购物车
  • TargetMol
    您的购物车当前为空

Anti-GAD67 Polyclonal Antibody

Synonyms: SCP, glutamate decarboxylase 1 (brain, 67kDa), GAD, CPSQ1
货号 TMAB-00732 一键复制产品信息
Rating icon 还可以

Anti-GAD67 Polyclonal Antibody 是一种 Rabbit 抗体,靶向 GAD67。Anti-GAD67 Polyclonal Antibody 可用于 FCM,IF,IHC-Fr,IHC-P,WB。

Anti-GAD67 Polyclonal Antibody

一键复制产品信息
Rating icon 还可以
货号 TMAB-00732

别名 SCP, glutamate decarboxylase 1 (brain, 67kDa), GAD, CPSQ1

Anti-GAD67 Polyclonal Antibody 是一种 Rabbit 抗体,靶向 GAD67。Anti-GAD67 Polyclonal Antibody 可用于 FCM,IF,IHC-Fr,IHC-P,WB。

Anti-GAD67 Polyclonal Antibody
规格价格库存数量
50 μL
¥ 1,170
5日内发货
100 μL
¥ 1,975
5日内发货
200 μL
¥ 2,780
5日内发货
库存状态实时更新,以官网显示为准,现货产品可直接加购物车下单
大包装 & 定制
加入购物车

TargetMol的所有产品仅用作科学研究或药证申报,不能被用于人体,我们不向个人提供产品和服务。请您遵守承诺用途,不得违反法律法规规定用于任何其他用途。

实验操作小课堂
常见问题解答
查看更多

资源下载:产品操作手册

产品介绍


生物活性
产品描述
Anti-GAD67 Polyclonal Antibody is a Rabbit antibody targeting GAD67. Anti-GAD67 Polyclonal Antibody can be used in FCM,IF,IHC-Fr,IHC-P,WB.
别名
SCP, glutamate decarboxylase 1 (brain, 67kDa), GAD, CPSQ1
Ig Type
IgG
反应种属
Human,Mouse (predicted:Rat)
验证活性
1. Sample:
Raji (Human) Cell Lysate at 40 μg
Primary: Anti-GAD67 (TMAB-00732) at 1/300 dilution
Secondary: IRDye800CW Goat Anti-Rabbit IgG at 1/20000 dilution
Predicted band size: 67 kDa
Observed band size: 67 kDa
2. Blank control: K562. Primary Antibody (green line): Rabbit Anti-GAD67 antibody (TMAB-00732)
Dilution: 1 μg/10^6 cells;
Isotype Control Antibody (orange line): Rabbit IgG.
Secondary Antibody: Goat anti-rabbit IgG-FITC
Dilution: 0.5 μg/test.
Protocol
The cells were incubated in 5% BSA to block non-specific protein-protein interactions for 30 min at room temperature. Cells stained with Primary Antibody for 30 min at room temperature. The secondary antibody used for 40 min at room temperature.
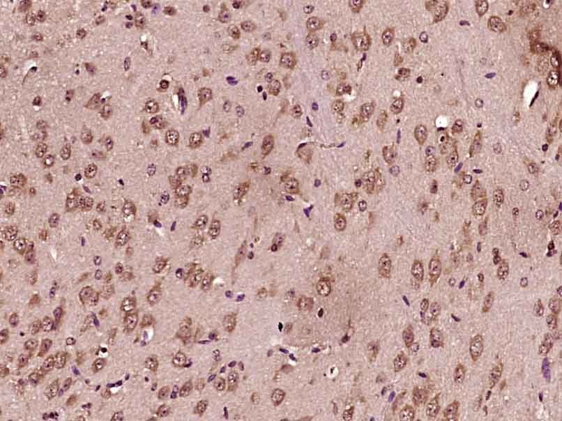
3. Paraformaldehyde-fixed, paraffin embedded (Mouse brain); Antigen retrieval by boiling in sodium citrate buffer (pH6.0) for 15 min; Block endogenous peroxidase by 3% hydrogen peroxide for 20 min; Blocking buffer (normal goat serum) at 37°C for 30 min; Antibody incubation with (GAD67) Polyclonal Antibody, Unconjugated (TMAB-00732) at 1:400 overnight at 4°C, followed by operating according to SP Kit (Rabbit) instructionsand DAB staining.
verifiedActivityverifiedActivityverifiedActivity
应用FCMIFIHC-FrIHC-PWB
推荐剂量
WB: 1:500-2000; IHC-P: 1:100-500; IHC-Fr: 1:100-500; IF: 1:100-500; FCM: 1ug/Test
抗体种类
Polyclonal
宿主来源Rabbit
亚细胞定位Mitochondrion; Plasma Membrane.
组织特异性Isoform 3 is expressed in pancreatic islets, testis, adrenal cortex, and perhaps other endocrine tissues, but not in brain.
构建方式Polyclonal Antibody
纯化方式Protein A purified
性状Liquid
缓冲液0.01M TBS (pH7.4) with 1% BSA, 0.02% Proclin300 and 50% Glycerol.
浓度1 mg/mL
研究背景Glutamic Acid Decarboxylase (GAD) catalyzes the conversion of L glutamate to g-aminobutyric acid (GABA), the principal inhibitory neurotransmitter in the brain, and a putative paracrine signal molecule in pancreatic islets. GAD has a restricted tissue distribution. It is highly expressed in the cytoplasm of GABAergic neurons in the central nervous system (CNS) and pancreatic beta cells. It is also present in other non-neuronal tissues such as testis, oviduct and ovary. GAD is also transiently expressed in non-GABAergic cells of the embryonic and adult nervous system, suggesting its involvement in development and plasticity. GAD exists as two isoforms, GAD65 and GAD67 (molecular masses of 65 and 67 kD, respectively) that are encoded by two different genes. GAD65 is an ampiphilic, membraneanchored protein, (585 amino acid residues) and is encoded on human chromosome 10. GAD67 is a cytoplasmic protein (594 amino acid residues) and is encoded on chromosome 2. There is 64% amino acid identity between the two isoforms, with the highest diversity located at the N terminus, which in GAD65 is required for targeting the enzyme to GABA-containing secretory vesicles. The two isoforms appear to have distinct intraneuronal distribution in the brain. GAD65 has been identified as an autoantigen in insulindependent diabetes mellitus (IDDM) and stiff-man syndrome (SMS), IDDM is an autoimmune disease that results from T cell mediated destruction of pancreatic insulin-secreting beta cells. Islet-reactive T cells and antibodies primarily to GAD65 (also named beta cell autoantigen) can be detected in peripheral blood of 80% of recent-onset IDD patients and in pre-diabetic high-risk subjects before onset of clinical symptoms. This suggests that GAD may be an important marker in the early stages of the disease. Also, autoantibodies to GAD65 and GAD67 are detected in animal models of IDDM, including the non-obese diabetes (NOD) mouse. In the NOD mouse, T cell reactivity is initially restricted to the C terminal regions of GAD65, but later spreads to other parts of GAD65. Stiff-man syndrome (SMS), a rare disorder of the CNS, is characterized by progressive rigidity of the body musculature with painful spasms, due to impairment of the GABAergic neurotransmission.
抗原信息
免疫原
KLH conjugated synthetic peptide: human GAD67
抗原种属
Human
基因名称
GAD1
基因ID
蛋白名称
Glutamate decarboxylase 1
Uniprot ID
研究领域
ChIP kits,Autoimmune,Amino acid metabolism,GABA,Amino Acids
功能
Catalyzes the production of GABA.
化学信息
分子量Theoretical: 67 kDa. Actual: 67 kDa.
储存&溶解度
储存方式Store at -20°C or -80°C for 12 months. Avoid repeated freeze-thaw cycles.
运输方式Shipping with blue ice.

计算器

  • 稀释 计算器
  • 配液 计算器
Related Tags: buy Anti-GAD67 Polyclonal Antibody | purchase Anti-GAD67 Polyclonal Antibody | Anti-GAD67 Polyclonal Antibody cost | order Anti-GAD67 Polyclonal Antibody | Anti-GAD67 Polyclonal Antibody molecular weight