购物车
  • TargetMol
    您的购物车当前为空

Anti-ATM Antibody (1W166)

Synonyms: telomere maintenance 1, Telomere fusion protein, TELO1, TEL1, Tefu, Serine/threonine-protein kinase ATM, Serine protein kinase ATM, OTTHUMP00000232981, MGC74674, homolog, DKFZp781A0353, ATM serine/threonine kinase, ATE, ATDC, ATD, ATC, Ataxia telangiectasia mutated homolog, Ataxia telangiectasia mutated, ATA, AT1, A-T mutated homolog, A-T mutated, AT mutated
货号 TMAC-00334 一键复制产品信息
Rating icon 还可以

Anti-ATM Antibody (1W166) 是一种 Mouse 抗体,靶向 ATM。Anti-ATM Antibody (1W166) 可用于 IHC。

Anti-ATM Antibody (1W166)

一键复制产品信息
Rating icon 还可以
货号 TMAC-00334

别名 telomere maintenance 1, Telomere fusion protein, TELO1, TEL1, Tefu, Serine/threonine-protein kinase ATM, Serine protein kinase ATM, OTTHUMP00000232981, MGC74674, homolog, DKFZp781A0353, ATM serine/threonine kinase, ATE, ATDC, ATD, ATC, Ataxia telangiectasia mutated homolog, Ataxia telangiectasia mutated, ATA, AT1, A-T mutated homolog, A-T mutated, AT mutated

Anti-ATM Antibody (1W166) 是一种 Mouse 抗体,靶向 ATM。Anti-ATM Antibody (1W166) 可用于 IHC。

Anti-ATM Antibody (1W166)
规格价格库存数量
50 μL
¥ 1,340
5日内发货
100 μL
¥ 2,180
5日内发货
库存状态实时更新,以官网显示为准,现货产品可直接加购物车下单
大包装 & 定制
加入购物车

TargetMol的所有产品仅用作科学研究或药证申报,不能被用于人体,我们不向个人提供产品和服务。请您遵守承诺用途,不得违反法律法规规定用于任何其他用途。

实验操作小课堂
常见问题解答
查看更多

资源下载:产品操作手册

产品介绍


生物活性
产品描述
Anti-ATM Antibody (1W166) is a Mouse antibody targeting ATM. Anti-ATM Antibody (1W166) can be used in IHC.
别名
telomere maintenance 1, Telomere fusion protein, TELO1, TEL1, Tefu, Serine/threonine-protein kinase ATM, Serine protein kinase ATM, OTTHUMP00000232981, MGC74674, homolog, DKFZp781A0353, ATM serine/threonine kinase, ATE, ATDC, ATD, ATC, Ataxia telangiectasia mutated homolog, Ataxia telangiectasia mutated, ATA, AT1, A-T mutated homolog, A-T mutated, AT mutated
Ig Type
IgG1
克隆号
1W166
反应种属
Human,Rat,Mouse
验证活性
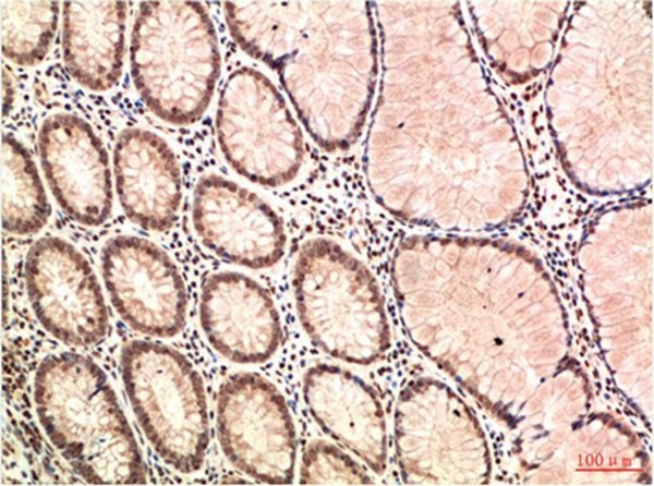
1. Immunohistochemical analysis of paraffin-embedded Human Colon Carcinoma Tissue using ATM Mouse mAb diluted at 1:200.
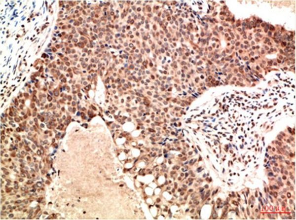
2. Immunohistochemical analysis of paraffin-embedded Human Breast Carcinoma Tissue using ATM Mouse mAb diluted at 1:200.
verifiedActivityverifiedActivity
应用IHC
推荐剂量
IHC: 1:100-200
抗体种类
Monoclonal
宿主来源Mouse
构建方式Hybridoma Monoclonal Antibody
性状Liquid
缓冲液Liquid in PBS containing 50% glycerol, 0.5% BSA and 0.02% sodium azide.
偶联与修饰
偶联
Unconjugated
抗原信息
免疫原
Recombinant Protein
Uniprot ID
化学信息
分子量Theoretical: 350 kDa.
储存&溶解度
储存方式Store at -20°C or -80°C for 12 months. Avoid repeated freeze-thaw cycles.
运输方式Shipping with blue ice.

计算器

  • 稀释 计算器
  • 配液 计算器
Related Tags: buy Anti-ATM Antibody (1W166) | purchase Anti-ATM Antibody (1W166) | Anti-ATM Antibody (1W166) cost | order Anti-ATM Antibody (1W166) | Anti-ATM Antibody (1W166) molecular weight