购物车
  • 全部删除
  • TargetMol
    您的购物车当前为空

Anti-CD44 Antibody (5M235)

Rating icon 还可以
产品编号 TMAC-00716
别名 Pgp1, MIC4, MDU3, MDU2, MC56, LHR, IN, HUTCH-I, HCELL, ECMR-III, CSPG8, CDW44, CD44 molecule (Indian blood group)

Anti-CD44 Antibody (5M235) 是一种 Rabbit 抗体,靶向 CD44。Anti-CD44 Antibody (5M235) 可用于 FCM,IHC,WB。

Anti-CD44 Antibody (5M235)

Anti-CD44 Antibody (5M235)

一键复制产品信息
Rating icon 还可以
产品编号 TMAC-00716 别名 Pgp1, MIC4, MDU3, MDU2, MC56, LHR, IN, HUTCH-I, HCELL, ECMR-III, CSPG8, CDW44, CD44 molecule (Indian blood group)

Anti-CD44 Antibody (5M235) 是一种 Rabbit 抗体,靶向 CD44。Anti-CD44 Antibody (5M235) 可用于 FCM,IHC,WB。

规格价格库存数量
50 μL
¥ 1,490
5日内发货
100 μL
¥ 2,485
5日内发货
大包装 & 定制
加入购物车
TargetMol 的所有产品仅用作科学研究或药证申报,不能被用于人体,我们不向个人提供产品和服务。请您遵守承诺用途,不得违反法律法规规定用于任何其他用途。
实验操作小课堂
常见问题解答
查看更多
联系我们获取更多批次信息
资源下载

产品介绍

生物活性
产品描述
Anti-CD44 Antibody (5M235) is a Rabbit antibody targeting CD44. Anti-CD44 Antibody (5M235) can be used in FCM,IHC,WB.
别名Pgp1, MIC4, MDU3, MDU2, MC56, LHR, IN, HUTCH-I, HCELL, ECMR-III, CSPG8, CDW44, CD44 molecule (Indian blood group)
Ig Type
IgG
克隆号
5M235
交叉反应
Human
验证活性
1. Western blot analysis of CD44 on different lysates using anti-CD44 antibody at 1/1,000 dilution. Positive control: Lane 1: Hela, Lane 2: Jurkat.
2. Immunohistochemical analysis of paraffin-embedded human tonsil tissue using anti-CD44 antibody. Counter stained with hematoxylin.
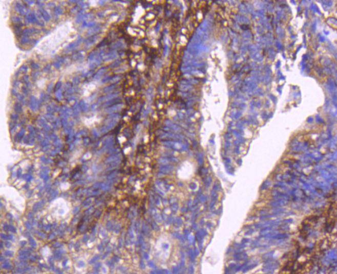
3. Immunohistochemical analysis of paraffin-embedded human colon cancer tissue using anti-CD44 antibody. Counter stained with hematoxylin.
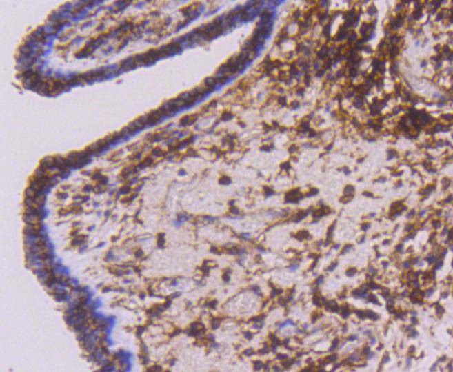
4. Immunohistochemical analysis of paraffin-embedded human spleen tissue using anti-CD44 antibody. Counter stained with hematoxylin.
5. Immunohistochemical analysis of paraffin-embedded human breast carcinoma tissue using anti-CD44 antibody. Counter stained with hematoxylin.
6. Immunohistochemical analysis of paraffin-embedded mouse colon tissue using anti-CD44 antibody. Counter stained with hematoxylin.
7. Flow cytometric analysis of Hela cells with CD44 antibody at 1/50 dilution (red) compared with an unlabelled control (cells without incubation with primary antibody; black). Alexa Fluor 488-conjugated goat anti rabbit IgG was used as the secondary antibody.
verifiedActivityverifiedActivityverifiedActivityverifiedActivityverifiedActivityverifiedActivityverifiedActivity
应用FCMIHCWB
推荐剂量
WB: 1:1000-5000; IHC: 1:50-200; FCM: 1:50-100
抗体种类
Monoclonal
宿主来源Rabbit
构建方式Recombinant Antibody
纯化方式ProA affinity purified
性状Liquid
缓冲液1*TBS (pH7.4), 1%BSA, 40%Glycerol. Preservative: 0.05% Sodium Azide.
研究背景Cell adhesion molecules (CAMs) are a family of closely related, cell surface glycoproteins that are involved in cell-cell interactions and are thought to play an important role in embryogenesis and development. HCAM, also known as CD44, LHR, MDU2, MDU3, MIC4, Pgp1, HCELL, MUTCH-I or ECMR-III, is a 742 amino acid single-pass type I membrane protein that is involved in hematopoiesis, lymphocyte activation and tumor metastasis. Functioning as a receptor for hyaluronic acid (HA) and interacting with ligands such as osteopontin (OPN), HCAM mediates both cell-cell and cell-matrix interactions, thereby playing an essential role in cell adhesion and cell migration. HCAM contains one Link domain and, due to alternative splicing events, is expressed as multiple isoforms, some of which are designated CD44R, CDw44, CD44S, CD44H (hematopoietic) and CD44E (epithelial). While most of the HCAM splice varients are expressed in tissues throughout the body, one specific isoform, namely CD44H, is expressed at high levels in cancer tissue, suggesting an important role for the CD44H splice varient in tumor progression.
偶联与修饰
偶联
Unconjugated
抗原信息
免疫原
Recombinant Protein
Uniprot ID
化学信息
分子量Theoretical: 82 kDa.
存储&运输
储存方式Store at -20°C or -80°C for 12 months. Avoid repeated freeze-thaw cycles.
运输方式Shipping with blue ice.

计算器

  • 稀释 计算器

关键词

评论列表

4个月前
5.0
Rating icon 很棒

评论内容

Related Tags: buy Anti-CD44 Antibody (5M235) | purchase Anti-CD44 Antibody (5M235) | Anti-CD44 Antibody (5M235) cost | order Anti-CD44 Antibody (5M235) | Anti-CD44 Antibody (5M235) molecular weight