购物车
  • TargetMol
    您的购物车当前为空

Anti-Ubiquitin Polyclonal Antibody

Synonyms: Ubiquitin carboxyl extension protein 80, ubiquitin B, Ubiquitin, UBCEP2, UBCEP1, UBCEP 2, UBCEP 1, UBC, UBB, UBA80, UBA52, UBA 80, UBA 52, UB, RS27A, RPS27A, RPS 27A, Polyubiquitin-C, Polyubiquitin-B, MGC8385, HMG20, FLJ25987
货号 TMAB-01928 一键复制产品信息
Rating icon 还可以

Anti-Ubiquitin Polyclonal Antibody 是一种 Rabbit 抗体,靶向 Ubiquitin。Anti-Ubiquitin Polyclonal Antibody 可用于 FCM, ICC/IF, IF, IHC-Fr, IHC-P, WB。

Anti-Ubiquitin Polyclonal Antibody

一键复制产品信息
Rating icon 还可以
货号 TMAB-01928

别名 Ubiquitin carboxyl extension protein 80, ubiquitin B, Ubiquitin, UBCEP2, UBCEP1, UBCEP 2, UBCEP 1, UBC, UBB, UBA80, UBA52, UBA 80, UBA 52, UB, RS27A, RPS27A, RPS 27A, Polyubiquitin-C, Polyubiquitin-B, MGC8385, HMG20, FLJ25987

Anti-Ubiquitin Polyclonal Antibody 是一种 Rabbit 抗体,靶向 Ubiquitin。Anti-Ubiquitin Polyclonal Antibody 可用于 FCM, ICC/IF, IF, IHC-Fr, IHC-P, WB。

Anti-Ubiquitin Polyclonal Antibody
规格价格库存数量
50 μL
¥ 1,175
5日内发货
100 μL
¥ 1,970
5日内发货
200 μL
¥ 2,795
5日内发货
库存状态实时更新,以官网显示为准,现货产品可直接加购物车下单
大包装 & 定制
加入购物车
TargetMol的所有产品仅用作科学研究或药证申报,不能被用于人体,我们不向个人提供产品和服务。请您遵守承诺用途,不得违反法律法规规定用于任何其他用途。
实验操作小课堂
常见问题解答
查看更多

选择批次:
颜色: 无色透明
性状: Liquid

产品介绍


生物活性
产品描述
Anti-Ubiquitin Polyclonal Antibody is a Rabbit antibody targeting Ubiquitin. Anti-Ubiquitin Polyclonal Antibody can be used in FCM, ICC/IF, IF, IHC-Fr, IHC-P, WB.
别名Ubiquitin carboxyl extension protein 80, ubiquitin B, Ubiquitin, UBCEP2, UBCEP1, UBCEP 2, UBCEP 1, UBC, UBB, UBA80, UBA52, UBA 80, UBA 52, UB, RS27A, RPS27A, RPS 27A, Polyubiquitin-C, Polyubiquitin-B, MGC8385, HMG20, FLJ25987
Ig Type
IgG
反应种属
Human,Mouse,Rat (predicted:Pig)
验证活性
1. Blank control (black line): HepG2. Primary Antibody (green line): Rabbit Anti-Ubiquitin antibody (TMAB-01928)
Dilution: 1 μg/Test;
Secondary Antibody: Goat anti-rabbit IgG-AF488
Dilution: 0.5 μg/Test.
Negative control (white blue line): PBS
Isotype control (orange line): Normal Rabbit IgG
Protocol
The cells were fixed with 4% PFA (10 min at room temperature) and then permeabilized with 90% ice-cold methanol for 20 min at-20°C. The cells were then incubated in 5% BSA to block non-specific protein-protein interactions for 30 min at room temperature. Cells stained with Primary Antibody for 30 min at room temperature. The secondary antibody used for 40 min at room temperature.
2. Blank control (Black line): Molt4 (Black).
Primary Antibody (green line): Rabbit Anti-Ubiquitin antibody (TMAB-01928)
Dilution: 1 μg/10^6 cells;
Isotype Control Antibody (orange line): Rabbit IgG.
Secondary Antibody (white blue line): Goat anti-rabbit IgG-AF647
Dilution: 1 μg/test.
Protocol
The cells were fixed with 4% PFA (10 min at room temperature) and then permeabilized with 90% ice-cold methanol for 20 min at room temperature. The cells were then incubated in 5% BSA to block non-specific protein-protein interactions for 30 min at room temperature. Cells stained with Primary Antibody for 30 min at room temperature. The secondary antibody used for 40 min at room temperature.
3. Sample: Ubiquitin protein at 100ng;
Primary: Anti-Ubiquitin (TMAB-01928) at 1:300 dilution;
Secondary: HRP conjugated Goat-Anti-rabbit Igg (secondary antibody) at 1: 5000 dilution;
Predicted band size: 8.5 kDa
Observed band size: 8.5 kDa
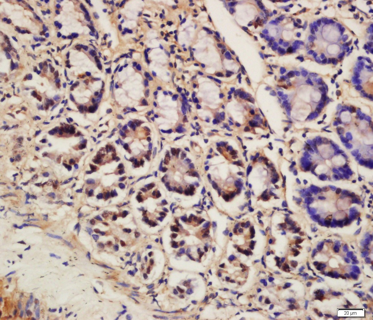
4. Paraformaldehyde-fixed, paraffin embedded (rat colon tissue); Antigen retrieval by boiling in sodium citrate buffer (pH6.0) for 15 min; Block endogenous peroxidase by 3% hydrogen peroxide for 20 min; Blocking buffer (normal goat serum) at 37°C for 30 min; Antibody incubation with (Ubiquitin) Polyclonal Antibody, Unconjugated (TMAB-01928) at 1:400 overnight at 4°C, followed by a conjugated secondary for 20 min and DAB staining.
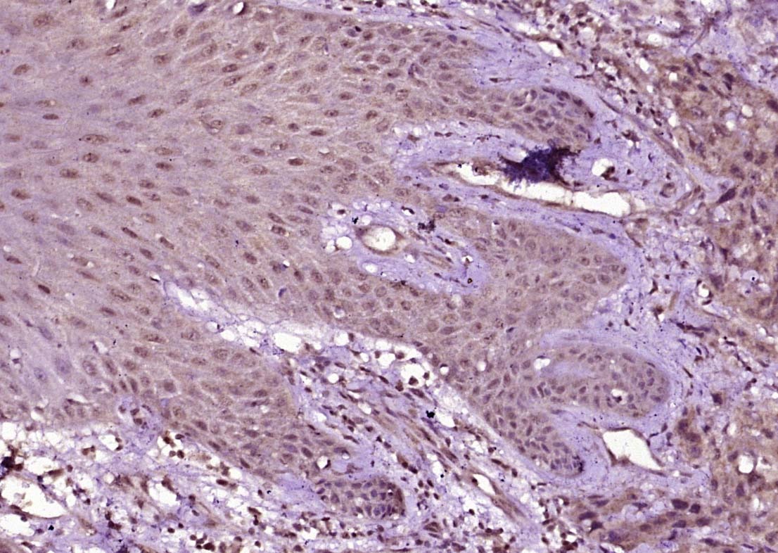
5. Paraformaldehyde-fixed, paraffin embedded (Human skin carcinoma); Antigen retrieval by boiling in sodium citrate buffer (pH6.0) for 15 min; Block endogenous peroxidase by 3% hydrogen peroxide for 20 min; Blocking buffer (normal goat serum) at 37°C for 30 min; Antibody incubation with (Ubiquitin) Polyclonal Antibody, Unconjugated (TMAB-01928) at 1:400 overnight at 4°C, followed by operating according to SP Kit (Rabbit) instructionsand DAB staining.
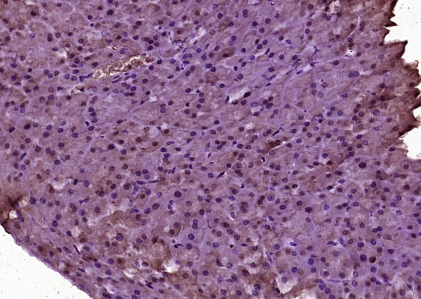
6. Paraformaldehyde-fixed, paraffin embedded (Mouse pancreas); Antigen retrieval by boiling in sodium citrate buffer (pH6.0) for 15 min; Block endogenous peroxidase by 3% hydrogen peroxide for 20 min; Blocking buffer (normal goat serum) at 37°C for 30 min; Antibody incubation with (Ubiquitin) Polyclonal Antibody, Unconjugated (TMAB-01928) at 1:400 overnight at 4°C, followed by operating according to SP Kit (Rabbit) instructionsand DAB staining.
7. HepG2 cell; 4% Paraformaldehyde-fixed; Triton X-100 at room temperature for 20 min; Blocking buffer (normal goat serum) at 37°C for 20 min; Antibody incubation with (Ubiquitin) polyclonal Antibody, Unconjugated (TMAB-01928) 1:100, 90 minutes at 37°C; followed by a conjugated Goat Anti-Rabbit IgG antibody at 37°C for 90 minutes, DAPI (blue) was used to stain the cell nucleus.
verifiedActivityverifiedActivityverifiedActivityverifiedActivityverifiedActivityverifiedActivityverifiedActivity
应用FCMICC/IFIFIHC-FrIHC-PWB
推荐剂量
FCM=1 μg/Test; ICC/IF=1:100-500; IF=1:100-500; IHC-Fr=1:100-500; IHC-P=1:100-500; WB=1:500-2000
抗体种类
Polyclonal
宿主来源Rabbit
亚细胞定位Cytoplasm. Nucleus.
构建方式Polyclonal Antibody
纯化方式Protein A purified
性状Liquid
缓冲液0.01M TBS (pH7.4) with 1% BSA, 0.02% Proclin300 and 50% Glycerol.
浓度1 mg/mL
研究背景This gene encodes ubiquitin, one of the most conserved proteins known. Ubiquitin has a major role in targeting cellular proteins for degradation by the 26S proteosome. It is also involved in the maintenance of chromatin structure, the regulation of gene expression, and the stress response. Ubiquitin is synthesized as a precursor protein consisting of either polyubiquitin chains or a single ubiquitin moiety fused to an unrelated protein. This gene consists of three direct repeats of the ubiquitin coding sequence with no spacer sequence. Consequently, the protein is expressed as a polyubiquitin precursor with a final amino acid after the last repeat. An aberrant form of this protein has been detected in patients with Alzheimer's disease and Down syndrome. Pseudogenes of this gene are located on chromosomes 1, 2, 13, and 17. Alternative splicing results in multiple transcript variants. [provided by RefSeq, Aug 2013]
抗原信息
免疫原
KLH conjugated synthetic peptide: human Ubiquitin
抗原种属
Human
基因名称
UBB
基因ID
蛋白名称
Polyubiquitin-B
Uniprot ID
研究领域
Proteasome,Ubiquitin
功能
Ubiquitin exists either covalently attached to another protein, or free (unanchored). When covalently bound, it is conjugated to target proteins via an isopeptide bond either as a monomer (monoubiquitin), a polymer linked via different Lys residues of the ubiquitin (polyubiquitin chains) or a linear polymer linked via the initiator Met of the ubiquitin (linear polyubiquitin chains). Polyubiquitin chains, when attached to a target protein, have different functions depending on the Lys residue of the ubiquitin that is linked: Lys-6-linked may be involved in DNA repair; Lys-11-linked is involved in ERAD (endoplasmic reticulum-associated degradation) and in cell-cycle regulation; Lys-29-linked is involved in lysosomal degradation; Lys-33-linked is involved in kinase modification; Lys-48-linked is involved in protein degradation via the proteasome; Lys-63-linked is involved in endocytosis, DNA-damage responses as well as in signaling processes leading to activation of the transcription factor NF-kappa-B. Linear polymer chains formed via attachment by the initiator Met lead to cell signaling. Ubiquitin is usually conjugated to Lys residues of target proteins, however, in rare cases, conjugation to Cys or Ser residues has been observed. When polyubiquitin is free (unanchored-polyubiquitin), it also has distinct roles, such as in activation of protein kinases, and in signaling.
化学信息
分子量Theoretical: 8.5 kDa. Actual: 8.5 kDa.
储存&溶解度
储存方式Store at -20°C or -80°C for 12 months. Avoid repeated freeze-thaw cycles.
运输方式Shipping with blue ice.

计算器

  • 稀释 计算器
  • 配液 计算器
Related Tags: buy Anti-Ubiquitin Polyclonal Antibody | purchase Anti-Ubiquitin Polyclonal Antibody | Anti-Ubiquitin Polyclonal Antibody cost | order Anti-Ubiquitin Polyclonal Antibody | Anti-Ubiquitin Polyclonal Antibody molecular weight