购物车
  • 全部删除
  • TargetMol
    您的购物车当前为空

Anti-Breast cancer-overexpressed gene 1 protein Antibody (1N989)

一键复制产品信息
Rating icon 还可以
产品编号 TMAC-00475
别名 UPF0378 protein KIAA0100, MGC134981, MGC111488, KIAA0100, K0100_HUMAN, DKFZp686M0843, CT101, Breast cancer-overexpressed gene 1 protein, BCOX1, BCOX, Antigen MLAA-22

Anti-Breast cancer-overexpressed gene 1 protein Antibody (1N989) 是一种 Mouse 抗体,靶向 Breast cancer-overexpressed gene 1 protein。Anti-Breast cancer-overexpressed gene 1 protein Antibody (1N989) 可用于 ICC,IHC,WB。

Anti-Breast cancer-overexpressed gene 1 protein Antibody (1N989)

Anti-Breast cancer-overexpressed gene 1 protein Antibody (1N989)

一键复制产品信息
Rating icon 还可以
产品编号 TMAC-00475 别名 UPF0378 protein KIAA0100, MGC134981, MGC111488, KIAA0100, K0100_HUMAN, DKFZp686M0843, CT101, Breast cancer-overexpressed gene 1 protein, BCOX1, BCOX, Antigen MLAA-22

Anti-Breast cancer-overexpressed gene 1 protein Antibody (1N989) 是一种 Mouse 抗体,靶向 Breast cancer-overexpressed gene 1 protein。Anti-Breast cancer-overexpressed gene 1 protein Antibody (1N989) 可用于 ICC,IHC,WB。

规格价格库存数量
50 μL
¥ 1,995
5日内发货
100 μL
¥ 2,995
5日内发货
大包装 & 定制
加入购物车
TargetMol 的所有产品仅用作科学研究或药证申报,不能被用于人体,我们不向个人提供产品和服务。请您遵守承诺用途,不得违反法律法规规定用于任何其他用途。
实验操作小课堂
常见问题解答
查看更多
联系我们获取更多批次信息
资源下载

产品介绍

生物活性
产品描述
Anti-Breast cancer-overexpressed gene 1 protein Antibody (1N989) is a Mouse antibody targeting Breast cancer-overexpressed gene 1 protein. Anti-Breast cancer-overexpressed gene 1 protein Antibody (1N989) can be used in ICC,IHC,WB.
别名UPF0378 protein KIAA0100, MGC134981, MGC111488, KIAA0100, K0100_HUMAN, DKFZp686M0843, CT101, Breast cancer-overexpressed gene 1 protein, BCOX1, BCOX, Antigen MLAA-22
克隆号
1N989
交叉反应
Human
验证活性
1. Western blot analysis on recombinant protein using anti-KIAA0100 Mouse mAb.
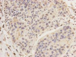
2. Immunohistochemical analysis of paraffin- embedded human breast carcinoma tissue using anti-KIAA0100 Mouse mAb.
3. Immunofluorescent staining of Hela cells using anti-KIAA0100 Mouse mAb.
verifiedActivityverifiedActivityverifiedActivity
应用ICCIHCWB
推荐剂量
WB: 1:1000-10000; IHC: 1:200; ICC: 1:100-500
抗体种类
Monoclonal
宿主来源Mouse
构建方式Hybridoma Monoclonal Antibody
纯化方式ProA affinity purified
性状Liquid
缓冲液1*TBS (pH7.4), 1%BSA, 40%Glycerol. Preservative: 0.05% Sodium Azide.
研究背景Breast cancer-overexpressed gene 1 protein(KIAA0100)is a glucoprotein composed of 2235 amino acids.KIAA0100 has four isforms (254kDa,250kDa,45kDa,25kDa).KIAA0100 is expressed in pancreas, placenta and up-regulated in breast carcinoma epithelial cells.
偶联与修饰
偶联
Unconjugated
抗原信息
免疫原
Recombinant Protein: human KIAA0100 1900-2250 aa
抗原种属
human
Uniprot ID
化学信息
分子量Theoretical: 254 kDa.
存储&运输
储存方式Store at -20°C or -80°C for 12 months. Avoid repeated freeze-thaw cycles.
运输方式Shipping with blue ice.

计算器

  • 稀释 计算器

评论列表

4个月前
5.0
Rating icon 很棒

评论内容

Related Tags: buy Anti-Breast cancer-overexpressed gene 1 protein Antibody (1N989) | purchase Anti-Breast cancer-overexpressed gene 1 protein Antibody (1N989) | Anti-Breast cancer-overexpressed gene 1 protein Antibody (1N989) cost | order Anti-Breast cancer-overexpressed gene 1 protein Antibody (1N989) | Anti-Breast cancer-overexpressed gene 1 protein Antibody (1N989) molecular weight