购物车
  • TargetMol
    您的购物车当前为空

Anti-XDH Antibody (4C20)

Synonyms: XOR, XO, XDHA, XD, Xanthine oxidoreductase, Xanthine oxidase, Xanthine dehydrogenase/oxidase, Xanthine dehydrogenase, EC 1.17.3.2, EC 1.17.1.4
货号 TMAC-04294 一键复制产品信息
Rating icon 还可以

Anti-XDH Antibody (4C20) 是一种 Mouse 抗体,靶向 XDH。Anti-XDH Antibody (4C20) 可用于 FCM,IHC。

Anti-XDH Antibody (4C20)

一键复制产品信息
Rating icon 还可以
货号 TMAC-04294

别名 XOR, XO, XDHA, XD, Xanthine oxidoreductase, Xanthine oxidase, Xanthine dehydrogenase/oxidase, Xanthine dehydrogenase, EC 1.17.3.2, EC 1.17.1.4

Anti-XDH Antibody (4C20) 是一种 Mouse 抗体,靶向 XDH。Anti-XDH Antibody (4C20) 可用于 FCM,IHC。

Anti-XDH Antibody (4C20)
规格价格库存数量
50 μL
¥ 1,990
5日内发货
100 μL
¥ 2,980
5日内发货
库存状态实时更新,以官网显示为准,现货产品可直接加购物车下单
大包装 & 定制
加入购物车
TargetMol的所有产品仅用作科学研究或药证申报,不能被用于人体,我们不向个人提供产品和服务。请您遵守承诺用途,不得违反法律法规规定用于任何其他用途。
实验操作小课堂
常见问题解答
查看更多

资源下载:产品操作手册

产品介绍


生物活性
产品描述
Anti-XDH Antibody (4C20) is a Mouse antibody targeting XDH. Anti-XDH Antibody (4C20) can be used in FCM,IHC.
别名XOR, XO, XDHA, XD, Xanthine oxidoreductase, Xanthine oxidase, Xanthine dehydrogenase/oxidase, Xanthine dehydrogenase, EC 1.17.3.2, EC 1.17.1.4
克隆号
4C20
反应种属
Human
验证活性
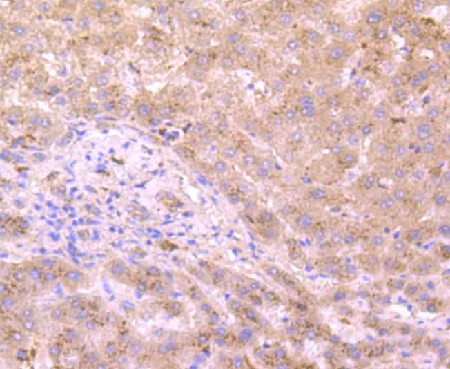
1. Immunohistochemical analysis of paraffin-embedded human liver tissue using anti-xanthine dehydrogenase antibody. Counter stained with hematoxylin.
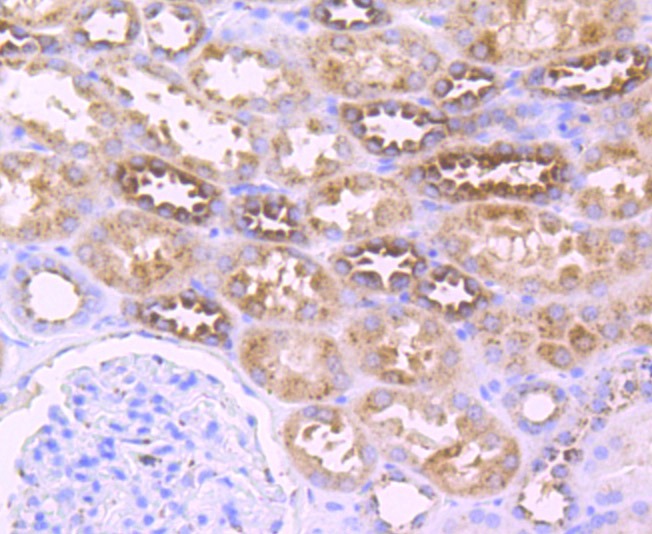
2. Immunohistochemical analysis of paraffin-embedded human kidney tissue using anti-xanthine dehydrogenase antibody. Counter stained with hematoxylin.
3. Flow cytometric analysis of LOVO cells with xanthine dehydrogenase antibody at 1/50 dilution (red) compared with an unlabelled control (cells without incubation with primary antibody; black). Alexa Fluor 488-conjugated Goat anti mouse IgG was used as the secondary antibody.
verifiedActivityverifiedActivityverifiedActivity
应用FCMIHC
推荐剂量
IHC: 1:50-200; FCM: 1:50-100
抗体种类
Monoclonal
宿主来源Mouse
构建方式Hybridoma Monoclonal Antibody
纯化方式ProG affinity purified
性状Liquid
缓冲液1*TBS (pH7.4), 0.5%BSA, 50%Glycerol. Preservative: 0.05% Sodium Azide.
研究背景The process of metabolizing purines to a common molecule known as xanthine is an essential process for the proper shuttling of uric acid. Xanthine oxidase is a flavoprotein enzyme that coordinates molybdenum and utilizes NAD+ as an electron acceptor to catalyze the oxidation of hypoxanthine to xanthine and then to uric acid. The predominant form of this enzyme is xanthine dehydrogenase, which is a homodimer that can be converted to xanthine oxidase by sulfhydryl oxidation or proteolytic modification. Xanthine oxidase is present in species ranging from bacteria to human and is ubiquitously expressed in mammalian tissues. In the oxidase form, this enzyme is coupled to the generation of free radicals. Individuals showing marked elevation of serum xanthine oxidase is suggestive of chronic liver disease and cholestasis, which is a condition defined by hepatic obstruction. Hepatic obstruction causes bile salts, the bile pigment bilirubin, and fats to accumulate in the blood stream instead of being eliminated normally. The clinical consequences of defects in xanthine oxidase range from mild to severe and even contribute to fatal disorders.
偶联与修饰
偶联
Unconjugated
抗原信息
免疫原
Peptide
Uniprot ID
化学信息
分子量Theoretical: 146 kDa.
储存&溶解度
储存方式Store at -20°C or -80°C for 12 months. Avoid repeated freeze-thaw cycles.
运输方式Shipping with blue ice.

计算器

  • 稀释 计算器
  • 配液 计算器
Related Tags: buy Anti-XDH Antibody (4C20) | purchase Anti-XDH Antibody (4C20) | Anti-XDH Antibody (4C20) cost | order Anti-XDH Antibody (4C20) | Anti-XDH Antibody (4C20) molecular weight