购物车
  • TargetMol
    您的购物车当前为空

Anti-BAX Antibody (5X827)

Synonyms: Bcl-2-like protein 4, Bcl2-L-4, BCL2L4, Apoptosis regulator BAX
货号 TMAB-00190 一键复制产品信息
Rating icon 还可以

Anti-BAX Antibody (5X827) 是一种 Rabbit 抗体,靶向 BAX。Anti-BAX Antibody (5X827) 可用于 FCM, ICC/IF, IF, IHC-Fr, IHC-P, WB。

Anti-BAX Antibody (5X827)

一键复制产品信息
Rating icon 还可以
货号 TMAB-00190

别名 Bcl-2-like protein 4, Bcl2-L-4, BCL2L4, Apoptosis regulator BAX

Anti-BAX Antibody (5X827) 是一种 Rabbit 抗体,靶向 BAX。Anti-BAX Antibody (5X827) 可用于 FCM, ICC/IF, IF, IHC-Fr, IHC-P, WB。

Anti-BAX Antibody (5X827)
规格价格库存数量
25 μL
¥ 785
5日内发货
50 μL
¥ 1,390
5日内发货
100 μL
¥ 2,490
5日内发货
库存状态实时更新,以官网显示为准,现货产品可直接加购物车下单
大包装 & 定制
加入购物车

TargetMol的所有产品仅用作科学研究或药证申报,不能被用于人体,我们不向个人提供产品和服务。请您遵守承诺用途,不得违反法律法规规定用于任何其他用途。

实验操作小课堂
常见问题解答
查看更多

资源下载:产品操作手册

产品介绍


生物活性
产品描述
Anti-BAX Antibody (5X827) is a Rabbit antibody targeting BAX. Anti-BAX Antibody (5X827) can be used in FCM, ICC/IF, IF, IHC-Fr, IHC-P, WB.
别名
Bcl-2-like protein 4, Bcl2-L-4, BCL2L4, Apoptosis regulator BAX
Ig Type
IgG
克隆号
5X827
反应种属
Human,Mouse,Rat
验证活性
1. 25 μg total protein per Lane of various lysates probed with Bax monoclonal antibody, unconjugated (TMAB-00190) at 1:5000 dilution and 4°C overnight incubation. Followed by conjugated secondary antibody incubation at RT for 60 min.
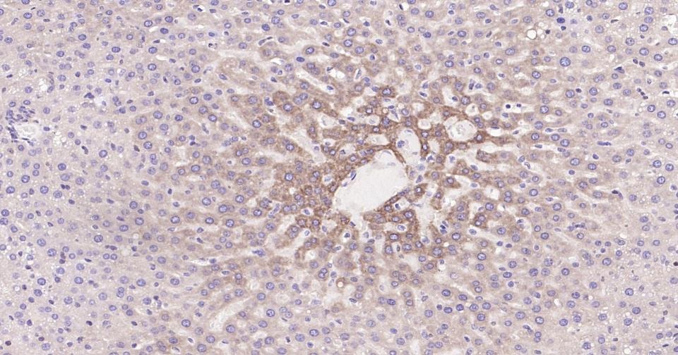
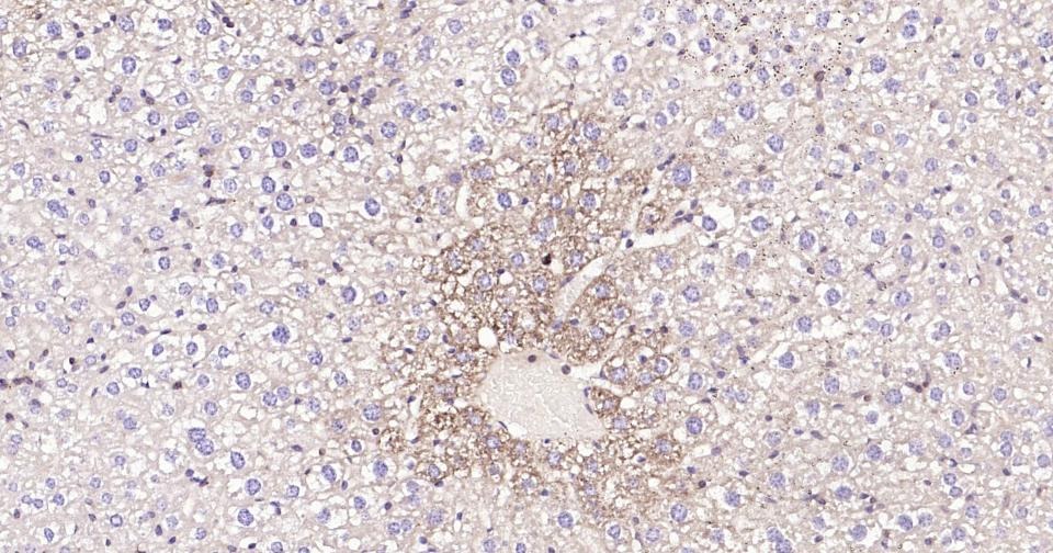
2. Paraformaldehyde-fixed, paraffin embedded Mouse Liver; Antigen retrieval by boiling in sodium citrate buffer (pH6.0) for 15 min; Antibody incubation with Bax Monoclonal Antibody, Unconjugated (TMAB-00190) at 1:300 overnight at 4°C, followed by conjugation to the SP Kit (Rabbit) and DAB staining.
3. Paraformaldehyde-fixed, paraffin embedded Rat Liver; Antigen retrieval by boiling in sodium citrate buffer (pH6.0) for 15 min; Antibody incubation with Bax Monoclonal Antibody, Unconjugated (TMAB-00190) at 1:300 overnight at 4°C, followed by conjugation to the SP Kit (Rabbit) and DAB staining.
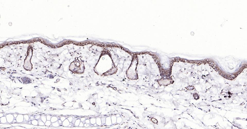
4. Paraformaldehyde-fixed, paraffin embedded Mouse Skin; Antigen retrieval by boiling in sodium citrate buffer (pH6.0) for 15 min; Antibody incubation with Bax Monoclonal Antibody, Unconjugated (TMAB-00190) at 1:300 overnight at 4°C, followed by conjugation to the SP Kit (Rabbit) and DAB staining.
5. Paraformaldehyde-fixed, paraffin embedded Rat Skin; Antigen retrieval by boiling in sodium citrate buffer (pH6.0) for 15 min; Antibody incubation with Bax Monoclonal Antibody, Unconjugated (TMAB-00190) at 1:300 overnight at 4°C, followed by conjugation to the SP Kit (Rabbit) and DAB staining.
6. Paraformaldehyde-fixed, paraffin embedded Human Skin; Antigen retrieval by boiling in sodium citrate buffer (pH6.0) for 15 min; Antibody incubation with Bax Monoclonal Antibody, Unconjugated (TMAB-00190) at 1:300 overnight at 4°C, followed by conjugation to the SP Kit (Rabbit) and DAB staining.
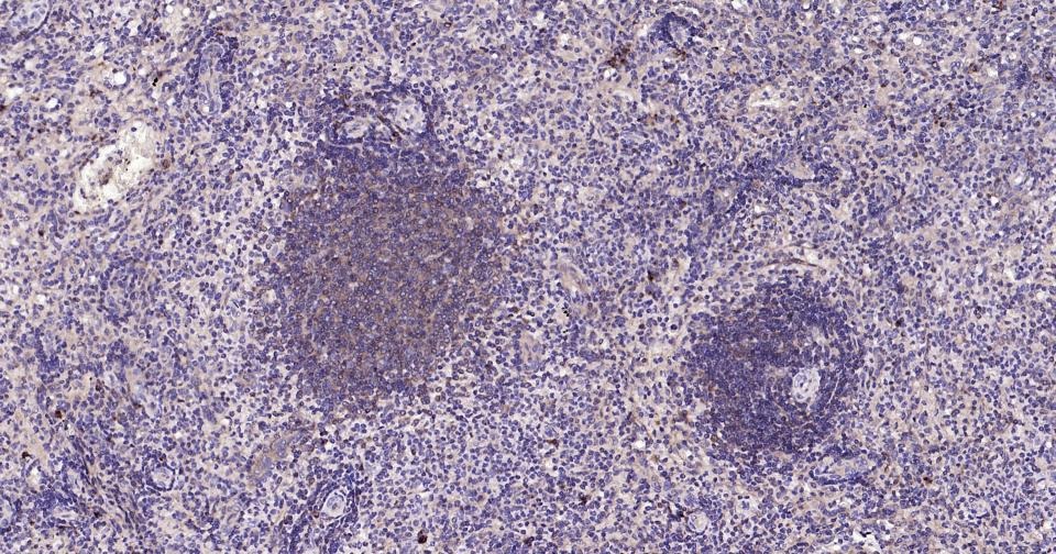
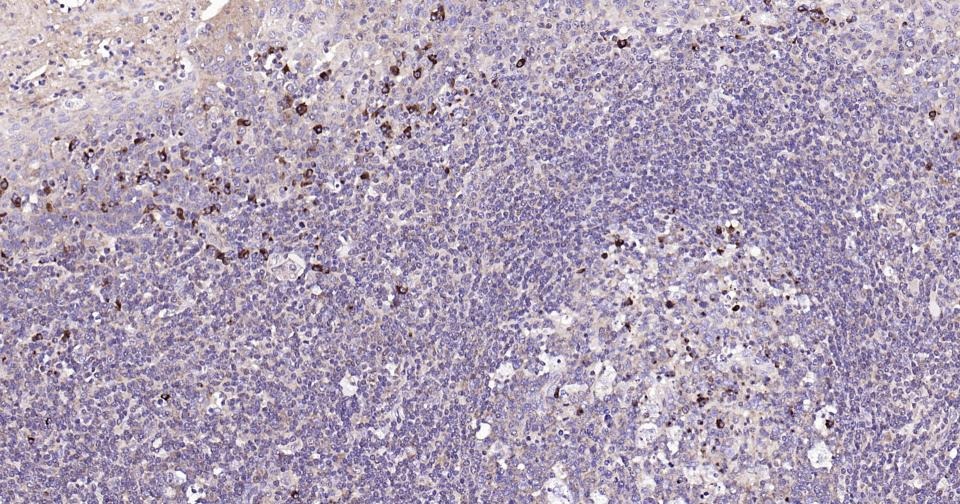
7. Paraformaldehyde-fixed, paraffin embedded Mouse Spleen; Antigen retrieval by boiling in sodium citrate buffer (pH6.0) for 15 min; Antibody incubation with Bax Monoclonal Antibody, Unconjugated (TMAB-00190) at 1:300 overnight at 4°C, followed by conjugation to the SP Kit (Rabbit) and DAB staining.
8. Paraformaldehyde-fixed, paraffin embedded Rat Spleen; Antigen retrieval by boiling in sodium citrate buffer (pH6.0) for 15 min; Antibody incubation with Bax Monoclonal Antibody, Unconjugated (TMAB-00190) at 1:300 overnight at 4°C, followed by conjugation to the SP Kit (Rabbit) and DAB staining.
9. Paraformaldehyde-fixed, paraffin embedded Human Spleen; Antigen retrieval by boiling in sodium citrate buffer (pH6.0) for 15 min; Antibody incubation with Bax Monoclonal Antibody, Unconjugated (TMAB-00190) at 1:300 overnight at 4°C, followed by conjugation to the SP Kit (Rabbit) and DAB staining.
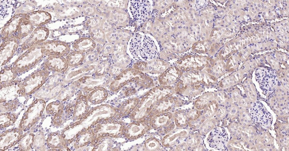
10. Paraformaldehyde-fixed, paraffin embedded Mouse Kidney; Antigen retrieval by boiling in sodium citrate buffer (pH6.0) for 15 min; Antibody incubation with Bax Monoclonal Antibody, Unconjugated (TMAB-00190) at 1:300 overnight at 4°C, followed by conjugation to the SP Kit (Rabbit) and DAB staining.
11. Paraformaldehyde-fixed, paraffin embedded Rat Kidney; Antigen retrieval by boiling in sodium citrate buffer (pH6.0) for 15 min; Antibody incubation with Bax Monoclonal Antibody, Unconjugated (TMAB-00190) at 1:300 overnight at 4°C, followed by conjugation to the SP Kit (Rabbit) and DAB staining.
12. Paraformaldehyde-fixed, paraffin embedded Rat Lung; Antigen retrieval by boiling in sodium citrate buffer (pH6.0) for 15 min; Antibody incubation with Bax Monoclonal Antibody, Unconjugated (TMAB-00190) at 1:300 overnight at 4°C, followed by conjugation to the SP Kit (Rabbit) and DAB staining.
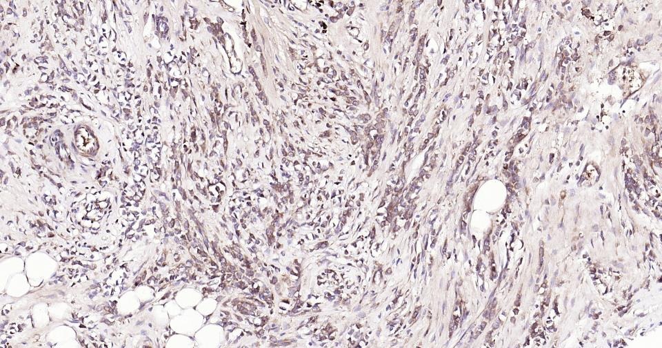
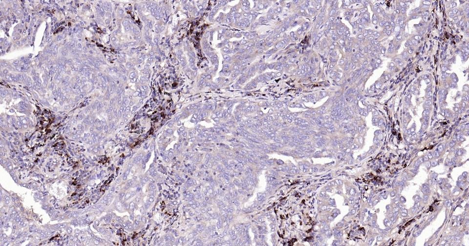
13. Paraformaldehyde-fixed, paraffin embedded Human Lung Cancer; Antigen retrieval by boiling in sodium citrate buffer (pH6.0) for 15 min; Antibody incubation with Bax Monoclonal Antibody, Unconjugated (TMAB-00190) at 1:300 overnight at 4°C, followed by conjugation to the SP Kit (Rabbit) and DAB staining.
14. Paraformaldehyde-fixed, paraffin embedded Human Colon Cancer; Antigen retrieval by boiling in sodium citrate buffer (pH6.0) for 15 min; Antibody incubation with Bax Monoclonal Antibody, Unconjugated (TMAB-00190) at 1:300 overnight at 4°C, followed by conjugation to the SP Kit (Rabbit) and DAB staining.
15. Paraformaldehyde-fixed, paraffin embedded Human Breast Cancer; Antigen retrieval by boiling in sodium citrate buffer (pH6.0) for 15 min; Antibody incubation with Bax Monoclonal Antibody, Unconjugated (TMAB-00190) at 1:300 overnight at 4°C, followed by conjugation to the SP Kit (Rabbit) and DAB staining.
16. Paraformaldehyde-fixed, paraffin embedded Human Tonsil; Antigen retrieval by boiling in sodium citrate buffer (pH6.0) for 15 min; Antibody incubation with Bax Monoclonal Antibody, Unconjugated (TMAB-00190) at 1:300 overnight at 4°C, followed by conjugation to the SP Kit (Rabbit) and DAB staining.
17. Paraformaldehyde-fixed, paraffin embedded Human Prostate; Antigen retrieval by boiling in sodium citrate buffer (pH6.0) for 15 min; Antibody incubation with Bax Monoclonal Antibody, Unconjugated (TMAB-00190) at 1:300 overnight at 4°C, followed by conjugation to the SP Kit (Rabbit) and DAB staining.
18. Paraformaldehyde-fixed, paraffin embedded Human Esophagus; Antigen retrieval by boiling in sodium citrate buffer (pH6.0) for 15 min; Antibody incubation with Bax Monoclonal Antibody, Unconjugated (TMAB-00190) at 1:300 overnight at 4°C, followed by conjugation to the SP Kit (Rabbit) and DAB staining.
19. Paraformaldehyde-fixed, paraffin embedded Human Esophagus Cancer; Antigen retrieval by boiling in sodium citrate buffer (pH6.0) for 15 min; Antibody incubation with Bax Monoclonal Antibody, Unconjugated (TMAB-00190) at 1:300 overnight at 4°C, followed by conjugation to the SP Kit (Rabbit) and DAB staining.
verifiedActivityverifiedActivityverifiedActivityverifiedActivityverifiedActivityverifiedActivityverifiedActivityverifiedActivityverifiedActivityverifiedActivityverifiedActivityverifiedActivityverifiedActivityverifiedActivityverifiedActivityverifiedActivityverifiedActivityverifiedActivityverifiedActivity
应用FCMICC/IFIFIHC-FrIHC-PWB
推荐剂量
FCM=1:50-100; ICC/IF=1:50-200; IF=1:100-500; IHC-Fr=1:100-500; IHC-P=1:100-500; WB=1:1000-2000
抗体种类
Monoclonal
宿主来源Rabbit
亚细胞定位Isoform Alpha: Mitochondrion membrane; Single-pass membrane protein. Cytoplasm. Note=Colocalizes with 14-3-3 proteins in the cytoplasm. Under stress conditions, undergoes a conformation change that causes release from JNK-phosphorylated 14-3-3 proteins and translocation to the mitochondrion membrane. Isoform Beta: Cytoplasm. Isoform Gamma: Cytoplasm. Isoform Delta: Cytoplasm (Potential).
组织特异性Expressed in a wide variety of tissues. Isoform Psi is found in glial tumors. Isoform Alpha is expressed in spleen, breast, ovary, testis, colon and brain, and at low levels in skin and lung. Isoform Sigma is expressed in spleen, breast, ovary, testis, lu
构建方式Recombinant Antibody
纯化方式Protein A purified
性状Liquid
缓冲液0.01M TBS (pH7.4) with 1% BSA, 0.02% Proclin300 and 50% Glycerol.
浓度1 mg/mL
研究背景The protein encoded by this gene belongs to the BCL2 protein family. BCL2 family members form hetero- or homodimers and act as anti- or pro-apoptotic regulators that are involved in a wide variety of cellular activities. This protein forms a heterodimer with BCL2, and functions as an apoptotic activator. This protein is reported to interact with, and increase the opening of, the mitochondrial voltage-dependent anion channel (VDAC), which leads to the loss in membrane potential and the release of cytochrome c. The expression of this gene is regulated by the tumor suppressor P53 and has been shown to be involved in P53-mediated apoptosis. Multiple alternatively spliced transcript variants, which encode different isoforms, have been reported for this gene. [provided by RefSeq, Jul 2008].
抗原信息
免疫原
A synthesized peptide: human BAX
抗原种属
Human
基因名称
BAX
基因ID
蛋白名称
Apoptosis regulator BAX
Uniprot ID
研究领域
Bcl 2 family,Metabolism,Bcl 2 family,Associated Proteins,Bcl2 Family,Apoptosis marker and proteins ELISA kits,Apoptosis
功能
Accelerates programmed cell death by binding to, and antagonizing the apoptosis repressor BCL2 or its adenovirus homolog E1B 19k protein. Under stress conditions, undergoes a conformation change that causes translocation to the mitochondrion membrane, leading to the release of cytochrome c that then triggers apoptosis. Promotes activation of CASP3, and thereby apoptosis.
化学信息
分子量Theoretical: 21 kDa. Actual: 23 kDa.
储存&溶解度
储存方式Store at -20°C or -80°C for 12 months. Avoid repeated freeze-thaw cycles.
运输方式Shipping with blue ice.

计算器

  • 稀释 计算器
  • 配液 计算器
Related Tags: buy Anti-BAX Antibody (5X827) | purchase Anti-BAX Antibody (5X827) | Anti-BAX Antibody (5X827) cost | order Anti-BAX Antibody (5X827) | Anti-BAX Antibody (5X827) molecular weight