购物车
  • TargetMol
    您的购物车当前为空

Anti-BAF57 Antibody (2O20)

Synonyms: SWI/SNF-related matrix-associated actin-dependent regulator of chromatin subfamily E member 1, SWI/SNF related matrix associated actin dependent regulator of chromatin subfamily e member 1, SWI/SNF related matrix associated actin dependent regulator of chromatin e1, SMCE1_HUMAN, SMARCE1, SMARCE 1, FLJ35648, Chromatin remodeling complex BRG1 associated factor 57, BRG1-associated factor 57, BRG1 associated factor 57, BAF 57
货号 TMAC-00369 一键复制产品信息
Rating icon 还可以

Anti-BAF57 Antibody (2O20) 是一种 Rabbit 抗体,靶向 BAF57。Anti-BAF57 Antibody (2O20) 可用于 ICC,IF,IHC,IP,WB。

Anti-BAF57 Antibody (2O20)

一键复制产品信息
Rating icon 还可以
货号 TMAC-00369

别名 SWI/SNF-related matrix-associated actin-dependent regulator of chromatin subfamily E member 1, SWI/SNF related matrix associated actin dependent regulator of chromatin subfamily e member 1, SWI/SNF related matrix associated actin dependent regulator of chromatin e1, SMCE1_HUMAN, SMARCE1, SMARCE 1, FLJ35648, Chromatin remodeling complex BRG1 associated factor 57, BRG1-associated factor 57, BRG1 associated factor 57, BAF 57

Anti-BAF57 Antibody (2O20) 是一种 Rabbit 抗体,靶向 BAF57。Anti-BAF57 Antibody (2O20) 可用于 ICC,IF,IHC,IP,WB。

Anti-BAF57 Antibody (2O20)
规格价格库存数量
50 μL
¥ 1,490
5日内发货
100 μL
¥ 2,490
5日内发货
库存状态实时更新,以官网显示为准,现货产品可直接加购物车下单
大包装 & 定制
加入购物车

TargetMol的所有产品仅用作科学研究或药证申报,不能被用于人体,我们不向个人提供产品和服务。请您遵守承诺用途,不得违反法律法规规定用于任何其他用途。

实验操作小课堂
常见问题解答
查看更多

资源下载:产品操作手册

产品介绍


生物活性
产品描述
Anti-BAF57 Antibody (2O20) is a Rabbit antibody targeting BAF57. Anti-BAF57 Antibody (2O20) can be used in ICC,IF,IHC,IP,WB.
别名
SWI/SNF-related matrix-associated actin-dependent regulator of chromatin subfamily E member 1, SWI/SNF related matrix associated actin dependent regulator of chromatin subfamily e member 1, SWI/SNF related matrix associated actin dependent regulator of chromatin e1, SMCE1_HUMAN, SMARCE1, SMARCE 1, FLJ35648, Chromatin remodeling complex BRG1 associated factor 57, BRG1-associated factor 57, BRG1 associated factor 57, BAF 57
Ig Type
IgG
克隆号
2O20
反应种属
Human,Mouse,Rat
验证活性
1. Western blot analysis of BAF57 on SH-SY-5Y cell lysate using anti-BAF57 antibody at 1/1,000 dilution.
2. Immunohistochemical analysis of paraffin-embedded rat uterus tissue using anti-BAF57 antibody. Counter stained with hematoxylin.
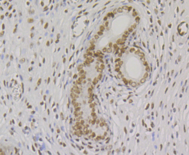
3. Immunohistochemical analysis of paraffin-embedded human gallbladder tissue using anti-BAF57 antibody. Counter stained with hematoxylin.
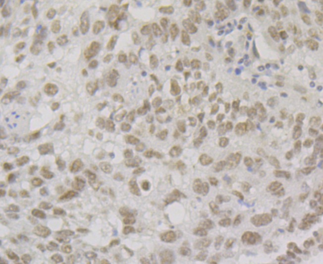
4. Immunohistochemical analysis of paraffin-embedded human lung cancer tissue using anti-BAF57/SMARCE1 antibody. Counter stained with hematoxylin.
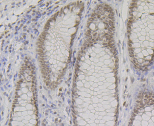
5. Immunohistochemical analysis of paraffin-embedded human colon tissue using anti-BAF57 antibody. Counter stained with hematoxylin.
6. ICC staining BAF57 in HepG2 cells (green). The nuclear counter stain is DAPI (blue). Cells were fixed in paraformaldehyde, permeabilised with 0.25% Triton X100/PBS.
7. ICC staining BAF57 in SH-SY-5Y cells (green). The nuclear counter stain is DAPI (blue). Cells were fixed in paraformaldehyde, permeabilised with 0.25% Triton X100/PBS.
8. ICC staining BAF57 in SK-Br-3 cells (green). The nuclear counter stain is DAPI (blue). Cells were fixed in paraformaldehyde, permeabilised with 0.25% Triton X100/PBS.
verifiedActivityverifiedActivityverifiedActivityverifiedActivityverifiedActivityverifiedActivityverifiedActivityverifiedActivity
应用ICCIFIHCIPWB
推荐剂量
WB: 1:500-2000; IHC: 1:50-200; ICC:IF: 1:50-200; IP: 1:50-200
抗体种类
Monoclonal
宿主来源Rabbit
构建方式Recombinant Antibody
纯化方式ProA affinity purified
性状Liquid
缓冲液1*TBS (pH7.4), 1%BSA, 40%Glycerol. Preservative: 0.05% Sodium Azide.
研究背景The SWI/SNF complex is involved in the activation of transcription via the remodeling of nucleosome structure in an ATP-dependent manner. Brm (also designated SNF1 or SNF2α) and Brg-1 (also designated SNF2 or SNF2β) are the ATPase subunits of the mammalian SWI/SNF complex. Brm, Brg-1, Ini1 (integrase interactor 1, also designated SNF5), BAF155 (also designated SRG3) and BAF170 are thought to comprise the functional core of the SWI/SNF complex. In higher eukaryotes, BAF57 is also a critical component of the SWI/ SNF complex. BAF57 contains a high-mobility-group (HMG) domain adjacent to a kinesin-like region and is a DNA-binding subunit of the SWI/SNF complex. The human BAF57 gene maps within the q12-25 region of chromosome 17, a gene-rich area implicated in breast and ovarian cancers.
偶联与修饰
偶联
Unconjugated
抗原信息
免疫原
Recombinant Protein: human BAF57 aa 1-200
抗原种属
human
Uniprot ID
化学信息
分子量Theoretical: 47 kDa.
储存&溶解度
储存方式Store at -20°C or -80°C for 12 months. Avoid repeated freeze-thaw cycles.
运输方式Shipping with blue ice.

计算器

  • 稀释 计算器
  • 配液 计算器
Related Tags: buy Anti-BAF57 Antibody (2O20) | purchase Anti-BAF57 Antibody (2O20) | Anti-BAF57 Antibody (2O20) cost | order Anti-BAF57 Antibody (2O20) | Anti-BAF57 Antibody (2O20) molecular weight