购物车
  • TargetMol
    您的购物车当前为空

Anti-ATG9A Antibody (7P88)

Synonyms: OTTHUMP00000206062, OTTHUMP00000206049, OTTHUMP00000206048, OTTHUMP00000206046, MGD3208, mATG9, Autophagy-related protein 9A, Autophagy related protein 9A, Autophagy 9-like 1 protein, ATG9A_HUMAN, ATG9A, ATG9 autophagy related 9 homolog A (S. cerevisiae), ATG9 autophagy related 9 homolog A, ATG9, APG9-like 1, APG9L1, APG9 like 1, APG9 autophagy 9-like 1
货号 TMAC-00327 一键复制产品信息
Rating icon 还可以

Anti-ATG9A Antibody (7P88) 是一种 Rabbit 抗体,靶向 ATG9A。Anti-ATG9A Antibody (7P88) 可用于 ICC,IHC,IP,WB。

Anti-ATG9A Antibody (7P88)

一键复制产品信息
Rating icon 还可以
货号 TMAC-00327

别名 OTTHUMP00000206062, OTTHUMP00000206049, OTTHUMP00000206048, OTTHUMP00000206046, MGD3208, mATG9, Autophagy-related protein 9A, Autophagy related protein 9A, Autophagy 9-like 1 protein, ATG9A_HUMAN, ATG9A, ATG9 autophagy related 9 homolog A (S. cerevisiae), ATG9 autophagy related 9 homolog A, ATG9, APG9-like 1, APG9L1, APG9 like 1, APG9 autophagy 9-like 1

Anti-ATG9A Antibody (7P88) 是一种 Rabbit 抗体,靶向 ATG9A。Anti-ATG9A Antibody (7P88) 可用于 ICC,IHC,IP,WB。

Anti-ATG9A Antibody (7P88)
规格价格库存数量
50 μL
¥ 1,495
5日内发货
100 μL
¥ 2,495
5日内发货
库存状态实时更新,以官网显示为准,现货产品可直接加购物车下单
大包装 & 定制
加入购物车

TargetMol的所有产品仅用作科学研究或药证申报,不能被用于人体,我们不向个人提供产品和服务。请您遵守承诺用途,不得违反法律法规规定用于任何其他用途。

实验操作小课堂
常见问题解答
查看更多

资源下载:产品操作手册

产品介绍


生物活性
产品描述
Anti-ATG9A Antibody (7P88) is a Rabbit antibody targeting ATG9A. Anti-ATG9A Antibody (7P88) can be used in ICC,IHC,IP,WB.
别名
OTTHUMP00000206062, OTTHUMP00000206049, OTTHUMP00000206048, OTTHUMP00000206046, MGD3208, mATG9, Autophagy-related protein 9A, Autophagy related protein 9A, Autophagy 9-like 1 protein, ATG9A_HUMAN, ATG9A, ATG9 autophagy related 9 homolog A (S. cerevisiae), ATG9 autophagy related 9 homolog A, ATG9, APG9-like 1, APG9L1, APG9 like 1, APG9 autophagy 9-like 1
Ig Type
IgG
克隆号
7P88
反应种属
Human,Mouse,Rat
验证活性
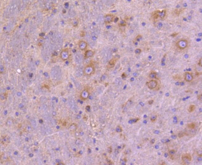
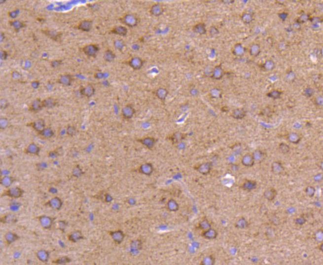
1. Immunohistochemical analysis of paraffin-embedded rat brain tissue using anti-ATG9A antibody. Counter stained with hematoxylin.
2. Immunohistochemical analysis of paraffin-embedded mouse brain tissue using anti-ATG9A antibody. Counter stained with hematoxylin.
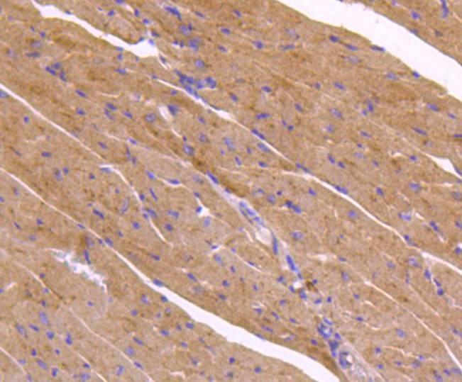
3. Immunohistochemical analysis of paraffin-embedded mouse heart tissue using anti-ATG9A antibody. Counter stained with hematoxylin.
4. ICC staining ATG9A in Hela cells (green). The nuclear counter stain is DAPI (blue). Cells were fixed in paraformaldehyde, permeabilised with 0.25% Triton X100/PBS.
5. ICC staining ATG9A in 293 cells (green). The nuclear counter stain is DAPI (blue). Cells were fixed in paraformaldehyde, permeabilised with 0.25% Triton X100/PBS.
verifiedActivityverifiedActivityverifiedActivityverifiedActivityverifiedActivity
应用ICCIHCIPWB
推荐剂量
WB: 1:1000; IHC: 1:50-200; ICC: 1:50-200
抗体种类
Monoclonal
宿主来源Rabbit
构建方式Recombinant Antibody
纯化方式ProA affinity purified
性状Liquid
缓冲液1*TBS (pH7.4), 1%BSA, 40%Glycerol. Preservative: 0.05% Sodium Azide.
研究背景Autophagy, a process that results in the lysosomal-dependent degradation of cytosolic compartments, is carried out by the autophagosome, which is a double-membrane vesicle whose formation is catalyzed by several autophagy-related gene (Atg) proteins. Atg9a (autophagy-related protein 9A), also known as APG9-like 1, is a 839 amino acid, multi-pass membrane protein that localizes to the pre-autophagosomal structure (PAS). Isolation membranes are suggested to originate from the PAS, enwrapping cytoplasmic components to form a double membrane autophagosome, which then fuses with the vacuole. Ubiquitously expressed in human adult tissues, Atg9a cycles between the Golgi and endosomes and, with the autophagosome-specific marker LC3, plays a critical role in starvation-induced autophagosome formation. Three isoforms of Atg9a exist as a result of alternative splicing events.
偶联与修饰
偶联
Unconjugated
抗原信息
免疫原
Recombinant Protein
Uniprot ID
化学信息
分子量Theoretical: 94 kDa.
储存&溶解度
储存方式Store at -20°C or -80°C for 12 months. Avoid repeated freeze-thaw cycles.
运输方式Shipping with blue ice.

计算器

  • 稀释 计算器
  • 配液 计算器
Related Tags: buy Anti-ATG9A Antibody (7P88) | purchase Anti-ATG9A Antibody (7P88) | Anti-ATG9A Antibody (7P88) cost | order Anti-ATG9A Antibody (7P88) | Anti-ATG9A Antibody (7P88) molecular weight