购物车
  • 全部删除
  • TargetMol
    您的购物车当前为空

Anti-BAG3 Antibody (9B703)

一键复制产品信息
Rating icon 还可以
产品编号 TMAC-00371
别名 MFM6, Docking protein CAIR-1, Docking protein CAIR 1, CAIR 1, BIS, Bcl-2-binding protein Bis, Bcl-2-associated athanogene 3, BCL2 binding athanogene 3, BCL2 associated athanogene 3, Bcl 2 binding protein, BAG family molecular chaperone regulator 3, BAG 3

Anti-BAG3 Antibody (9B703) 是一种 Rabbit 抗体,靶向 BAG3。Anti-BAG3 Antibody (9B703) 可用于 IHC,IP,WB。

Anti-BAG3 Antibody (9B703)

Anti-BAG3 Antibody (9B703)

一键复制产品信息
Rating icon 还可以
产品编号 TMAC-00371 别名 MFM6, Docking protein CAIR-1, Docking protein CAIR 1, CAIR 1, BIS, Bcl-2-binding protein Bis, Bcl-2-associated athanogene 3, BCL2 binding athanogene 3, BCL2 associated athanogene 3, Bcl 2 binding protein, BAG family molecular chaperone regulator 3, BAG 3

Anti-BAG3 Antibody (9B703) 是一种 Rabbit 抗体,靶向 BAG3。Anti-BAG3 Antibody (9B703) 可用于 IHC,IP,WB。

规格价格库存数量
50 μL
¥ 1,480
5日内发货
100 μL
¥ 2,495
5日内发货
大包装 & 定制
加入购物车
TargetMol 的所有产品仅用作科学研究或药证申报,不能被用于人体,我们不向个人提供产品和服务。请您遵守承诺用途,不得违反法律法规规定用于任何其他用途。
实验操作小课堂
常见问题解答
查看更多
联系我们获取更多批次信息
资源下载

产品介绍

生物活性
产品描述
Anti-BAG3 Antibody (9B703) is a Rabbit antibody targeting BAG3. Anti-BAG3 Antibody (9B703) can be used in IHC,IP,WB.
别名MFM6, Docking protein CAIR-1, Docking protein CAIR 1, CAIR 1, BIS, Bcl-2-binding protein Bis, Bcl-2-associated athanogene 3, BCL2 binding athanogene 3, BCL2 associated athanogene 3, Bcl 2 binding protein, BAG family molecular chaperone regulator 3, BAG 3
Ig Type
IgG
克隆号
9B703
交叉反应
Human
验证活性
1. Western blot analysis of Bag3 on Hela (1) and MCF-7 (2) cell using anti-Bag3 antibody at 1/1,000 dilution.
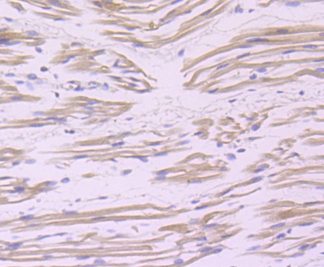
2. Immunohistochemical analysis of paraffin-embedded human fetal skeletal muscle tissue using anti-Bag3 antibody. Counter stained with hematoxylin.
verifiedActivityverifiedActivity
应用IHCIPWB
推荐剂量
WB: 1:1000-2000; IHC: 1:50-200
抗体种类
Monoclonal
宿主来源Rabbit
构建方式Recombinant Antibody
纯化方式ProA affinity purified
性状Liquid
缓冲液1*TBS (pH7.4), 1%BSA, 40%Glycerol. Preservative: 0.05% Sodium Azide.
研究背景The Bag family of proteins are characterized by the presence of a 45 amino acid Bag domain through which they bind with high affinity to the ATPase domain of HSP 70, thereby negatively regulating HSP 70 chaperone activity. Bag-3 (Bcl-2-associated athanogene 3), also known as BIS or CAIR-1, is a 575 amino acid protein that contains one C-terminal Bag domain and two N-terminal WW domains. Like other members of the Bag family, Bag-3 functions to inhibit the chaperone activity of HSP 70, specifically by promoting the release of HSP 70-bound substrates. Additionally, Bag-3 exhibits apoptotic activity via cell cycle control, suggesting a possible role for Bag-3 in tumor progression. The gene encoding Bag-3 maps to human chromosome 10, which houses over 1,200 genes and comprises nearly 4.5% of the human genome.
偶联与修饰
偶联
Unconjugated
抗原信息
免疫原
Recombinant Protein
Uniprot ID
化学信息
分子量Theoretical: 75 kDa.
存储&运输
储存方式Store at -20°C or -80°C for 12 months. Avoid repeated freeze-thaw cycles.
运输方式Shipping with blue ice.

计算器

  • 稀释 计算器

评论列表

4个月前
5.0
Rating icon 很棒

评论内容

Related Tags: buy Anti-BAG3 Antibody (9B703) | purchase Anti-BAG3 Antibody (9B703) | Anti-BAG3 Antibody (9B703) cost | order Anti-BAG3 Antibody (9B703) | Anti-BAG3 Antibody (9B703) molecular weight