购物车
  • 全部删除
  • TargetMol
    您的购物车当前为空

Anti-Acetyl-HIST1H3A (Lys56) Antibody (4S839)

一键复制产品信息
Rating icon 还可以
产品编号 TMAC-01923
别名 Histone H3K56-acetylated, H3K56ac, Ac-HIST1H3A (Lys56), Ac-HIST1H3A (K56), Ac-H3K56, Acetyl-HIST1H3A (K56)

Anti-Acetyl-HIST1H3A (Lys56) Antibody (4S839) 是一种 Rabbit 抗体,靶向 Acetyl-HIST1H3A (Lys56)。Anti-Acetyl-HIST1H3A (Lys56) Antibody (4S839) 可用于 WB,ICC/IF,IHC。

Anti-Acetyl-HIST1H3A (Lys56) Antibody (4S839)

Anti-Acetyl-HIST1H3A (Lys56) Antibody (4S839)

一键复制产品信息
Rating icon 还可以
产品编号 TMAC-01923 别名 Histone H3K56-acetylated, H3K56ac, Ac-HIST1H3A (Lys56), Ac-HIST1H3A (K56), Ac-H3K56, Acetyl-HIST1H3A (K56)

Anti-Acetyl-HIST1H3A (Lys56) Antibody (4S839) 是一种 Rabbit 抗体,靶向 Acetyl-HIST1H3A (Lys56)。Anti-Acetyl-HIST1H3A (Lys56) Antibody (4S839) 可用于 WB,ICC/IF,IHC。

规格价格库存数量
50 μL
¥ 1,480
5日内发货
100 μL
¥ 2,485
5日内发货
大包装 & 定制
加入购物车
TargetMol 的所有产品仅用作科学研究或药证申报,不能被用于人体,我们不向个人提供产品和服务。请您遵守承诺用途,不得违反法律法规规定用于任何其他用途。
实验操作小课堂
常见问题解答
查看更多
联系我们获取更多批次信息
资源下载

产品介绍

生物活性
产品描述
Anti-Acetyl-HIST1H3A (Lys56) Antibody (4S839) is a Rabbit antibody targeting Acetyl-HIST1H3A (Lys56). Anti-Acetyl-HIST1H3A (Lys56) Antibody (4S839) can be used in ICC/IF,IHC,WB.
别名Histone H3K56-acetylated, H3K56ac, Ac-HIST1H3A (Lys56), Ac-HIST1H3A (K56), Ac-H3K56, Acetyl-HIST1H3A (K56)
Ig Type
IgG
克隆号
4S839
交叉反应
Human,Mouse,Rat
验证活性
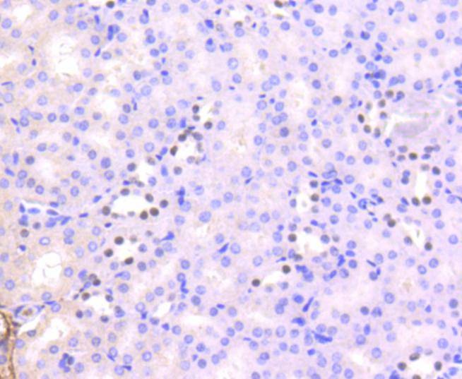
1. Immunohistochemical analysis of paraffin-embedded human kidney tissue using anti-Histone H3 (acetyl K56) antibody. Counter stained with hematoxylin.
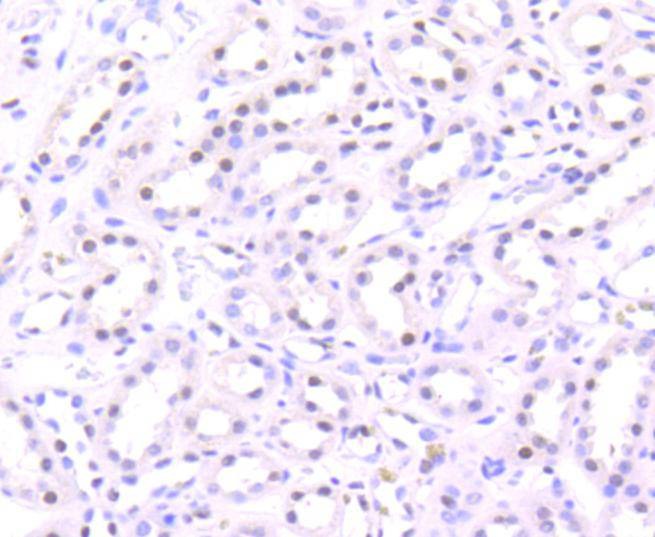
2. Immunohistochemical analysis of paraffin-embedded mouse kidney tissue using anti-Histone H3 (acetyl K56) antibody. Counter stained with hematoxylin.
3. ICC staining Histone H3 (acetyl K56) in Hela cells (green). The nuclear counter stain is DAPI (blue). Cells were fixed in paraformaldehyde, permeabilised with 0.25% Triton X100/PBS.
4. ICC staining Histone H3 (acetyl K56) in HepG2 cells (green). The nuclear counter stain is DAPI (blue). Cells were fixed in paraformaldehyde, permeabilised with 0.25% Triton X100/PBS.
5. ICC staining Histone H3 (acetyl K56) in A549 cells (green). The nuclear counter stain is DAPI (blue). Cells were fixed in paraformaldehyde, permeabilised with 0.25% Triton X100/PBS.
verifiedActivityverifiedActivityverifiedActivityverifiedActivityverifiedActivity
应用ICC/IFIHCWB
推荐剂量
WB: 1:1000; IHC: 1:50-200; ICC/IF: 1:50-200
抗体种类
Monoclonal
宿主来源Rabbit
构建方式Recombinant Antibody
纯化方式ProA affinity purified
性状Liquid
缓冲液1*TBS (pH7.4), 1%BSA, 40%Glycerol. Preservative: 0.05% Sodium Azide.
研究背景Eukaryotic histones are basic and water soluble nuclear proteins that form hetero-octameric nucleosome particles by wrapping 146 base pairs of DNA in a left-handed super-helical turn sequentially to form chromosomal fiber. Two molecules of each of the four core histones (H2A, H2B, H3, and H4) form the octamer; formed of two H2A-H2B dimers and two H3-H4 dimers, forming two nearly symmetrical halves by tertiary structure. Over 80% of nucleosomes contain the linker Histone H1, derived from an intronless gene, that interacts with linker DNA between nucleosomes and mediates compaction into higher order chromatin. Histones are subject to posttranslational modification by enzymes primarily on their N-terminal tails, but also in their globular domains. Such modifications include methylation, citrullination, acetylation, phosphorylation, sumoylation, ubiquitination and ADP-ribosylation.
偶联与修饰
偶联
Unconjugated
其他可选修饰符
Methylated/Acetylated
抗原信息
免疫原
Recombinant Protein
Uniprot ID
化学信息
分子量Theoretical: 15 kDa.
存储&运输
储存方式Store at -20°C or -80°C for 12 months. Avoid repeated freeze-thaw cycles.
运输方式Shipping with blue ice.

计算器

  • 稀释 计算器

关键词

评论列表

4个月前
5.0
Rating icon 很棒

评论内容

Related Tags: buy Anti-Acetyl-HIST1H3A (Lys56) Antibody (4S839) | purchase Anti-Acetyl-HIST1H3A (Lys56) Antibody (4S839) | Anti-Acetyl-HIST1H3A (Lys56) Antibody (4S839) cost | order Anti-Acetyl-HIST1H3A (Lys56) Antibody (4S839) | Anti-Acetyl-HIST1H3A (Lys56) Antibody (4S839) molecular weight