购物车
  • 全部删除
  • TargetMol
    您的购物车当前为空

Anti-Apolipo A-I/APOA1 Antibody (2Q549)

一键复制产品信息
Rating icon 还可以
产品编号 TMAC-00247
别名 Apolipoprotein A-I, Apolipoprotein A1

Anti-Apolipo A-I/APOA1 Antibody (2Q549) 是一种 Rabbit 抗体,靶向 Apolipo A-I/APOA1。Anti-Apolipo A-I/APOA1 Antibody (2Q549) 可用于 ICC/IF,IHC,IP,WB。

Anti-Apolipo A-I/APOA1 Antibody (2Q549)

Anti-Apolipo A-I/APOA1 Antibody (2Q549)

一键复制产品信息
Rating icon 还可以
产品编号 TMAC-00247 别名 Apolipoprotein A-I, Apolipoprotein A1

Anti-Apolipo A-I/APOA1 Antibody (2Q549) 是一种 Rabbit 抗体,靶向 Apolipo A-I/APOA1。Anti-Apolipo A-I/APOA1 Antibody (2Q549) 可用于 ICC/IF,IHC,IP,WB。

规格价格库存数量
50 μL
¥ 1,495
5日内发货
100 μL
¥ 2,490
5日内发货
大包装 & 定制
加入购物车
TargetMol 的所有产品仅用作科学研究或药证申报,不能被用于人体,我们不向个人提供产品和服务。请您遵守承诺用途,不得违反法律法规规定用于任何其他用途。
实验操作小课堂
常见问题解答
查看更多
联系我们获取更多批次信息
资源下载

产品介绍

生物活性
产品描述
Anti-Apolipo A-I/APOA1 Antibody (2Q549) is a Rabbit antibody targeting Apolipo A-I/APOA1. Anti-Apolipo A-I/APOA1 Antibody (2Q549) can be used in ICC/IF,IHC,IP,WB.
别名Apolipoprotein A-I, Apolipoprotein A1
Ig Type
IgG
克隆号
2Q549
交叉反应
Human,Mouse
验证活性
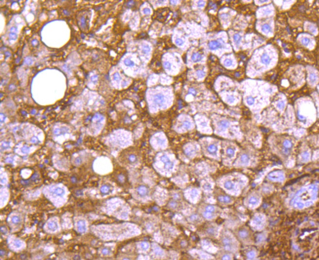
1. Immunohistochemical analysis of paraffin-embedded human liver tissue using anti-Apolipoprotein A1 antibody. Counter stained with hematoxylin.
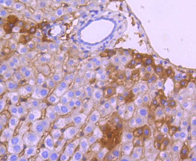
2. Immunohistochemical analysis of paraffin-embedded mouse liver tissue using anti-Apolipoprotein A1 antibody. Counter stained with hematoxylin.
3. ICC staining Apolipoprotein A1 in HepG2 cells (green). The nuclear counter stain is DAPI (blue). Cells were fixed in paraformaldehyde, permeabilised with 0.25% Triton X100/PBS.
4. ICC staining Apolipoprotein A1 in Hela cells (green). The nuclear counter stain is DAPI (blue). Cells were fixed in paraformaldehyde, permeabilised with 0.25% Triton X100/PBS.
5. ICC staining Apolipoprotein A1 in N2A cells (green). The nuclear counter stain is DAPI (blue). Cells were fixed in paraformaldehyde, permeabilised with 0.25% Triton X100/PBS.
verifiedActivityverifiedActivityverifiedActivityverifiedActivityverifiedActivity
应用ICC/IFIHCIPWB
推荐剂量
WB: 1:1000; IHC: 1:50-200; ICC/IF: 1:50-200
抗体种类
Monoclonal
宿主来源Rabbit
构建方式Recombinant Antibody
纯化方式ProA affinity purified
性状Liquid
缓冲液1*TBS (pH7.4), 1%BSA, 40%Glycerol. Preservative: 0.05% Sodium Azide.
研究背景Apolipoproteins are protein components of plasma lipoproteins. The human apoA-I gene encodes a single chain, 243 amino acid protein which promotes cholesterol efflux from tissues to the liver for excretion. Apolipoprotein A-I is the major protein component of high density lipoprotein (HDL) in the plasma. It can function as a cofactor for lecithin cholesterolacyltransferase (LCAT), which is responsible for the formation of most plasma cholesteryl esters. The human apoA-II gene encodes the second most abundant protein of HDL particles, where it influences plasma levels of free fatty acids (FFA). The human apoA-IV gene encodes a 396 amino acid preprotein, which after proteolytic processing is secreted from the intestine in association with chylomicron particles. ApoA-IV is a potent activator of LCAT in vitro. The human apoA-V gene encodes a 366 amino acid protein that is believed to be an important determinant of plasma triglyceride levels.
偶联与修饰
偶联
Unconjugated
抗原信息
免疫原
Recombinant Protein
Uniprot ID
化学信息
分子量Theoretical: 31 kDa.
存储&运输
储存方式Store at -20°C or -80°C for 12 months. Avoid repeated freeze-thaw cycles.
运输方式Shipping with blue ice.

计算器

  • 稀释 计算器

评论列表

4个月前
5.0
Rating icon 很棒

评论内容

Related Tags: buy Anti-Apolipo A-I/APOA1 Antibody (2Q549) | purchase Anti-Apolipo A-I/APOA1 Antibody (2Q549) | Anti-Apolipo A-I/APOA1 Antibody (2Q549) cost | order Anti-Apolipo A-I/APOA1 Antibody (2Q549) | Anti-Apolipo A-I/APOA1 Antibody (2Q549) molecular weight