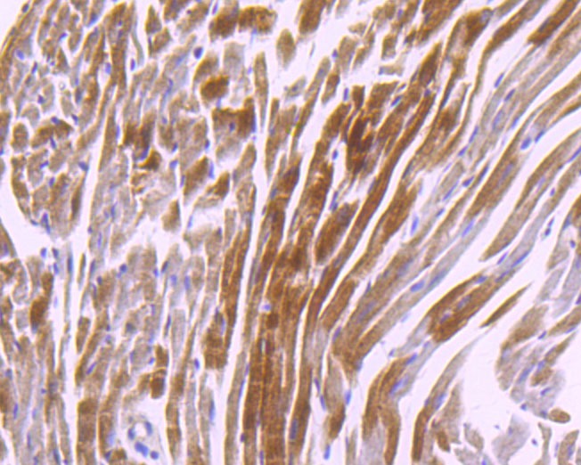
4. Immunohistochemical analysis of paraffin-embedded mouse skeletal muscle tissue using anti-CaMKII delta antibody. Counter stained with hematoxylin.
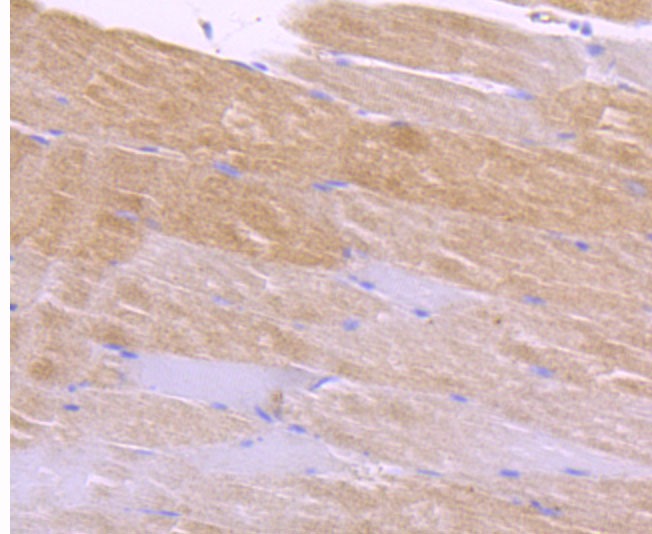
5. Immunohistochemical analysis of paraffin-embedded mouse heart tissue using anti-CaMKII delta antibody. Counter stained with hematoxylin.
verifiedActivityverifiedActivityverifiedActivityverifiedActivityverifiedActivity
应用IHCWB
推荐剂量
WB: 1:500-2000; IHC: 1:50-200
抗体种类
Monoclonal
宿主来源Rabbit
构建方式Recombinant Antibody
纯化方式ProA affinity purified
性状Liquid
缓冲液1*TBS (pH7.4), 1%BSA, 40%Glycerol. Preservative: 0.05% Sodium Azide.
研究背景Calcium/calmodulin-dependent protein kinase involved in the regulation of Ca2homeostatis and excitation-contraction coupling (ECC) in heart by targeting ion channels, transporters and accessory proteins involved in Ca2influx into the myocyte, Ca2release from the sarcoplasmic reticulum (SR), SR Ca2uptake and Naand Kchannel transport. Targets also transcription factors and signaling molecules to regulate heart function. In its activated form, is involved in the pathogenesis of dilated cardiomyopathy and heart failure. Regulates Ca2influx to myocytes by binding and phosphorylating the L-type Ca2channel subunit beta-2 CACNB2. In addition to Ca2channels, can target and regulate the cardiac sarcolemmal Nachannel Nav1.5/SCN5A and the K+ channel Kv4.3/KCND3, which contribute to arrhythmogenesis in heart failure. Phosphorylates phospholamban (PLN/PLB), an endogenous inhibitor of SERCA2A/ATP2A2, contributing to the enhancement of SR Ca2uptake that may be important in frequency-dependent acceleration of relaxation (FDAR) and maintenance of contractile function during acidosis.
偶联与修饰
偶联
Unconjugated
抗原信息
免疫原
Recombinant Protein
Uniprot ID
化学信息
分子量Theoretical: 50 kDa.
储存&溶解度
储存方式Store at -20°C or -80°C for 12 months. Avoid repeated freeze-thaw cycles.
运输方式Shipping with blue ice.

计算器

  • 稀释 计算器
  • 配液 计算器
Related Tags: buy Anti-CAMK2D Antibody (7Z493) | purchase Anti-CAMK2D Antibody (7Z493) | Anti-CAMK2D Antibody (7Z493) cost | order Anti-CAMK2D Antibody (7Z493) | Anti-CAMK2D Antibody (7Z493) molecular weight