购物车
  • 全部删除
  • TargetMol
    您的购物车当前为空

Anti-TRIM63 Polyclonal Antibody

Rating icon 还可以
产品编号 TMAB-01897
别名 Tripartite motif-containing protein 63, TRIM63, Striated muscle RING zinc finger protein, SMRZ, RNF28, RING-type E3 ubiquitin transferase TRIM63, RING finger protein 28, Muscle-specific RING finger protein 1 (MuRF-1;MuRF1), MURF1, Iris RING finger protein, IRF, E3 ubiquitin-protein ligase TRIM63

Anti-TRIM63 Polyclonal Antibody 是一种 Rabbit 抗体,靶向 TRIM63。Anti-TRIM63 Polyclonal Antibody 可用于 FCM,IF,IHC-Fr,IHC-P。

Anti-TRIM63 Polyclonal Antibody

Anti-TRIM63 Polyclonal Antibody

一键复制产品信息
Rating icon 还可以
产品编号 TMAB-01897 别名 Tripartite motif-containing protein 63, TRIM63, Striated muscle RING zinc finger protein, SMRZ, RNF28, RING-type E3 ubiquitin transferase TRIM63, RING finger protein 28, Muscle-specific RING finger protein 1 (MuRF-1;MuRF1), MURF1, Iris RING finger protein, IRF, E3 ubiquitin-protein ligase TRIM63

Anti-TRIM63 Polyclonal Antibody 是一种 Rabbit 抗体,靶向 TRIM63。Anti-TRIM63 Polyclonal Antibody 可用于 FCM,IF,IHC-Fr,IHC-P。

规格价格库存数量
50 μL
¥ 1,175
5日内发货
100 μL
¥ 1,970
5日内发货
200 μL
¥ 2,790
5日内发货
大包装 & 定制
加入购物车
TargetMol 的所有产品仅用作科学研究或药证申报,不能被用于人体,我们不向个人提供产品和服务。请您遵守承诺用途,不得违反法律法规规定用于任何其他用途。
实验操作小课堂
常见问题解答
查看更多
联系我们获取更多批次信息
资源下载

产品介绍

生物活性
产品描述
Anti-TRIM63 Polyclonal Antibody is a Rabbit antibody targeting TRIM63. Anti-TRIM63 Polyclonal Antibody can be used in FCM,IF,IHC-Fr,IHC-P.
别名Tripartite motif-containing protein 63, TRIM63, Striated muscle RING zinc finger protein, SMRZ, RNF28, RING-type E3 ubiquitin transferase TRIM63, RING finger protein 28, Muscle-specific RING finger protein 1 (MuRF-1;MuRF1), MURF1, Iris RING finger protein, IRF, E3 ubiquitin-protein ligase TRIM63
Ig Type
IgG
交叉反应
Human,Mouse (predicted:Rat,Pig,Cow,Horse,Rabbit)
验证活性
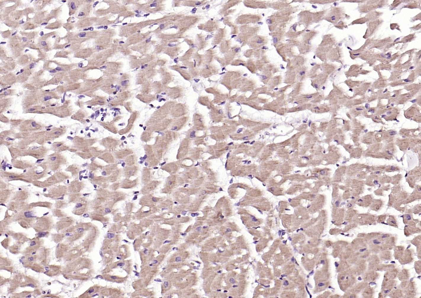
1. Tissue/cell: mouse embryos tissue; 4% Paraformaldehyde-fixed and paraffin-embedded;
Antigen retrieval: citrate buffer (0.01M, pH6.0), Boiling bathing for 15 min; Block endogenous peroxidase by 3% Hydrogen peroxide for 30 min; Blocking buffer (normal goat serum) at 37°C for 20 min;
Incubation: Anti-MuRF1 Polyclonal Antibody, Unconjugated (TMAB-01897) 1:200, overnight at 4°C, followed by conjugation to the secondary antibody and DAb staining.
2. Blank control: K562. Primary Antibody (green line): Rabbit Anti-MuRF1 antibody (TMAB-01897)
Dilution: 2 μg/10^6 cells;
Isotype Control Antibody (orange line): Rabbit IgG.
Secondary Antibody: Goat anti-rabbit IgG-PE
Dilution: 1 μg/test.
Protocol
The cells were fixed with 4% PFA (10 min at room temperature) and then permeabilized with 90% ice-cold methanol for 20 min at-20°C. The cells were then incubated in 5% BSA to block non-specific protein-protein interactions for 30 min at room temperature. Cells stained with Primary Antibody for 30 min at room temperature. The secondary antibody used for 40 min at room temperature.
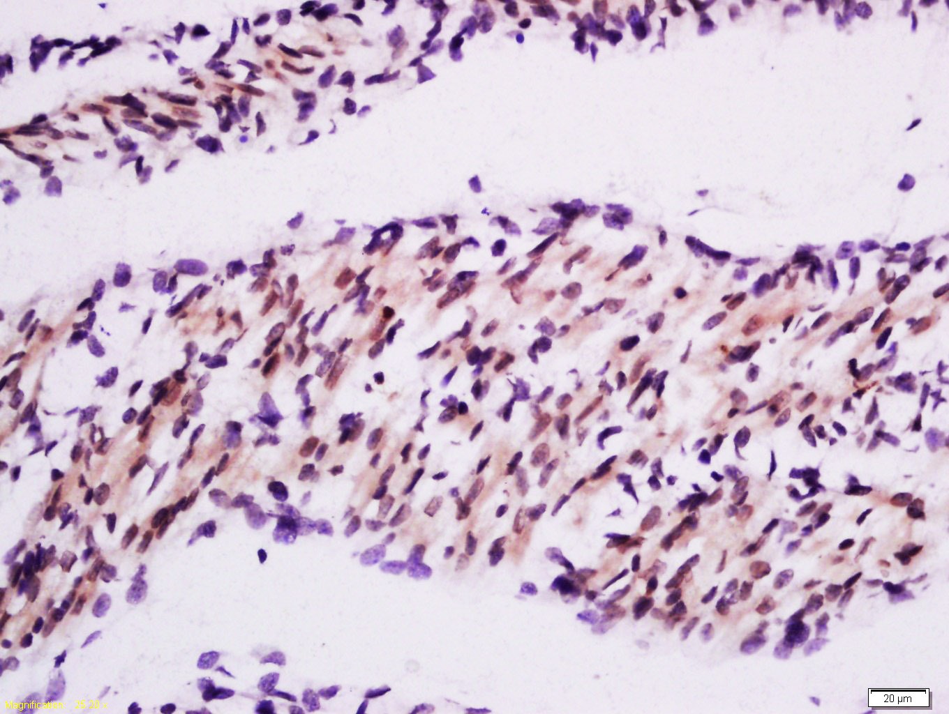
3. Paraformaldehyde-fixed, paraffin embedded (human heart); Antigen retrieval by boiling in sodium citrate buffer (pH6.0) for 15 min; Block endogenous peroxidase by 3% hydrogen peroxide for 20 min; Blocking buffer (normal goat serum) at 37°C for 30 min; Incubation with (MuRF1) Polyclonal Antibody, Unconjugated (TMAB-01897) at 1:200 overnight at 4°C, followed by operating according to SP Kit (Rabbit) instructionsand DAB staining.
verifiedActivityverifiedActivityverifiedActivity
应用FCMIFIHC-FrIHC-P
推荐剂量
IHC-P: 1:100-500; IHC-Fr: 1:100-500; IF: 1:100-500; FCM: 2ug/Test
抗体种类
Polyclonal
宿主来源Rabbit
亚细胞定位Cytoplasm. Nucleus. Cytoplasm, myofibril, sarcomere, M line. Cytoplasm, myofibril, sarcomere, Z line. Note=Colocalizes with TNNI3 in myocytes. Localizes to the M- and Z-lines in skeletal muscle.
组织特异性Muscle specific. Selectively expressed in heart and skeletal muscle. Also expressed in the iris.
构建方式Polyclonal Antibody
纯化方式Protein A purified
性状Liquid
缓冲液0.01M TBS (pH7.4) with 1% BSA, 0.02% Proclin300 and 50% Glycerol.
浓度1 mg/mL
研究背景This gene encodes a member of the RING zinc finger protein family found in striated muscle and iris. The product of this gene is localized to the Z-line and M-line lattices of myofibrils, where titin's N-terminal and C-terminal regions respectively bind to the sarcomere. In vitro binding studies have shown that this protein also binds directly to titin near the region of titin containing kinase activity. Another member of this protein family binds to microtubules. Since these family members can form heterodimers, this suggests that these proteins may serve as a link between titin kinase and microtubule-dependent signal pathways in muscle. [provided by RefSeq].
抗原信息
免疫原
KLH conjugated synthetic peptide: human MuRF1
抗原种属
Human
基因名称
TRIM63
基因ID
蛋白名称
E3 ubiquitin-protein ligase TRIM63
Uniprot ID
研究领域
Myosins,Troponin,Hypertrophy,RING Finger E3 Ligase,Ubiquitin ligases,E3 Ubiquitin Ligases
功能
E3 ubiquitin ligase. Mediates the ubiquitination and subsequent proteasomal degradation of CKM, GMEB1 and HIBADH. Regulates the proteasomal degradation of muscle proteins under amino acid starvation, where muscle protein is catabolized to provide other organs with amino acids. Inhibits de novo skeletal muscle protein synthesis under amino acid starvation. Regulates proteasomal degradation of cardiac troponin I/TNNI3 and probably of other sarcomeric-associated proteins. May play a role in striated muscle atrophy and hypertrophy by regulating an anti-hypertrophic PKC-mediated signaling pathway. May regulate the organization of myofibrils through TTN in muscle cells.
化学信息
分子量Theoretical: 39 kDa.
存储&运输
储存方式Store at -20°C or -80°C for 12 months. Avoid repeated freeze-thaw cycles.
运输方式Shipping with blue ice.

计算器

  • 稀释 计算器

关键词

评论列表

4个月前
5.0
Rating icon 很棒

评论内容

Related Tags: buy Anti-TRIM63 Polyclonal Antibody | purchase Anti-TRIM63 Polyclonal Antibody | Anti-TRIM63 Polyclonal Antibody cost | order Anti-TRIM63 Polyclonal Antibody | Anti-TRIM63 Polyclonal Antibody molecular weight