购物车
  • TargetMol
    您的购物车当前为空

Anti-TLR2 Antibody (7H593)

Synonyms: toll-like receptor 2
货号 TMAC-04057 一键复制产品信息
Rating icon 还可以

Anti-TLR2 Antibody (7H593) 是一种 Rabbit 抗体,靶向 TLR2。Anti-TLR2 Antibody (7H593) 可用于 FCM,ICC/IF,IHC,WB。

Anti-TLR2 Antibody (7H593)

一键复制产品信息
Rating icon 还可以
货号 TMAC-04057

别名 toll-like receptor 2

Anti-TLR2 Antibody (7H593) 是一种 Rabbit 抗体,靶向 TLR2。Anti-TLR2 Antibody (7H593) 可用于 FCM,ICC/IF,IHC,WB。

Anti-TLR2 Antibody (7H593)
规格价格库存数量
50 μL
¥ 1,495
5日内发货
100 μL
¥ 2,480
5日内发货
库存状态实时更新,以官网显示为准,现货产品可直接加购物车下单
大包装 & 定制
加入购物车
TargetMol的所有产品仅用作科学研究或药证申报,不能被用于人体,我们不向个人提供产品和服务。请您遵守承诺用途,不得违反法律法规规定用于任何其他用途。
实验操作小课堂
常见问题解答
查看更多

资源下载:产品操作手册

产品介绍


生物活性
产品描述
Anti-TLR2 Antibody (7H593) is a Rabbit antibody targeting TLR2. Anti-TLR2 Antibody (7H593) can be used in FCM,ICC/IF,IHC,WB.
别名toll-like receptor 2
Ig Type
IgG
克隆号
7H593
反应种属
Human,Mouse,Rat
验证活性
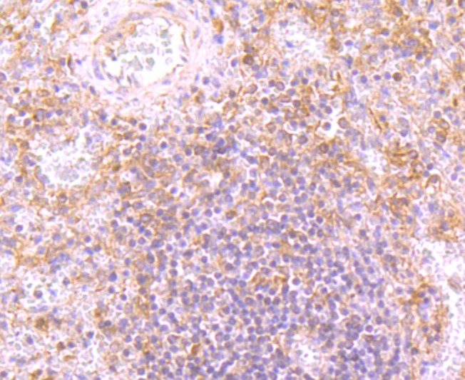
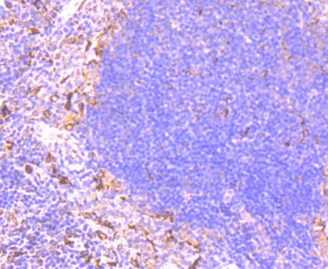
1. Immunohistochemical analysis of paraffin-embedded mouse spleen tissue using anti-TLR2 antibody. Counter stained with hematoxylin.
2. Immunohistochemical analysis of paraffin-embedded human spleen tissue using anti-TLR2 antibody. Counter stained with hematoxylin.
3. ICC staining TLR2 in PC-3M cells (green). The nuclear counter stain is DAPI (blue). Cells were fixed in paraformaldehyde, permeabilised with 0.25% Triton X100/PBS.
4. ICC staining TLR2 in A549 cells (green). The nuclear counter stain is DAPI (blue). Cells were fixed in paraformaldehyde, permeabilised with 0.25% Triton X100/PBS.
5. ICC staining TLR2 in HepG2 cells (green). The nuclear counter stain is DAPI (blue). Cells were fixed in paraformaldehyde, permeabilised with 0.25% Triton X100/PBS.
6. Flow cytometric analysis of THP-1 cells with TLR2 antibody at 1/100 dilution (red) compared with an unlabelled control (cells without incubation with primary antibody; black).
7. Western blot analysis of TLR2 on HL-60 cell lysates.
verifiedActivityverifiedActivityverifiedActivityverifiedActivityverifiedActivityverifiedActivityverifiedActivity
应用FCMICC/IFIHCWB
推荐剂量
WB: 1:500-2000; IHC: 1:50-200; ICC/IF: 1:50-200; FCM: 1:50-100
抗体种类
Monoclonal
宿主来源Rabbit
构建方式Recombinant Antibody
纯化方式ProA affinity purified
性状Liquid
缓冲液1*TBS (pH7.4), 1%BSA, 40%Glycerol. Preservative: 0.05% Sodium Azide.
研究背景The TLR family of proteins are characterized by a highly conserved Toll homology (TH) domain, which is essential for Toll-induced signal transduction. TLR1, as well as the other TLR family members, are type I transmembrane receptors that characteristically contain an extracellular domain consisting of several leucine-rich regions along with a single cytoplasmic Toll/IL-1R-like domain. TLR2 and TLR4 are activated in response to lipopolysacchride (LPS) stimulation, which results in the activation and translocation of NFkB and suggests that these receptors are involved in mediating inflammatory responses. Expression of TLR receptors is highest in peripheral blood leukocytes, macrophages, and monocytes. TLR6 is highly homologous to TLR1, sharing greater than 65% sequence identity, and, like other members of TLR family, it induces NFkB signaling upon activation.
偶联与修饰
偶联
Unconjugated
抗原信息
免疫原
Recombinant Protein
Uniprot ID
储存&溶解度
储存方式Store at -20°C or -80°C for 12 months. Avoid repeated freeze-thaw cycles.
运输方式Shipping with blue ice.

计算器

  • 稀释 计算器
  • 配液 计算器
Related Tags: buy Anti-TLR2 Antibody (7H593) | purchase Anti-TLR2 Antibody (7H593) | Anti-TLR2 Antibody (7H593) cost | order Anti-TLR2 Antibody (7H593)