购物车
  • TargetMol
    您的购物车当前为空

Anti-EpCAM/TROP1 Antibody (9A610)

Synonyms: TROP-1, TROP1, TACSTD1, MK-1, MIC18, M4S1, KSA, KS1/4, HNPCC8, ESA, epithelial cell adhesion molecule, EGP40, EGP314, EGP-2, DIAR5
货号 TMAC-01305 一键复制产品信息
Rating icon 还可以

Anti-EpCAM/TROP1 Antibody (9A610) 是一种 Mouse 抗体,靶向 EpCAM/TROP1。Anti-EpCAM/TROP1 Antibody (9A610) 可用于 FCM,ICC,IHC,WB。

Anti-EpCAM/TROP1 Antibody (9A610)

一键复制产品信息
Rating icon 还可以
货号 TMAC-01305

别名 TROP-1, TROP1, TACSTD1, MK-1, MIC18, M4S1, KSA, KS1/4, HNPCC8, ESA, epithelial cell adhesion molecule, EGP40, EGP314, EGP-2, DIAR5

Anti-EpCAM/TROP1 Antibody (9A610) 是一种 Mouse 抗体,靶向 EpCAM/TROP1。Anti-EpCAM/TROP1 Antibody (9A610) 可用于 FCM,ICC,IHC,WB。

Anti-EpCAM/TROP1 Antibody (9A610)
规格价格库存数量
50 μL
¥ 1,990
5日内发货
100 μL
¥ 2,985
5日内发货
库存状态实时更新,以官网显示为准,现货产品可直接加购物车下单
大包装 & 定制
加入购物车

TargetMol的所有产品仅用作科学研究或药证申报,不能被用于人体,我们不向个人提供产品和服务。请您遵守承诺用途,不得违反法律法规规定用于任何其他用途。

实验操作小课堂
常见问题解答
查看更多

资源下载:产品操作手册

产品介绍


生物活性
产品描述
Anti-EpCAM/TROP1 Antibody (9A610) is a Mouse antibody targeting EpCAM/TROP1. Anti-EpCAM/TROP1 Antibody (9A610) can be used in FCM,ICC,IHC,WB.
别名
TROP-1, TROP1, TACSTD1, MK-1, MIC18, M4S1, KSA, KS1/4, HNPCC8, ESA, epithelial cell adhesion molecule, EGP40, EGP314, EGP-2, DIAR5
克隆号
9A610
反应种属
Human,Mouse
验证活性
1. Western blot analysis of EpCAM on different cell lysates using anti- EpCAM antibody at 1/1000 dilution. Positive control: Lane1: Hela, Lane2: NIH/3T3, Lane3: MCF-7.
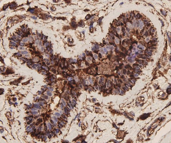
2. Immunohistochemical analysis of paraffin-embedded human colon carcinoma tissue using EpCAM antibody. Counter stained with hematoxylin.
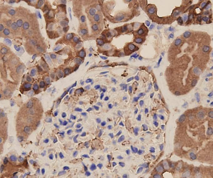
3. Immunohistochemical analysis of paraffin-embedded human kidney tissue using EpCAM antibody. Counter stained with hematoxylin.
4. Immunohistochemical analysis of paraffin-embedded human breast carcinoma tissue using EpCAM antibody. Counter stained with hematoxylin.
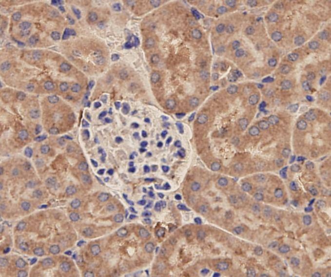
5. Immunohistochemical analysis of paraffin-embedded mouse kidney tissue using EpCAM antibody. Counter stained with hematoxylin.
6. ICC staining EpCAM in D3 cells (red). Cells were fixed in paraformaldehyde, permeabilised with 0.25% Triton X100/PBS.
7. ICC staining EpCAM in A431 cells (green). The nuclear counter stain is DAPI (blue). Cells were fixed in paraformaldehyde, permeabilised with 0.25% Triton X100/PBS.
8. ICC staining EpCAM in SW1990 cells (green). The nuclear counter stain is DAPI (blue). Cells were fixed in paraformaldehyde, permeabilised with 0.25% Triton X100/PBS.
verifiedActivityverifiedActivityverifiedActivityverifiedActivityverifiedActivityverifiedActivityverifiedActivityverifiedActivity
应用FCMICCIHCWB
推荐剂量
WB: 1:1000-2000; IHC: 1:200-500; ICC: 1:100-200; FCM: 1:100-200
抗体种类
Monoclonal
宿主来源Mouse
构建方式Hybridoma Monoclonal Antibody
纯化方式ProL affinity purified
性状Liquid
缓冲液1*TBS (pH7.4), 1%BSA, 40%Glycerol. Preservative: 0.05% Sodium Azide.
研究背景Epithelial cell adhesion molecule (EpCAM) is a transmembrane glycoprotein mediating Ca2+-independent homotypic cell-cell adhesion in epithelia. EpCAM is also involved in cell signaling, migration, proliferation, and differentiation. Additionally, EpCAM has oncogenic potential via its capacity to upregulate c-myc, e-fabp, and cyclins A & E. Since EpCAM is expressed exclusively in epithelia and epithelial-derived neoplasms, EpCAM can be used as diagnostic marker for various cancers. It appears to play a role in tumorigenesis and metastasis of carcinomas, so it can also act as a potential prognostic marker and as a potential target for immunotherapeutic strategies. Mutations in EpCAM have also been associated with congenital tufting enteropathy which causes intractable diarrhea in newborn children. Specificity/Source: This antibody is produced by immunizing mice with recombinant protein corresponding to a region of EpCAM.
偶联与修饰
偶联
Unconjugated
抗原信息
免疫原
Recombinant Protein
Uniprot ID
化学信息
分子量Theoretical: 35 kDa.
储存&溶解度
储存方式Store at -20°C or -80°C for 12 months. Avoid repeated freeze-thaw cycles.
运输方式Shipping with blue ice.

计算器

  • 稀释 计算器
  • 配液 计算器
Related Tags: buy Anti-EpCAM/TROP1 Antibody (9A610) | purchase Anti-EpCAM/TROP1 Antibody (9A610) | Anti-EpCAM/TROP1 Antibody (9A610) cost | order Anti-EpCAM/TROP1 Antibody (9A610) | Anti-EpCAM/TROP1 Antibody (9A610) molecular weight