购物车
  • 全部删除
  • TargetMol
    您的购物车当前为空

Anti-ALDH1A1 Antibody (5U452)

一键复制产品信息
Rating icon 还可以
产品编号 TMAC-00135
别名 RALDH1, PUMB1, HEL-S-53e, HEL-9, HEL12, ALDH-E1, ALDH11, ALDH1, aldehyde dehydrogenase 1 family, member A1, ALDC

Anti-ALDH1A1 Antibody (5U452) 是一种 Rabbit 抗体,靶向 ALDH1A1。Anti-ALDH1A1 Antibody (5U452) 可用于 IHC,IP,WB。

Anti-ALDH1A1 Antibody (5U452)

Anti-ALDH1A1 Antibody (5U452)

一键复制产品信息
Rating icon 还可以
产品编号 TMAC-00135 别名 RALDH1, PUMB1, HEL-S-53e, HEL-9, HEL12, ALDH-E1, ALDH11, ALDH1, aldehyde dehydrogenase 1 family, member A1, ALDC

Anti-ALDH1A1 Antibody (5U452) 是一种 Rabbit 抗体,靶向 ALDH1A1。Anti-ALDH1A1 Antibody (5U452) 可用于 IHC,IP,WB。

规格价格库存数量
50 μL
¥ 1,480
5日内发货
100 μL
¥ 2,485
5日内发货
大包装 & 定制
加入购物车
TargetMol 的所有产品仅用作科学研究或药证申报,不能被用于人体,我们不向个人提供产品和服务。请您遵守承诺用途,不得违反法律法规规定用于任何其他用途。
实验操作小课堂
常见问题解答
查看更多
联系我们获取更多批次信息
资源下载

产品介绍

生物活性
产品描述
Anti-ALDH1A1 Antibody (5U452) is a Rabbit antibody targeting ALDH1A1. Anti-ALDH1A1 Antibody (5U452) can be used in IHC,IP,WB.
别名RALDH1, PUMB1, HEL-S-53e, HEL-9, HEL12, ALDH-E1, ALDH11, ALDH1, aldehyde dehydrogenase 1 family, member A1, ALDC
Ig Type
IgG
克隆号
5U452
交叉反应
Human,Mouse,Rat
验证活性
1. Western blot analysis of ALDH1A1 on mouse lung lysates using anti-ALDH1A1 antibody at 1/1,000 dilution.
2. Immunohistochemical analysis of paraffin-embedded human liver tissue using anti-ALDH1A1 antibody. Counter stained with hematoxylin.
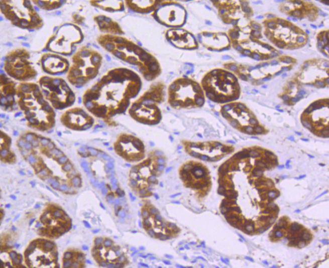
3. Immunohistochemical analysis of paraffin-embedded human kidney tissue using anti-ALDH1A1 antibody. Counter stained with hematoxylin.
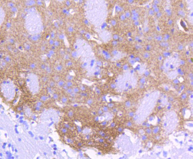
4. Immunohistochemical analysis of paraffin-embedded mouse brain tissue using anti-ALDH1A1 antibody. Counter stained with hematoxylin.
verifiedActivityverifiedActivityverifiedActivityverifiedActivity
应用IHCIPWB
推荐剂量
WB: 1:1000-2000; IHC: 1:50-200
抗体种类
Monoclonal
宿主来源Rabbit
构建方式Recombinant Antibody
纯化方式ProA affinity purified
性状Liquid
缓冲液1*TBS (pH7.4), 1%BSA, 40%Glycerol. Preservative: 0.05% Sodium Azide.
研究背景Aldehyde dehydrogenases (ALDHs) mediate NADP+-dependent oxidation of aldehydes into acids during the detoxification of alcohol-derived acetaldehyde; metabolism of corticosteroids, biogenic amines and neurotransmitters; and lipid peroxidation. ALDH1A1, also designated retinal dehydrogenase 1 (RalDH1 or RALDH1), aldehyde dehydrogenase family 1 member A1, aldehyde dehydrogenase cytosolic, ALDHII, ALDH-E1 or ALDH E1, is a retinal dehydrogenase that participates in the biosynthesis of retinoic acid (RA). There are two major liver isoforms of ALDH1 that can localize to cytosolic or mitochondrial space. The ALDH1A2 (RALDH2, RALDH2-T) gene produces three different transcripts and also catalyzes the synthesis of RA from retinaldehyde. ALDH1A3 (ALDH6, RALDH3, ALDH1A6) is a 37 kb gene that consists of 13 exons and produces a major transcript of approximately 3.5 kb most abundant in salivary gland, stomach and kidney. ALDH3A1 (stomach type, ALDH3, ALDHIII) forms a cytoplasmic homodimer that preferentially oxidizes aromatic aldehyde substrates. ALDH genes upregulate as a part of the oxidative stress response, and appear to be abundant in certain tumors that have an accelerated metabolism toward chemotherapy agents.
偶联与修饰
偶联
Unconjugated
抗原信息
免疫原
Recombinant Protein
Uniprot ID
化学信息
分子量Theoretical: 55 kDa.
存储&运输
储存方式Store at -20°C or -80°C for 12 months. Avoid repeated freeze-thaw cycles.
运输方式Shipping with blue ice.

计算器

  • 稀释 计算器

关键词

评论列表

4个月前
5.0
Rating icon 很棒

评论内容

Related Tags: buy Anti-ALDH1A1 Antibody (5U452) | purchase Anti-ALDH1A1 Antibody (5U452) | Anti-ALDH1A1 Antibody (5U452) cost | order Anti-ALDH1A1 Antibody (5U452) | Anti-ALDH1A1 Antibody (5U452) molecular weight