购物车
  • 全部删除
  • TargetMol
    您的购物车当前为空

Anti-EGLN2 Antibody (7L776)

Rating icon 还可以
产品编号 TMAC-03183
别名 Prolyl hydroxylase EGLN2, Prolyl hydroxylase domain-containing protein 1 (PHD1), Hypoxia-inducible factor prolyl hydroxylase 1 (HIF-PH1, HPH-3, HPH-1), HIF-prolyl hydroxylase 1, Estrogen-induced tag 6 (EIT-6), EIT6, EGLN2, Egl nine homolog 2

Anti-EGLN2 Antibody (7L776) 是一种 Rabbit 抗体,靶向 EGLN2。Anti-EGLN2 Antibody (7L776) 可用于 FCM,ICC/IF,IHC,WB。

Anti-EGLN2 Antibody (7L776)

Anti-EGLN2 Antibody (7L776)

一键复制产品信息
Rating icon 还可以
产品编号 TMAC-03183 别名 Prolyl hydroxylase EGLN2, Prolyl hydroxylase domain-containing protein 1 (PHD1), Hypoxia-inducible factor prolyl hydroxylase 1 (HIF-PH1, HPH-3, HPH-1), HIF-prolyl hydroxylase 1, Estrogen-induced tag 6 (EIT-6), EIT6, EGLN2, Egl nine homolog 2

Anti-EGLN2 Antibody (7L776) 是一种 Rabbit 抗体,靶向 EGLN2。Anti-EGLN2 Antibody (7L776) 可用于 FCM,ICC/IF,IHC,WB。

规格价格库存数量
50 μL
¥ 1,495
5日内发货
100 μL
¥ 2,485
5日内发货
大包装 & 定制
加入购物车
TargetMol 的所有产品仅用作科学研究或药证申报,不能被用于人体,我们不向个人提供产品和服务。请您遵守承诺用途,不得违反法律法规规定用于任何其他用途。
实验操作小课堂
常见问题解答
查看更多
联系我们获取更多批次信息
资源下载

产品介绍

生物活性
产品描述
Anti-EGLN2 Antibody (7L776) is a Rabbit antibody targeting EGLN2. Anti-EGLN2 Antibody (7L776) can be used in FCM,ICC/IF,IHC,WB.
别名Prolyl hydroxylase EGLN2, Prolyl hydroxylase domain-containing protein 1 (PHD1), Hypoxia-inducible factor prolyl hydroxylase 1 (HIF-PH1, HPH-3, HPH-1), HIF-prolyl hydroxylase 1, Estrogen-induced tag 6 (EIT-6), EIT6, EGLN2, Egl nine homolog 2
Ig Type
IgG
克隆号
7L776
交叉反应
Human,Mouse,Rat
验证活性
1. Western blot analysis of PHD1 on different lysates using anti-PHD1 antibody at 1/1,000 dilution. Positive control: Lane 1: Hela, Lane 2: PC12, Lane 3: NIH/3T3.
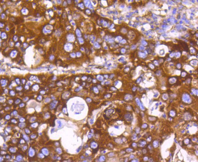
2. Immunohistochemical analysis of paraffin-embedded human lung cancer tissue using anti-PHD1 antibody. Counter stained with hematoxylin.
3. Immunohistochemical analysis of paraffin-embedded human breast carcinoma tissue using anti-PHD1 antibody. Counter stained with hematoxylin.
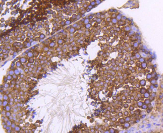
4. Immunohistochemical analysis of paraffin-embedded mouse testis tissue using anti-PHD1 antibody. Counter stained with hematoxylin.
5. Immunohistochemical analysis of paraffin-embedded mouse prostate tissue using anti-PHD1 antibody. Counter stained with hematoxylin.
6. ICC staining PHD1 in Hela cells (green). The nuclear counter stain is DAPI (blue). Cells were fixed in paraformaldehyde, permeabilised with 0.25% Triton X100/PBS.
7. ICC staining PHD1 in A549 cells (green). The nuclear counter stain is DAPI (blue). Cells were fixed in paraformaldehyde, permeabilised with 0.25% Triton X100/PBS.
8. ICC staining PHD1 in SKOV-3 cells (green). The nuclear counter stain is DAPI (blue). Cells were fixed in paraformaldehyde, permeabilised with 0.25% Triton X100/PBS.
9. Flow cytometric analysis of Hela cells with PHD1 antibody at 1/50 dilution (blue) compared with an unlabelled control (cells without incubation with primary antibody; red). Alexa Fluor 488-conjugated goat anti rabbit IgG was used as the secondary antibody.
verifiedActivityverifiedActivityverifiedActivityverifiedActivityverifiedActivityverifiedActivityverifiedActivityverifiedActivityverifiedActivity
应用FCMICC/IFIHCWB
推荐剂量
WB: 1:1000-5000; IHC: 1:50-200; ICC/IF: 1:50-200; FCM: 1:50-100
抗体种类
Monoclonal
宿主来源Rabbit
构建方式Recombinant Antibody
纯化方式ProA affinity purified
性状Liquid
缓冲液1*TBS (pH7.4), 1%BSA, 40%Glycerol. Preservative: 0.05% Sodium Azide.
研究背景Prolyl hydroxylase domain proteins HIF PHD1, HIF PHD2 and HIF PHD3 (known as PHD1, PHD2 and PHD3 in rodents, respectively) can hydroxylate HIF-α subunits. Hypoxia-inducible factor (HIF) is a transcriptional regulator important in several aspects of oxygen homeostasis. The prolyl hydroxylases catalyze the posttranslational formation of 4-hydroxyproline in HIF-α proteins. HIF PHD1, which is widely expressed, with highest levels of expression in testis, functions as a cellular oxygen sensor and is important in cell growth regulation. HIF PHD1 can localize to the nucleus or the cytoplasm and is also detected in hormone responsive tissues, such as normal and cancerous mammary, ovarian and prostate epithelium. HIF PHD1 is encoded by EGLN2, which maps to chromosome 19q13.3. HIF PHD2 is regarded as the main cellular oxygen sensor, as RNA interference against HIF PHD2, but not HIF PHD1 or HIF PHD3, is enough to stabilize HIF-1α in normoxia. HIF PHD2, a direct HIF target gene, is expressed mainly in skeletal muscle, heart, kidney and brain. HIF PHD3 may play a role in the regulation of cell growth in muscle cells and in apoptosis in neuronal tissue. HIF PHD3 is widely expressed, although the highest levels can be detected in placenta and he
偶联与修饰
偶联
Unconjugated
抗原信息
免疫原
Recombinant Protein
Uniprot ID
化学信息
分子量Theoretical: 44 kDa.
存储&运输
储存方式Store at -20°C or -80°C for 12 months. Avoid repeated freeze-thaw cycles.
运输方式Shipping with blue ice.

计算器

  • 稀释 计算器

关键词

评论列表

4个月前
5.0
Rating icon 很棒

评论内容

Related Tags: buy Anti-EGLN2 Antibody (7L776) | purchase Anti-EGLN2 Antibody (7L776) | Anti-EGLN2 Antibody (7L776) cost | order Anti-EGLN2 Antibody (7L776) | Anti-EGLN2 Antibody (7L776) molecular weight