购物车
  • 全部删除
  • TargetMol
    您的购物车当前为空

Anti-mTOR Antibody (7U757)

Rating icon 还可以
产品编号 TMAC-02674
别名 Tyrosine-protein kinase mTOR, Serine/threonine-protein kinase mTOR, RAPT1, Rapamycin target protein 1, Rapamycin and FKBP12 target 1, RAFT1, MTOR, Mechanistic target of rapamycin, Mammalian target of rapamycin (mTOR), FRAP2, FRAP1, FRAP, FKBP12-rapamycin complex-associated protein, FK506-binding protein 12-rapamycin complex-associated protein 1

Anti-mTOR Antibody (7U757) 是一种 Rabbit 抗体,靶向 mTOR。Anti-mTOR Antibody (7U757) 可用于 IHC,IP,WB。

Anti-mTOR Antibody (7U757)

Anti-mTOR Antibody (7U757)

一键复制产品信息
Rating icon 还可以
产品编号 TMAC-02674 别名 Tyrosine-protein kinase mTOR, Serine/threonine-protein kinase mTOR, RAPT1, Rapamycin target protein 1, Rapamycin and FKBP12 target 1, RAFT1, MTOR, Mechanistic target of rapamycin, Mammalian target of rapamycin (mTOR), FRAP2, FRAP1, FRAP, FKBP12-rapamycin complex-associated protein, FK506-binding protein 12-rapamycin complex-associated protein 1

Anti-mTOR Antibody (7U757) 是一种 Rabbit 抗体,靶向 mTOR。Anti-mTOR Antibody (7U757) 可用于 IHC,IP,WB。

规格价格库存数量
50 μL
¥ 1,495
5日内发货
100 μL
¥ 2,490
5日内发货
大包装 & 定制
加入购物车
TargetMol 的所有产品仅用作科学研究或药证申报,不能被用于人体,我们不向个人提供产品和服务。请您遵守承诺用途,不得违反法律法规规定用于任何其他用途。
实验操作小课堂
常见问题解答
查看更多
联系我们获取更多批次信息
资源下载

产品介绍

生物活性
产品描述
Anti-mTOR Antibody (7U757) is a Rabbit antibody targeting mTOR. Anti-mTOR Antibody (7U757) can be used in IHC,IP,WB.
别名Tyrosine-protein kinase mTOR, Serine/threonine-protein kinase mTOR, RAPT1, Rapamycin target protein 1, Rapamycin and FKBP12 target 1, RAFT1, MTOR, Mechanistic target of rapamycin, Mammalian target of rapamycin (mTOR), FRAP2, FRAP1, FRAP, FKBP12-rapamycin complex-associated protein, FK506-binding protein 12-rapamycin complex-associated protein 1
Ig Type
IgG
克隆号
7U757
交叉反应
Human,Mouse,Rat
验证活性
1. Western blot analysis of mTOR on mouse testis lysates using anti-mTOR antibody at 1/1,000 dilution.
2. Immunohistochemical analysis of paraffin-embedded human breast carcinoma tissue using anti-mTOR antibody. Counter stained with hematoxylin.
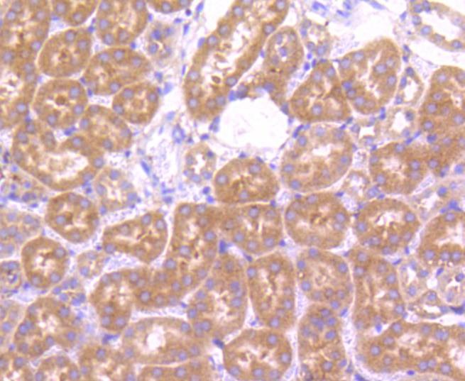
3. Immunohistochemical analysis of paraffin-embedded human kidney tissue using anti-mTOR antibody. Counter stained with hematoxylin.
4. Immunohistochemical analysis of paraffin-embedded mouse testis tissue using anti-mTOR antibody. Counter stained with hematoxylin.
5. Immunohistochemical analysis of paraffin-embedded mouse kidney tissue using anti-mTOR antibody. Counter stained with hematoxylin.
verifiedActivityverifiedActivityverifiedActivityverifiedActivityverifiedActivity
应用IHCIPWB
推荐剂量
WB: 1:1000; IHC: 1:50-200
抗体种类
Monoclonal
宿主来源Rabbit
构建方式Recombinant Antibody
纯化方式ProA affinity purified
性状Liquid
缓冲液1*TBS (pH7.4), 1%BSA, 40%Glycerol. Preservative: 0.05% Sodium Azide.
研究背景The phosphatidylinositol kinase (PIK) family members fall into two distinct subgroups. The first subgroup contains proteins such as the PI 3- and PI 4-kinases and the second group comprises the PIK-related kinases. The PIK-related kinases include Atm, DNA-PKCS and FRAP. These proteins have in common a region of homology at their carboxy-termini that is not present in the PI 3- and PI 4-kinases. The Atm gene is mutated in the autosomal recessive disorder ataxia telangiectasia (AT) that is characterized by cerebellar degeneration (ataxia) and the appearance of dilated blood vessels (telangiectases) in the conjunctivae of the eyes. AT cells are hypersensitive to ionizing radiation, impaired in mediating the inhibition of DNA synthesis and display delays in p53 induction. DNA-PK is a heterotrimeric DNA binding enzyme that is composed of a large subunit, DNA-PKCS, and two smaller subunits collectively known as Ku. The loss of DNA-PK leads to defects in DSB repair and V(D)J recombination. FRAP can autophosphorylate on serine and bind to Rapamycin/FKBP. FRAP is also an upstream regulator of S6 kinase and has been implicated in the regulation of p27 and p21 expression.
偶联与修饰
偶联
Unconjugated
抗原信息
免疫原
Recombinant Protein
Uniprot ID
化学信息
分子量Theoretical: 289 kDa.
存储&运输
储存方式Store at -20°C or -80°C for 12 months. Avoid repeated freeze-thaw cycles.
运输方式Shipping with blue ice.

计算器

  • 稀释 计算器

关键词

评论列表

4个月前
5.0
Rating icon 很棒

评论内容

Related Tags: buy Anti-mTOR Antibody (7U757) | purchase Anti-mTOR Antibody (7U757) | Anti-mTOR Antibody (7U757) cost | order Anti-mTOR Antibody (7U757) | Anti-mTOR Antibody (7U757) molecular weight