• TargetMol
    您的购物车当前为空

Anti-NGF Antibody (9K780)

一键复制产品信息
Rating icon 还可以
货号 TMAC-02842

别名 神经生长因子

Anti-NGF Antibody (9K780) 是一种 Rabbit 抗体,靶向 NGF。Anti-NGF Antibody (9K780) 可用于 ICC/IF,IHC,WB。

Anti-NGF Antibody (9K780)

Anti-NGF Antibody (9K780)

一键复制产品信息
Rating icon 还可以
货号 TMAC-02842 别名 神经生长因子

Anti-NGF Antibody (9K780) 是一种 Rabbit 抗体,靶向 NGF。Anti-NGF Antibody (9K780) 可用于 ICC/IF,IHC,WB。

规格价格库存数量
50 μL
¥ 1,480
5日内发货
100 μL
¥ 2,485
5日内发货
库存状态实时更新,以官网显示为准,现货产品可直接加购物车下单
大包装 & 定制
加入购物车
TargetMol的所有产品仅用作科学研究或药证申报,不能被用于人体,我们不向个人提供产品和服务。请您遵守承诺用途,不得违反法律法规规定用于任何其他用途。
实验操作小课堂
常见问题解答
查看更多
资源下载:

产品介绍


生物活性
产品描述
Anti-NGF Antibody (9K780) is a Rabbit antibody targeting NGF. Anti-NGF Antibody (9K780) can be used in ICC/IF,IHC,WB.
别名神经生长因子
Ig Type
IgG
克隆号
9K780
反应种属
Human,Mouse,Rat,zebrafish
验证活性
1. Western blot analysis of NGF on Hela cell lysates using anti-NGF antibody at 1/1,000 dilution.
2. Immunohistochemical analysis of paraffin-embedded mouse liver tissue using anti-NGF antibody. Counter stained with hematoxylin.
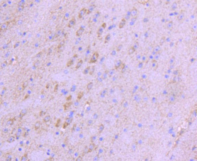
3. Immunohistochemical analysis of paraffin-embedded mouse brain tissue using anti-NGF antibody. Counter stained with hematoxylin.
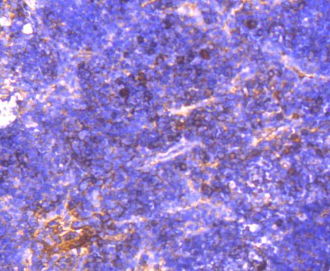
4. Immunohistochemical analysis of paraffin-embedded mouse thymus tissue using anti-NGF antibody. Counter stained with hematoxylin.
5. ICC staining NGF in Hela cells (green). The nuclear counter stain is DAPI (blue). Cells were fixed in paraformaldehyde, permeabilised with 0.25% Triton X100/PBS.
6. ICC staining NGF in HepG2 cells (green). The nuclear counter stain is DAPI (blue). Cells were fixed in paraformaldehyde, permeabilised with 0.25% Triton X100/PBS.
7. ICC staining NGF in NIH/3T3 cells (green). The nuclear counter stain is DAPI (blue). Cells were fixed in paraformaldehyde, permeabilised with 0.25% Triton X100/PBS.
verifiedActivityverifiedActivityverifiedActivityverifiedActivityverifiedActivityverifiedActivityverifiedActivity
应用ICC/IFIHCWB
推荐剂量
WB: 1:1000-2000; IHC: 1:50-200; ICC/IF: 1:50-200
抗体种类
Monoclonal
宿主来源Rabbit
构建方式Recombinant Antibody
纯化方式ProA affinity purified
性状Liquid
缓冲液1*TBS (pH7.4), 1%BSA, 40%Glycerol. Preservative: 0.05% Sodium Azide.
研究背景Neurotrophins function to regulate naturally occurring cell death of neurons during development. The prototype neurotrophin is nerve growth factor (NGF), originally discovered in the 1950s as a soluble peptide promoting the survival of, and neurite outgrowth from, sympathetic ganglia. Three additional structurally homologous neurotrophic factors have been identified. These include brain-derived neurotrophic factor (BDNF), neurotrophin-3 (NT-3) and neurotrophin-4 (NT-4) (also designated NT-5). These various neurotrophins stimulate the in vitro survival of distinct, but partially overlapping, populations of neurons. The cell surface receptors through which neurotrophins mediate their activity have been identified. For instance, the Trk A receptor is the preferential receptor for NGF, but also binds NT-3 and NT-4. The Trk B receptor binds both BDNF and NT-4 equally well, and binds NT-3 to a lesser extent, while the Trk C receptor only binds NT-3.
偶联与修饰
偶联
Unconjugated
抗原信息
免疫原
Recombinant Protein
Uniprot ID
化学信息
分子量Theoretical: 32 kDa.
储存&溶解度
储存方式Store at -20°C or -80°C for 12 months. Avoid repeated freeze-thaw cycles.
运输方式Shipping with blue ice.
存储store at low temperature | -20°C for 1 year

计算器

  • 稀释 计算器
Related Tags: buy Anti-NGF Antibody (9K780) | purchase Anti-NGF Antibody (9K780) | Anti-NGF Antibody (9K780) cost | order Anti-NGF Antibody (9K780) | Anti-NGF Antibody (9K780) molecular weight