购物车
  • TargetMol
    您的购物车当前为空

Anti-HDAC9 Antibody (3X420)

Synonyms: MEF2-interacting transcription repressor MITR
货号 TMAC-01792 一键复制产品信息
Rating icon 还可以
202603开学季活动

Anti-HDAC9 Antibody (3X420) 是一种 Rabbit 抗体,靶向 HDAC9。Anti-HDAC9 Antibody (3X420) 可用于 ICC/IF,IHC,IP,WB。

Anti-HDAC9 Antibody (3X420)

一键复制产品信息
Rating icon 还可以
202603开学季活动
货号 TMAC-01792

别名 MEF2-interacting transcription repressor MITR

Anti-HDAC9 Antibody (3X420) 是一种 Rabbit 抗体,靶向 HDAC9。Anti-HDAC9 Antibody (3X420) 可用于 ICC/IF,IHC,IP,WB。

Anti-HDAC9 Antibody (3X420)
规格价格库存数量
50 μL
¥ 1,485
5日内发货
100 μL
¥ 2,490
5日内发货
库存状态实时更新,以官网显示为准,现货产品可直接加购物车下单
大包装 & 定制
加入购物车

TargetMol的所有产品仅用作科学研究或药证申报,不能被用于人体,我们不向个人提供产品和服务。请您遵守承诺用途,不得违反法律法规规定用于任何其他用途。

实验操作小课堂
常见问题解答
查看更多

资源下载:产品操作手册

产品介绍


生物活性
产品描述
Anti-HDAC9 Antibody (3X420) is a Rabbit antibody targeting HDAC9. Anti-HDAC9 Antibody (3X420) can be used in ICC/IF,IHC,IP,WB.
别名
MEF2-interacting transcription repressor MITR
Ig Type
IgG
克隆号
3X420
反应种属
Human,Rat
验证活性
1. Western blot analysis of HDAC9 on different lysates using anti-HDAC9 antibody at 1/1,000 dilution. Positive control: Lane 1: K562, Lane 2: HepG2, Lane 3: Raji.
2. Immunohistochemical analysis of paraffin-embedded human tonsil tissue using anti-HDAC9 antibody. Counter stained with hematoxylin.
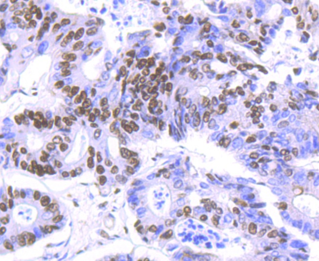
3. Immunohistochemical analysis of paraffin-embedded human colon cancer tissue using anti-HDAC9 antibody. Counter stained with hematoxylin.
4. Immunohistochemical analysis of paraffin-embedded human kidney tissue using anti-HDAC9 antibody. Counter stained with hematoxylin.
5. ICC staining HDAC9 in A431 cells (green). The nuclear counter stain is DAPI (blue). Cells were fixed in paraformaldehyde, permeabilised with 0.25% Triton X100/PBS.
6. ICC staining HDAC9 in PC-3M cells (green). The nuclear counter stain is DAPI (blue). Cells were fixed in paraformaldehyde, permeabilised with 0.25% Triton X100/PBS.
7. ICC staining HDAC9 in SH-SY5Y cells (green). The nuclear counter stain is DAPI (blue). Cells were fixed in paraformaldehyde, permeabilised with 0.25% Triton X100/PBS.
verifiedActivityverifiedActivityverifiedActivityverifiedActivityverifiedActivityverifiedActivityverifiedActivity
应用ICC/IFIHCIPWB
推荐剂量
WB: 1:500-2000; IHC: 1:50-200; ICC/IF: 1:50-200; IP: 1:10-50
抗体种类
Monoclonal
宿主来源Rabbit
构建方式Recombinant Antibody
纯化方式ProA affinity purified
性状Liquid
缓冲液1*TBS (pH7.4), 1%BSA, 40%Glycerol. Preservative: 0.05% Sodium Azide.
研究背景In the intact cell, DNA closely associates with histones and other nuclear proteins to form chromatin. The remodeling of chromatin is a critical component of transcriptional regulation and the acetylation of nucleosomal histones is a major source of this remodeling. Acetylation of lysine residues in the amino terminal tail domain of histone results in an allosteric change in the nucleosomal conformation and an increased accessibility to transcription factors by DNA. Several mammalian proteins function as nuclear histone acetylases, including GCN5, PCAF (p300/CBP-associated factor), p300/CBP, HAT1 and the TFIID subunit TAF II p250. Conversely, the deacetylation of histones is associated with transcriptional silencing. The histone deacetylases (HDAC) include HDAC1-9. HDAC9 and HDAC9a are two alternatively spliced isoforms of HDAC9. HDAC9a is 132 amino acids shorter than HDAC9, but both isoforms contain the HDAC catalytic domain, remain capable of deacetylase activity and repress myoctye enhancer-binding factor 2-mediated transcription.
偶联与修饰
偶联
Unconjugated
抗原信息
免疫原
Recombinant Protein
Uniprot ID
化学信息
分子量Theoretical: 140 kDa.
储存&溶解度
储存方式Store at -20°C or -80°C for 12 months. Avoid repeated freeze-thaw cycles.
运输方式Shipping with blue ice.

计算器

  • 稀释 计算器
  • 配液 计算器
Related Tags: buy Anti-HDAC9 Antibody (3X420) | purchase Anti-HDAC9 Antibody (3X420) | Anti-HDAC9 Antibody (3X420) cost | order Anti-HDAC9 Antibody (3X420) | Anti-HDAC9 Antibody (3X420) molecular weight