• TargetMol
    您的购物车当前为空

Anti-Haptoglobin Antibody (8N175)

一键复制产品信息
Rating icon 还可以
货号 TMAC-01755

别名 Zonulin, HP, Haptoglobin

Anti-Haptoglobin Antibody (8N175) 是一种 Rabbit 抗体,靶向 Haptoglobin。Anti-Haptoglobin Antibody (8N175) 可用于 ICC/IF,IHC,WB。

Anti-Haptoglobin Antibody (8N175)

Anti-Haptoglobin Antibody (8N175)

一键复制产品信息
Rating icon 还可以
货号 TMAC-01755 别名 Zonulin, HP, Haptoglobin

Anti-Haptoglobin Antibody (8N175) 是一种 Rabbit 抗体,靶向 Haptoglobin。Anti-Haptoglobin Antibody (8N175) 可用于 ICC/IF,IHC,WB。

规格价格库存数量
50 μL
¥ 1,485
5日内发货
100 μL
¥ 2,480
5日内发货
库存状态实时更新,以官网显示为准,现货产品可直接加购物车下单
大包装 & 定制
加入购物车
TargetMol的所有产品仅用作科学研究或药证申报,不能被用于人体,我们不向个人提供产品和服务。请您遵守承诺用途,不得违反法律法规规定用于任何其他用途。
实验操作小课堂
常见问题解答
查看更多
资源下载:

产品介绍


生物活性
产品描述
Anti-Haptoglobin Antibody (8N175) is a Rabbit antibody targeting Haptoglobin. Anti-Haptoglobin Antibody (8N175) can be used in ICC/IF,IHC,WB.
别名Zonulin, HP, Haptoglobin
Ig Type
IgG
克隆号
8N175
反应种属
Human,Mouse,Rat
验证活性
1. Western blot analysis of Haptoglobin on different cells lysates using anti-Haptoglobin antibody at 1/500 dilution. Positive control: Lane 1: Hela, Lane 2: HepG2.
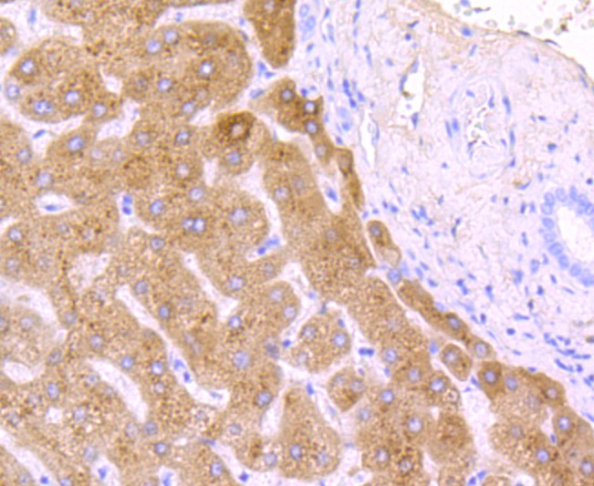
2. Immunohistochemical analysis of paraffin-embedded human liver tissue using anti-Haptoglobin antibody. Counter stained with hematoxylin.
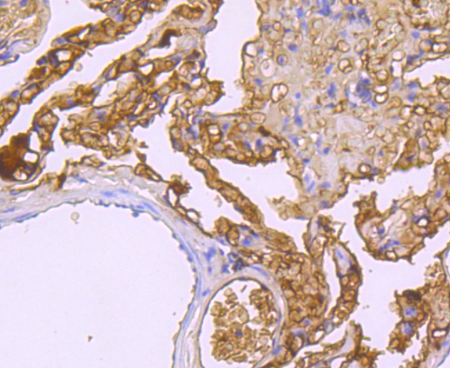
3. Immunohistochemical analysis of paraffin-embedded human lung tissue using anti-Haptoglobin antibody. Counter stained with hematoxylin.
4. Immunohistochemical analysis of paraffin-embedded mouse liver tissue using anti-Haptoglobin antibody. Counter stained with hematoxylin.
5. Immunohistochemical analysis of paraffin-embedded mouse lung tissue using anti-Haptoglobin antibody. Counter stained with hematoxylin.
6. ICC staining Haptoglobin in A549 cells (red). The nuclear counter stain is DAPI (blue). Cells were fixed in paraformaldehyde, permeabilised with 0.25% Triton X100/PBS.
7. ICC staining Haptoglobin in Hela cells (red). The nuclear counter stain is DAPI (blue). Cells were fixed in paraformaldehyde, permeabilised with 0.25% Triton X100/PBS.
8. ICC staining Haptoglobin in HepG2 cells (red). The nuclear counter stain is DAPI (blue). Cells were fixed in paraformaldehyde, permeabilised with 0.25% Triton X100/PBS.
verifiedActivityverifiedActivityverifiedActivityverifiedActivityverifiedActivityverifiedActivityverifiedActivityverifiedActivity
应用ICC/IFIHCWB
推荐剂量
WB: 1:500-2000; IHC: 1:50-200
抗体种类
Monoclonal
宿主来源Rabbit
构建方式Recombinant Antibody
纯化方式ProA affinity purified
性状Liquid
缓冲液1*TBS (pH7.4), 1%BSA, 40%Glycerol. Preservative: 0.05% Sodium Azide.
研究背景Haptoglobin (Hp) is a blood plasma protein that functions to bind free Hemoglobin that has been released from erythrocytes, thereby inhibiting its oxidative activity. During this process, Haptoglobin sequesters the iron within Hemoglobin, preventing iron-utilizing bacteria from benefitting from hemolysis. This function suggests that Haptoglobin concentrations may increase in response to inflammation. The resulting Haptoglobin-Hemoglobin complex is then removed by the reticulo-endothelial system. Due to cleavage of a common precursor protein during protein synthesis, Haptoglobin consists of two α and two β chains, connected by disulfide bridges. In human, Haptoglobin exists in two allelic forms designated Haptoglogin 1 (Hp1) and Haptoglobin 2 (Hp2), where Hp2 is the result of a partial Hp1 gene duplication. There are three known phenotypes of human Haptoglobin: Hp1-1, Hp2-1 and Hp2-2, which may be associated with diabetes and cardiovascular disease pathology and a susceptibility to Parkinson's and Crohn's disease. Haptoglobin levels are useful in diagnosing hemolytic anemia, the abnormal breakdown of red blood cells. Haptoglobin is expressed in mammalian hepatocytes as well as other tissues such as skin, lung and kidney.
偶联与修饰
偶联
Unconjugated
抗原信息
免疫原
Recombinant Protein
Uniprot ID
化学信息
分子量Theoretical: 45/38 kDa.
储存&溶解度
储存方式Store at -20°C or -80°C for 12 months. Avoid repeated freeze-thaw cycles.
运输方式Shipping with blue ice.
存储store at low temperature | -20°C for 1 year

计算器

  • 稀释 计算器
Related Tags: buy Anti-Haptoglobin Antibody (8N175) | purchase Anti-Haptoglobin Antibody (8N175) | Anti-Haptoglobin Antibody (8N175) cost | order Anti-Haptoglobin Antibody (8N175) | Anti-Haptoglobin Antibody (8N175) molecular weight