购物车
  • TargetMol
    您的购物车当前为空

Anti-Proteasome 20S LMP2 Antibody (3S23)

Synonyms: RING12 protein, RING12, RING 12, Really interesting new gene 12 protein, PSMB9, PSMB6i, PSMB 9, PSB9_HUMAN, Proteasome subunit beta-1i, Proteasome subunit beta type-9, Proteasome subunit beta type 9, Proteasome subunit beta 6i, Proteasome related gene 2, Proteasome chain 7, Proteasome catalytic subunit 1i, Proteasome beta 9 subunit, proteasome (prosome, macropain) subunit, beta type, 9 (large multifunctional peptidase 2), Proteasome (prosome macropain) subunit beta type 9, OTTHUMP00000062982, Multicatalytic endopeptidase complex chain 7, MGC70470, Macropain chain 7, Low molecular mass protein 2, LMP2, LMP 2, Large multifunctional protease 2, Large multifunctional peptidase 2, Beta1i
货号 TMAC-03440 一键复制产品信息
Rating icon 还可以
202603开学季活动

Anti-Proteasome 20S LMP2 Antibody (3S23) 是一种 Rabbit 抗体,靶向 Proteasome 20S LMP2。Anti-Proteasome 20S LMP2 Antibody (3S23) 可用于 FCM,IHC,IP,WB。

Anti-Proteasome 20S LMP2 Antibody (3S23)

一键复制产品信息
Rating icon 还可以
202603开学季活动
货号 TMAC-03440

别名 RING12 protein, RING12, RING 12, Really interesting new gene 12 protein, PSMB9, PSMB6i, PSMB 9, PSB9_HUMAN, Proteasome subunit beta-1i, Proteasome subunit beta type-9, Proteasome subunit beta type 9, Proteasome subunit beta 6i, Proteasome related gene 2, Proteasome chain 7, Proteasome catalytic subunit 1i, Proteasome beta 9 subunit, proteasome (prosome, macropain) subunit, beta type, 9 (large multifunctional peptidase 2), Proteasome (prosome macropain) subunit beta type 9, OTTHUMP00000062982, Multicatalytic endopeptidase complex chain 7, MGC70470, Macropain chain 7, Low molecular mass protein 2, LMP2, LMP 2, Large multifunctional protease 2, Large multifunctional peptidase 2, Beta1i

Anti-Proteasome 20S LMP2 Antibody (3S23) 是一种 Rabbit 抗体,靶向 Proteasome 20S LMP2。Anti-Proteasome 20S LMP2 Antibody (3S23) 可用于 FCM,IHC,IP,WB。

Anti-Proteasome 20S LMP2 Antibody (3S23)
规格价格库存数量
50 μL
¥ 1,480
5日内发货
100 μL
¥ 2,490
5日内发货
库存状态实时更新,以官网显示为准,现货产品可直接加购物车下单
大包装 & 定制
加入购物车

TargetMol的所有产品仅用作科学研究或药证申报,不能被用于人体,我们不向个人提供产品和服务。请您遵守承诺用途,不得违反法律法规规定用于任何其他用途。

实验操作小课堂
常见问题解答
查看更多

资源下载:产品操作手册

产品介绍


生物活性
产品描述
Anti-Proteasome 20S LMP2 Antibody (3S23) is a Rabbit antibody targeting Proteasome 20S LMP2. Anti-Proteasome 20S LMP2 Antibody (3S23) can be used in FCM,IHC,IP,WB.
别名
RING12 protein, RING12, RING 12, Really interesting new gene 12 protein, PSMB9, PSMB6i, PSMB 9, PSB9_HUMAN, Proteasome subunit beta-1i, Proteasome subunit beta type-9, Proteasome subunit beta type 9, Proteasome subunit beta 6i, Proteasome related gene 2, Proteasome chain 7, Proteasome catalytic subunit 1i, Proteasome beta 9 subunit, proteasome (prosome, macropain) subunit, beta type, 9 (large multifunctional peptidase 2), Proteasome (prosome macropain) subunit beta type 9, OTTHUMP00000062982, Multicatalytic endopeptidase complex chain 7, MGC70470, Macropain chain 7, Low molecular mass protein 2, LMP2, LMP 2, Large multifunctional protease 2, Large multifunctional peptidase 2, Beta1i
Ig Type
IgG
克隆号
3S23
反应种属
Human,Mouse
验证活性
1. Western blot analysis of Proteasome 20S LMP2 on different lysates using anti-Proteasome 20S LMP2 antibody at 1/500 dilution. Positive control: Lane 1: Mouse spleen tissue, Lane 2: U937, Lane 2: Mouse colon tissue.
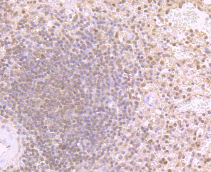
2. Immunohistochemical analysis of paraffin-embedded human spleen tissue using anti-Proteasome 20S LMP2 antibody. Counter stained with hematoxylin.
3. Flow cytometric analysis of Daudi cells with Proteasome 20S LMP2 antibody at 1/100 dilution (red) compared with an unlabelled control (cells without incubation with primary antibody; black).
verifiedActivityverifiedActivityverifiedActivity
应用FCMIHCIPWB
推荐剂量
WB: 1:500-1000; IHC: 1:50-200; FCM: 1:50-100
抗体种类
Monoclonal
宿主来源Rabbit
构建方式Recombinant Antibody
纯化方式ProA affinity purified
性状Liquid
缓冲液1*TBS (pH7.4), 1%BSA, 40%Glycerol. Preservative: 0.05% Sodium Azide.
研究背景The eukaryotic multicatalytic proteinase complex, otherwise known as the proteasome, is present in both the nucleus and cytoplasm of cells and contains at least 15 nonidentical subunits, which form a highly ordered ring-shaped structure. The proteasome is involved in an ATP/Ubiquitin-dependent proteolytic pathway and expresses at least five distinct proteolytic activities, including the cleavage of peptides after branched chain amino acids or bulky hydrophobic amino acids. Two components of the proteasome are the low molecular mass proteins LMP2 and LMP7, which are thought to connect the proteasome to the MHC class-I antigen-processing pathway. Upon stimulation with IFN-γ, LMP2 and LMP7 displace housekeeping subunits in the proteasome and activate cytotoxic T cells (CTLs). LMP2 and LMP7 are produced as precursor proteins, which are processed to subunits that have the ability to complex with the proteasome. LMP2 is expressed as two alternatively spliced forms, LMP2.l and LMP2.s, in lymphoblastoid cell lines and in fibroblasts after IFN-γ stimulation. LMP7 is also expressed as two forms, LMP7-E1 and E2, in several tissues.
偶联与修饰
偶联
Unconjugated
抗原信息
免疫原
Recombinant Protein
Uniprot ID
化学信息
分子量Theoretical: 23 kDa.
储存&溶解度
储存方式Store at -20°C or -80°C for 12 months. Avoid repeated freeze-thaw cycles.
运输方式Shipping with blue ice.

计算器

  • 稀释 计算器
  • 配液 计算器
Related Tags: buy Anti-Proteasome 20S LMP2 Antibody (3S23) | purchase Anti-Proteasome 20S LMP2 Antibody (3S23) | Anti-Proteasome 20S LMP2 Antibody (3S23) cost | order Anti-Proteasome 20S LMP2 Antibody (3S23) | Anti-Proteasome 20S LMP2 Antibody (3S23) molecular weight