购物车
  • TargetMol
    您的购物车当前为空

Anti-PDK4 Polyclonal Antibody

Synonyms: pyruvate dehydrogenase kinase 4, AV005916
货号 TMAB-01358 一键复制产品信息
Rating icon 还可以

Anti-PDK4 Polyclonal Antibody 是一种 Rabbit 抗体,靶向 PDK4。Anti-PDK4 Polyclonal Antibody 可用于 IF,IHC-Fr,IHC-P,WB。

Anti-PDK4 Polyclonal Antibody

一键复制产品信息
Rating icon 还可以
货号 TMAB-01358

别名 pyruvate dehydrogenase kinase 4, AV005916

Anti-PDK4 Polyclonal Antibody 是一种 Rabbit 抗体,靶向 PDK4。Anti-PDK4 Polyclonal Antibody 可用于 IF,IHC-Fr,IHC-P,WB。

Anti-PDK4 Polyclonal Antibody
规格价格库存数量
50 μL
¥ 1,170
5日内发货
100 μL
¥ 1,970
5日内发货
200 μL
¥ 2,780
5日内发货
库存状态实时更新,以官网显示为准,现货产品可直接加购物车下单
大包装 & 定制
加入购物车

TargetMol的所有产品仅用作科学研究或药证申报,不能被用于人体,我们不向个人提供产品和服务。请您遵守承诺用途,不得违反法律法规规定用于任何其他用途。

实验操作小课堂
常见问题解答
查看更多

资源下载:产品操作手册

产品介绍


生物活性
产品描述
Anti-PDK4 Polyclonal Antibody is a Rabbit antibody targeting PDK4. Anti-PDK4 Polyclonal Antibody can be used in IF,IHC-Fr,IHC-P,WB.
别名
pyruvate dehydrogenase kinase 4, AV005916
Ig Type
IgG
反应种属
Human,Mouse,Rat
验证活性
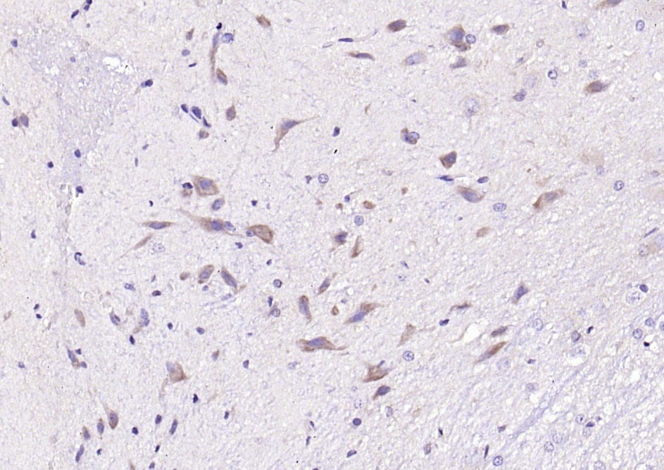
1. Paraformaldehyde-fixed, paraffin embedded (rat brain); Antigen retrieval by boiling in sodium citrate buffer (pH6.0) for 15 min; Block endogenous peroxidase by 3% hydrogen peroxide for 20 min; Blocking buffer (normal goat serum) at 37°C for 30 min; Antibody incubation with (PDK4) Polyclonal Antibody, Unconjugated (TMAB-01358) at 1:200 overnight at 4°C, followed by operating according to SP Kit (Rabbit) instructionsand DAB staining.
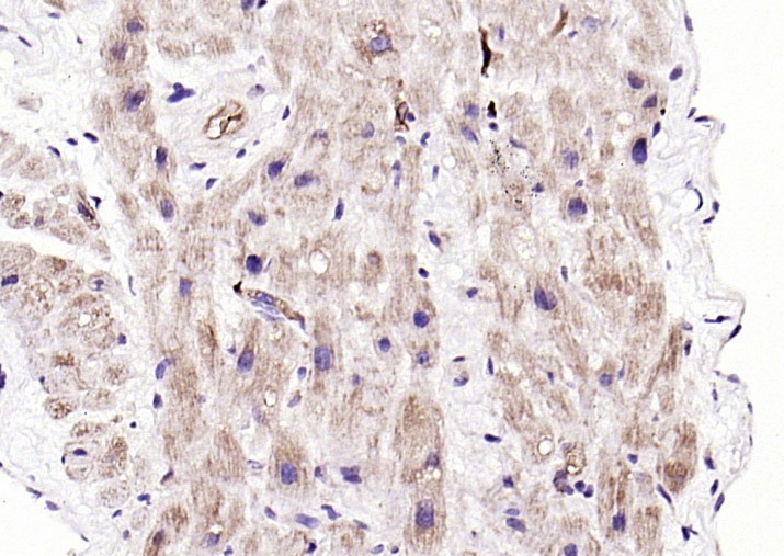
2. Paraformaldehyde-fixed, paraffin embedded (human myocardium); Antigen retrieval by boiling in sodium citrate buffer (pH6.0) for 15 min; Block endogenous peroxidase by 3% hydrogen peroxide for 20 min; Blocking buffer (normal goat serum) at 37°C for 30 min; Antibody incubation with (PDK4) Polyclonal Antibody, Unconjugated (TMAB-01358) at 1:200 overnight at 4°C, followed by operating according to SP Kit (Rabbit) instructionsand DAB staining.
3. Sample:
Lane 1: Mouse Cerebrum tissue lysates
Lane 2: Rat Cerebrum tissue lysates
Primary: Anti-PDK4 (TMAB-01358) at 1/1000 dilution
Secondary: IRDye800CW Goat Anti-Rabbit IgG at 1/20000 dilution
Predicted band size: 47 kDa
Observed band size: 45 kDa
verifiedActivityverifiedActivityverifiedActivity
应用IFIHC-FrIHC-PWB
推荐剂量
WB: 1:500-2000; IHC-P: 1:100-500; IHC-Fr: 1:100-500; IF: 1:100-500
抗体种类
Polyclonal
宿主来源Rabbit
亚细胞定位Mitochondrion matrix.
组织特异性Ubiquitous; highest levels of expression in heart and skeletal muscle.
构建方式Polyclonal Antibody
纯化方式Protein A purified
性状Liquid
缓冲液0.01M TBS (pH7.4) with 1% BSA, 0.02% Proclin300 and 50% Glycerol.
浓度1 mg/mL
研究背景This gene is a member of the PDK/BCKDK protein kinase family and encodes a mitochondrial protein with a histidine kinase domain. This protein is located in the matrix of the mitrochondria and inhibits the pyruvate dehydrogenase complex by phosphorylating one of its subunits, thereby contributing to the regulation of glucose metabolism. Expression of this gene is regulated by glucocorticoids, retinoic acid and insulin. [provided by RefSeq, Jul 2008].
抗原信息
免疫原
KLH conjugated synthetic peptide: human Pdk4
抗原种属
Human
基因名称
PDK4
基因ID
蛋白名称
[Pyruvate dehydrogenase(acetyl-transferring)] kinase isozyme 4, mitochondrial
Uniprot ID
研究领域
Energy Metabolism,Mitochondrial markers,Cancer,Energy Metabolism,Mitochondrial
功能
Serine/threonine kinase that plays a key role in regulation of glucose and fatty acid metabolism and homeostasis via phosphorylation of the pyruvate dehydrogenase subunits PDHA1 and PDHA2. This inhibits pyruvate dehydrogenase activity, and thereby regulates metabolite flux through the tricarboxylic acid cycle, down-regulates aerobic respiration and inhibits the formation of acetyl-coenzyme A from pyruvate. Inhibition of pyruvate dehydrogenase decreases glucose utilization and increases fat metabolism in response to prolonged fasting and starvation. Plays an important role in maintaining normal blood glucose levels under starvation, and is involved in the insulin signaling cascade. Via its regulation of pyruvate dehydrogenase activity, plays an important role in maintaining normal blood pH and in preventing the accumulation of ketone bodies under starvation. In the fed state, mediates cellular responses to glucose levels and to a high-fat diet. Regulates both fatty acid oxidation and de novo fatty acid biosynthesis. Plays a role in the generation of reactive oxygen species. Protects detached epithelial cells against anoikis. Plays a role in cell proliferation via its role in regulating carbohydrate and fatty acid metabolism.
化学信息
分子量Theoretical: 47 kDa. Actual: 45 kDa.
储存&溶解度
储存方式Store at -20°C or -80°C for 12 months. Avoid repeated freeze-thaw cycles.
运输方式Shipping with blue ice.

计算器

  • 稀释 计算器
  • 配液 计算器
Related Tags: buy Anti-PDK4 Polyclonal Antibody | purchase Anti-PDK4 Polyclonal Antibody | Anti-PDK4 Polyclonal Antibody cost | order Anti-PDK4 Polyclonal Antibody | Anti-PDK4 Polyclonal Antibody molecular weight