购物车
您的购物车当前为空
Anti-TGF beta 1 Antibody (9U614) 是一种 Mouse 抗体,靶向 TGF beta 1。Anti-TGF beta 1 Antibody (9U614) 可用于 IF,IHC-Fr,IHC-P。
别名 转化生长因子, transforming growth factor, β1, transforming growth factor, beta 1, TGF β1
Anti-TGF beta 1 Antibody (9U614) 是一种 Mouse 抗体,靶向 TGF beta 1。Anti-TGF beta 1 Antibody (9U614) 可用于 IF,IHC-Fr,IHC-P。

| 规格 | 价格 | 库存 | 数量 |
|---|---|---|---|
| 50 μL | ¥ 1,170 | 5日内发货 | |
| 100 μL | ¥ 1,960 | 5日内发货 | |
| 200 μL | ¥ 2,795 | 5日内发货 |
TargetMol的所有产品仅用作科学研究或药证申报,不能被用于人体,我们不向个人提供产品和服务。请您遵守承诺用途,不得违反法律法规规定用于任何其他用途。
| 产品描述 | Anti-TGF beta 1 Antibody (9U614) is a Mouse antibody targeting TGF beta 1. Anti-TGF beta 1 Antibody (9U614) can be used in IF,IHC-Fr,IHC-P. |
| 别名 | 转化生长因子, transforming growth factor, β1, transforming growth factor, beta 1, TGF β1 |
| Ig Type | IgG1 |
| 克隆号 | 9U614 |
| 反应种属 | Rat,Mouse (predicted:Human) |
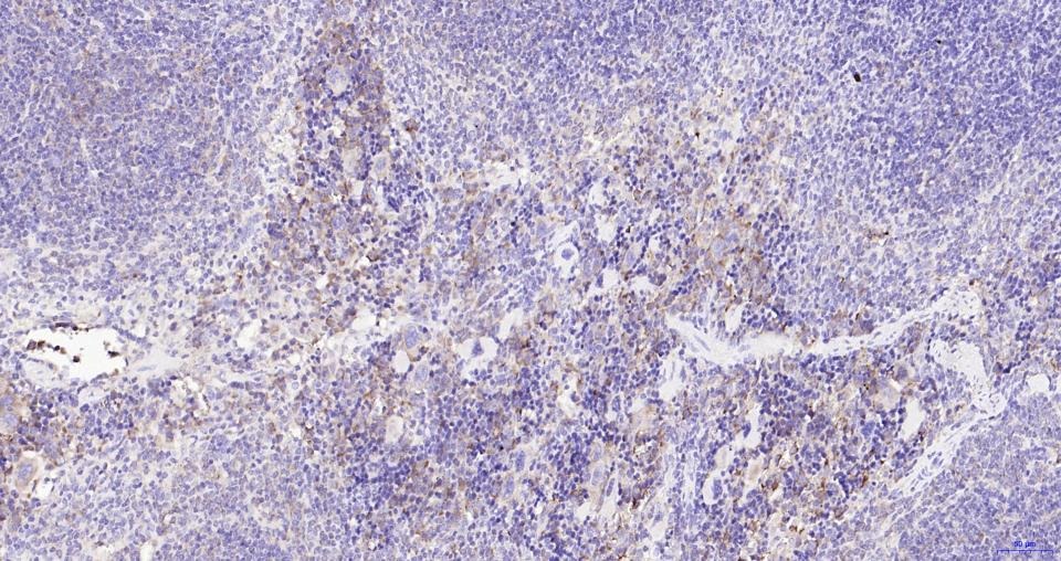
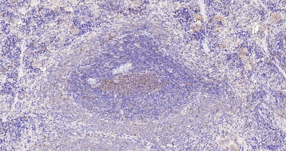
| 验证活性 | 1. Paraformaldehyde-fixed, paraffin embedded (rat spleen); Antigen retrieval by boiling in sodium citrate buffer (pH6.0) for 15 min; Block endogenous peroxidase by 3% hydrogen peroxide for 20 min; Blocking buffer (normal goat serum) at 37°C for 30 min; Antibody incubation with (TGF beta 1) Monoclonal Antibody, Unconjugated (TMAB-01826) at 1:200 overnight at 4°C, followed by operating according to SP Kit (Mouse) instructionsand DAB staining. 2. Paraformaldehyde-fixed, paraffin embedded (mouse spleen); Antigen retrieval by boiling in sodium citrate buffer (pH6.0) for 15 min; Block endogenous peroxidase by 3% hydrogen peroxide for 20 min; Blocking buffer (normal goat serum) at 37°C for 30 min; Antibody incubation with (TGF beta 1) Monoclonal Antibody, Unconjugated (TMAB-01826) at 1:200 overnight at 4°C, followed by operating according to SP Kit (Mouse) instructionsand DAB staining. ![]() ![]() |
| 应用 | IFIHC-FrIHC-P |
| 推荐剂量 | IHC-P: 1:100-500; IHC-Fr: 1:100-500; IF: 1:100-500 |
| 抗体种类 | Monoclonal |
| 宿主来源 | Mouse |
| 亚细胞定位 | Secreted, extracellular space, extracellular matrix. |
| 组织特异性 | Highly expressed in bone. Abundantly expressed in articular cartilage and chondrocytes and is increased in osteoarthritis (OA). Co-localizes with ASPN in chondrocytes within OA lesions of articular cartilage. |
| 构建方式 | Hybridoma Monoclonal Antibody |
| 纯化方式 | Protein A purified |
| 性状 | Liquid |
| 缓冲液 | 0.01M TBS (pH7.4) with 1% BSA, 0.02% Proclin300 and 50% Glycerol. |
| 浓度 | 1 mg/mL |
| 研究背景 | This gene encodes a member of the transforming growth factor beta (TGFB) family of cytokines, which are multifunctional peptides that regulate proliferation, differentiation, adhesion, migration, and other functions in many cell types. Many cells have TGFB receptors, and the protein positively and negatively regulates many other growth factors. The secreted protein is cleaved into a latency-associated peptide (LAP) and a mature TGFB1 peptide, and is found in either a latent form composed of a TGFB1 homodimer, a LAP homodimer, and a latent TGFB1-binding protein, or in an active form composed of a TGFB1 homodimer. The mature peptide may also form heterodimers with other TGFB family members. This gene is frequently upregulated in tumor cells, and mutations in this gene result in Camurati-Engelmann disease. |
| 免疫原 | KLH conjugated synthetic peptide: human TGF beta 1 |
| 抗原种属 | Human |
| 基因名称 | TGFB1 |
| 基因ID | |
| 蛋白名称 | Transforming growth factor beta-1 proprotein |
| Uniprot ID | |
| 研究领域 | Response to hypoxia,TGF,Angiogenic growth factors,TGF,Co-factors,Hypoxia,tgf beta 1,TGF,Secreted |
| 功能 | Multifunctional protein that controls proliferation, differentiation and other functions in many cell types. Many cells synthesize TGFB1 and have specific receptors for it. It positively and negatively regulates many other growth factors. It plays an important role in bone remodeling as it is a potent stimulator of osteoblastic bone formation, causing chemotaxis, proliferation and differentiation in committed osteoblasts. |
| 分子量 | Theoretical: 12.8/44 kDa. |
| 储存方式 | Store at -20°C or -80°C for 12 months. Avoid repeated freeze-thaw cycles. |
| 运输方式 | Shipping with blue ice. |