• TargetMol
    您的购物车当前为空

Anti-GCG Polyclonal Antibody

一键复制产品信息
Rating icon 还可以
产品编号 TMAB-00750

别名 Oxyntomodulin, OXY, OXM, Incretin Hormone, GRPP, Glucagon-Like Peptide 2, Glucagon-Like Peptide 1, Glucagon, GLP-2, GLP-1, Glicentin-Related Polypeptide, Glicentin, GCG

Anti-GCG Polyclonal Antibody 是一种 Rabbit 抗体,靶向 GCG。Anti-GCG Polyclonal Antibody 可用于 IF,IHC-Fr,IHC-P。

Anti-GCG Polyclonal Antibody

Anti-GCG Polyclonal Antibody

一键复制产品信息
Rating icon 还可以
产品编号 TMAB-00750 别名 Oxyntomodulin, OXY, OXM, Incretin Hormone, GRPP, Glucagon-Like Peptide 2, Glucagon-Like Peptide 1, Glucagon, GLP-2, GLP-1, Glicentin-Related Polypeptide, Glicentin, GCG

Anti-GCG Polyclonal Antibody 是一种 Rabbit 抗体,靶向 GCG。Anti-GCG Polyclonal Antibody 可用于 IF,IHC-Fr,IHC-P。

规格价格库存数量
50 μL
¥ 1,160
5日内发货
100 μL
¥ 1,975
5日内发货
200 μL
¥ 2,795
5日内发货
大包装 & 定制
加入购物车
TargetMol 的所有产品仅用作科学研究或药证申报,不能被用于人体,我们不向个人提供产品和服务。请您遵守承诺用途,不得违反法律法规规定用于任何其他用途。
实验操作小课堂
常见问题解答
查看更多

Anti-GCG Polyclonal Antibody 相关产品


资源下载

产品介绍

生物活性
产品描述
Anti-GCG Polyclonal Antibody is a Rabbit antibody targeting GCG. Anti-GCG Polyclonal Antibody can be used in IF,IHC-Fr,IHC-P.
别名Oxyntomodulin, OXY, OXM, Incretin Hormone, GRPP, Glucagon-Like Peptide 2, Glucagon-Like Peptide 1, Glucagon, GLP-2, GLP-1, Glicentin-Related Polypeptide, Glicentin, GCG
Ig Type
IgG
交叉反应
Human,Mouse,Rat
验证活性
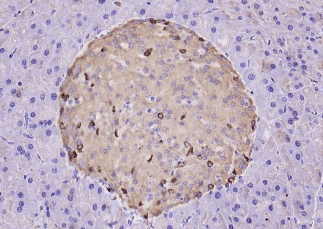
1. Paraformaldehyde-fixed, paraffin embedded (mouse pancreas); Antigen retrieval by boiling in sodium citrate buffer (pH6.0) for 15 min; Block endogenous peroxidase by 3% hydrogen peroxide for 20 min; Blocking buffer (normal goat serum) at 37°C for 30 min; Antibody incubation with (GLP-1) Polyclonal Antibody, Unconjugated (TMAB-00750) at 1:200 overnight at 4°C, followed by operating according to SP Kit (Rabbit) instructionsand DAB staining.
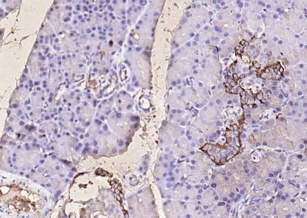
2. Paraformaldehyde-fixed, paraffin embedded (rat pancreas); Antigen retrieval by boiling in sodium citrate buffer (pH6.0) for 15 min; Block endogenous peroxidase by 3% hydrogen peroxide for 20 min; Blocking buffer (normal goat serum) at 37°C for 30 min; Antibody incubation with (GLP-1) Polyclonal Antibody, Unconjugated (TMAB-00750) at 1:200 overnight at 4°C, followed by operating according to SP Kit (Rabbit) instructionsand DAB staining.
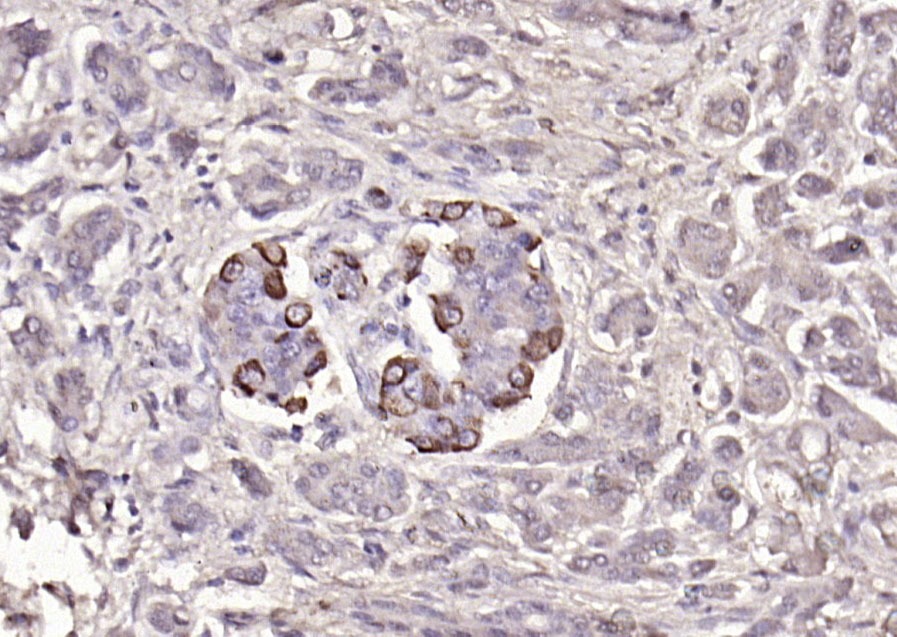
3. Paraformaldehyde-fixed, paraffin embedded (human pancreatic cancer); Antigen retrieval by boiling in sodium citrate buffer (pH6.0) for 15 min; Block endogenous peroxidase by 3% hydrogen peroxide for 20 min; Blocking buffer (normal goat serum) at 37°C for 30 min; Antibody incubation with (GLP-1) Polyclonal Antibody, Unconjugated (TMAB-00750) at 1:200 overnight at 4°C, followed by operating according to SP Kit (Rabbit) instructionsand DAB staining.
verifiedActivityverifiedActivityverifiedActivity
应用IFIHC-FrIHC-P
推荐剂量
IHC-P: 1:100-500; IHC-Fr: 1:100-500; IF: 1:100-500
抗体种类
Polyclonal
宿主来源Rabbit
亚细胞定位Secreted.
组织特异性Glucagon is secreted in the A cells of the islets of Langerhans. GLP-1, GLP-2, oxyntomodulin and glicentin are secreted from enteroendocrine cells throughout the gastrointestinal tract. GLP1 and GLP2 are also secreted in selected neurons in the brain.
构建方式Polyclonal Antibody
纯化方式Protein A purified
性状Liquid
缓冲液0.01M TBS (pH7.4) with 1% BSA, 0.02% Proclin300 and 50% Glycerol.
浓度1 mg/mL
研究背景Glucagon plays a key role in glucose metabolism and homeostasis. Regulates blood glucose by increasing gluconeogenesis and decreasing glycolysis. A counterregulatory hormone of insulin, raises plasma glucose levels in response to insulin-induced hypoglycemia. Plays an important role in initiating and maintaining hyperglycemic conditions in diabetes.
抗原信息
免疫原
KLH conjugated synthetic peptide: human GLP-1
抗原种属
Human
基因名称
GCG
基因ID
蛋白名称
Pro-glucagon
Uniprot ID
研究领域
Integration of energy metabolism,Hormones,Endoderm,Integration of energy,Cancer,Hormones,Endoderm
功能
Glucagon plays a key role in glucose metabolism and homeostasis. Regulates blood glucose by increasing gluconeogenesis and decreasing glycolysis. A counterregulatory hormone of insulin, raises plasma glucose levels in response to insulin-induced hypoglycemia. Plays an important role in initiating and maintaining hyperglycemic conditions in diabetes.
GLP-1 is a potent stimulator of glucose-dependent insulin release. Play important roles on gastric motility and the suppression of plasma glucagon levels. May be involved in the suppression of satiety and stimulation of glucose disposal in peripheral tissues, independent of the actions of insulin. Have growth-promoting activities on intestinal epithelium. May also regulate the hypothalamic pituitary axis (HPA) via effects on LH, TSH, CRH, oxytocin, and vasopressin secretion. Increases islet mass through stimulation of islet neogenesis and pancreatic beta cell proliferation. Inhibits beta cell apoptosis.
GLP-2 stimulates intestinal growth and up-regulates villus height in the small intestine, concomitant with increased crypt cell proliferation and decreased enterocyte apoptosis. The gastrointestinal tract, from the stomach to the colon is the principal target for GLP-2 action. Plays a key role in nutrient homeostasis, enhancing nutrient assimilation through enhanced gastrointestinal function, as well as increasing nutrient disposal. Stimulates intestinal glucose transport and decreases mucosal permeability.
Oxyntomodulin significantly reduces food intake. Inhibits gastric emptying in humans. Suppression of gastric emptying may lead to increased gastric distension, which may contribute to satiety by causing a sensation of fullness.
Glicentin may modulate gastric acid secretion and the gastro-pyloro-duodenal activity. May play an important role in intestinal mucosal growth in the early period of life
化学信息
分子量Theoretical: 21 kDa.
存储&运输
储存方式Store at -20°C or -80°C for 12 months. Avoid repeated freeze-thaw cycles.
运输方式Shipping with blue ice.

计算器

  • 稀释 计算器

关键词

评论列表

4个月前
5.0
Rating icon 很棒

评论内容

Related Tags: buy Anti-GCG Polyclonal Antibody | purchase Anti-GCG Polyclonal Antibody | Anti-GCG Polyclonal Antibody cost | order Anti-GCG Polyclonal Antibody | Anti-GCG Polyclonal Antibody molecular weight