购物车
  • TargetMol
    您的购物车当前为空

Anti-PIK3R1 Antibody (9O121)

Synonyms: SH3_PI3K_p85alpha, PtdIns-3-kinase regulatory subunit p85-alpha, PtdIns-3-kinase regulatory subunit alpha, PI3-kinase subunit p85-alpha, PI3-kinase regulatory subunit alpha, PI3-kinase p85 subunit gamma, PI3-kinase p85 subunit alpha, PI3K regulatory subunit alpha, PI 3-kinase p85-α, PI 3-kinase p85α, PI 3-kinase p85 α, PI 3 Kinase p85 alpha, phosphoinositide-3-kinase regulatory subunit 1, Phosphatidylinositol 3-kinase regulatory subunit alpha, Phosphatidylinositol 3-kinase 85 kDa regulatory subunit alpha, p85-ALPHA, P85A, p85, IMD36, GRB1, AGM7
货号 TMAC-03289 一键复制产品信息
Rating icon 还可以

Anti-PIK3R1 Antibody (9O121) 是一种 Rabbit 抗体,靶向 PIK3R1。Anti-PIK3R1 Antibody (9O121) 可用于 FCM,ICC/IF,IHC,WB。

Anti-PIK3R1 Antibody (9O121)

一键复制产品信息
Rating icon 还可以
货号 TMAC-03289

别名 SH3_PI3K_p85alpha, PtdIns-3-kinase regulatory subunit p85-alpha, PtdIns-3-kinase regulatory subunit alpha, PI3-kinase subunit p85-alpha, PI3-kinase regulatory subunit alpha, PI3-kinase p85 subunit gamma, PI3-kinase p85 subunit alpha, PI3K regulatory subunit alpha, PI 3-kinase p85-α, PI 3-kinase p85α, PI 3-kinase p85 α, PI 3 Kinase p85 alpha, phosphoinositide-3-kinase regulatory subunit 1, Phosphatidylinositol 3-kinase regulatory subunit alpha, Phosphatidylinositol 3-kinase 85 kDa regulatory subunit alpha, p85-ALPHA, P85A, p85, IMD36, GRB1, AGM7

Anti-PIK3R1 Antibody (9O121) 是一种 Rabbit 抗体,靶向 PIK3R1。Anti-PIK3R1 Antibody (9O121) 可用于 FCM,ICC/IF,IHC,WB。

Anti-PIK3R1 Antibody (9O121)
规格价格库存数量
50 μL
¥ 1,495
5日内发货
100 μL
¥ 2,480
5日内发货
库存状态实时更新,以官网显示为准,现货产品可直接加购物车下单
大包装 & 定制
加入购物车
TargetMol的所有产品仅用作科学研究或药证申报,不能被用于人体,我们不向个人提供产品和服务。请您遵守承诺用途,不得违反法律法规规定用于任何其他用途。
实验操作小课堂
常见问题解答
查看更多

资源下载:产品操作手册

产品介绍


生物活性
产品描述
Anti-PIK3R1 Antibody (9O121) is a Rabbit antibody targeting PIK3R1. Anti-PIK3R1 Antibody (9O121) can be used in FCM,ICC/IF,IHC,WB.
别名SH3_PI3K_p85alpha, PtdIns-3-kinase regulatory subunit p85-alpha, PtdIns-3-kinase regulatory subunit alpha, PI3-kinase subunit p85-alpha, PI3-kinase regulatory subunit alpha, PI3-kinase p85 subunit gamma, PI3-kinase p85 subunit alpha, PI3K regulatory subunit alpha, PI 3-kinase p85-α, PI 3-kinase p85α, PI 3-kinase p85 α, PI 3 Kinase p85 alpha, phosphoinositide-3-kinase regulatory subunit 1, Phosphatidylinositol 3-kinase regulatory subunit alpha, Phosphatidylinositol 3-kinase 85 kDa regulatory subunit alpha, p85-ALPHA, P85A, p85, IMD36, GRB1, AGM7
Ig Type
IgG
克隆号
9O121
反应种属
Human,Mouse,Rat
验证活性
1. Western blot analysis of PI 3 Kinase p85 alpha on different lysates using anti-PI 3 Kinase p85 alpha antibody at 1/1,000 dilution. Positive control: Lane 1: MCF-7, Lane 2: Raji.
2. ICC staining PI 3 Kinase p85 alpha in Hela cells (red). The nuclear counter stain is DAPI (blue). Cells were fixed in paraformaldehyde, permeabilised with 0.25% Triton X100/PBS.
3. ICC staining PI 3 Kinase p85 alpha in MCF-7 cells (red). The nuclear counter stain is DAPI (blue). Cells were fixed in paraformaldehyde, permeabilised with 0.25% Triton X100/PBS.
4. ICC staining PI 3 Kinase p85 alpha in HepG2 cells (red). The nuclear counter stain is DAPI (blue). Cells were fixed in paraformaldehyde, permeabilised with 0.25% Triton X100/PBS.
5. ICC staining PI 3 Kinase p85 alpha in NIH/3T3 cells (red). The nuclear counter stain is DAPI (blue). Cells were fixed in paraformaldehyde, permeabilised with 0.25% Triton X100/PBS.
6. Flow cytometric analysis of HepG2 cells with PI 3 Kinase p85 alpha antibody at 1/50 dilution (red) compared with an unlabelled control (cells without incubation with primary antibody; black). Alexa Fluor 488-conjugated goat anti rabbit IgG was used as the secondary antibody.
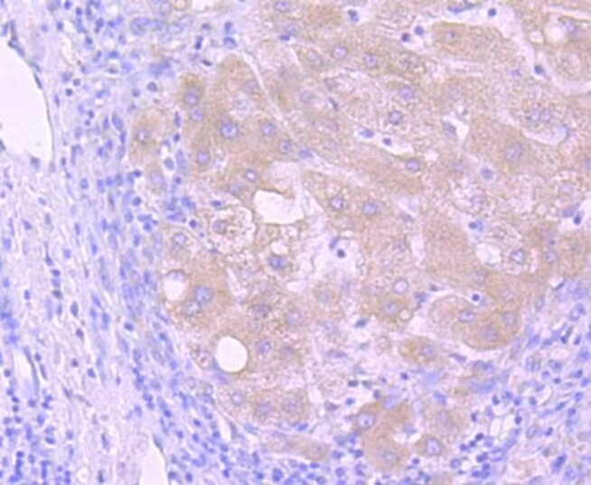
7. Immunohistochemical analysis of paraffin-embedded human liver carcinoma tissue using anti-PI 3 Kinase p85 alpha antibody. The section was pre-treated using heat mediated antigen retrieval with Tris-EDTA buffer (pH 8.0-8.4) for 20 minutes.The tissues were blocked in 5% BSA for 30 minutes at room temperature, washed with ddH2O and PBS, and then probed with the primary antibody (1/50) for 30 minutes at room temperature. The detection was performed using an HRP conjugated compact polymer system. DAB was used as the chromogen. Tissues were counterstained with hematoxylin and mounted with DPX.
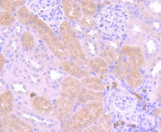
8. Immunohistochemical analysis of paraffin-embedded human kidney tissue using anti-PI 3 Kinase p85 alpha antibody. The section was pre-treated using heat mediated antigen retrieval with Tris-EDTA buffer (pH 8.0-8.4) for 20 minutes.The tissues were blocked in 5% BSA for 30 minutes at room temperature, washed with ddH2O and PBS, and then probed with the primary antibody (1/50) for 30 minutes at room temperature. The detection was performed using an HRP conjugated compact polymer system. DAB was used as the chromogen. Tissues were counterstained with hematoxylin and mounted with DPX
9. Immunohistochemical analysis of paraffin-embedded mouse kidney tissue using anti-PI 3 Kinase p85 alpha antibody. The section was pre-treated using heat mediated antigen retrieval with Tris-EDTA buffer (pH 8.0-8.4) for 20 minutes.The tissues were blocked in 5% BSA for 30 minutes at room temperature, washed with ddH2O and PBS, and then probed with the primary antibody (1/50) for 30 minutes at room temperature. The detection was performed using an HRP conjugated compact polymer system. DAB was used as the chromogen. Tissues were counterstained with hematoxylin and mounted with DPX.
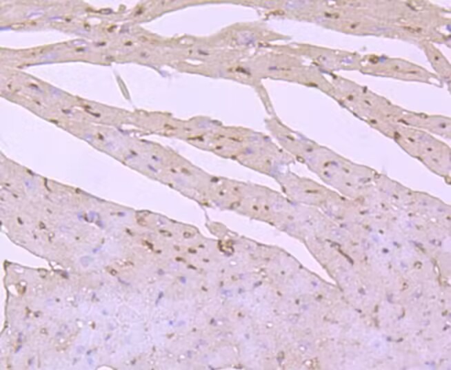
10. Immunohistochemical analysis of paraffin-embedded mouse heart tissue using anti-PI 3 Kinase p85 alpha antibody. The section was pre-treated using heat mediated antigen retrieval with Tris-EDTA buffer (pH 8.0-8.4) for 20 minutes.The tissues were blocked in 5% BSA for 30 minutes at room temperature, washed with ddH2O and PBS, and then probed with the primary antibody (1/50) for 30 minutes at room temperature. The detection was performed using an HRP conjugated compact polymer system. DAB was used as the chromogen. Tissues were counterstained with hematoxylin and mounted with DPX.
verifiedActivityverifiedActivityverifiedActivityverifiedActivityverifiedActivityverifiedActivityverifiedActivityverifiedActivityverifiedActivityverifiedActivity
应用FCMICC/IFIHCWB
推荐剂量
WB: 1:1000-2000; IHC: 1:50-200; ICC/IF: 1:50-200; FCM: 1:50-100
抗体种类
Monoclonal
宿主来源Rabbit
构建方式Recombinant Antibody
纯化方式ProA affinity purified
性状Liquid
缓冲液1*TBS (pH7.4), 0.05% BSA, 40% Glycerol. Preservative: 0.05% Sodium Azide.
研究背景Phosphatidylinositol 3-kinase (PI 3-kinase) phosphorylates the 3' OH position of the inositol ring of inositol lipids and is composed of p85 and p110 subunits. PI 3-kinase p85 lacks PI 3-kinase activity and acts as an adapter, coupling p110 to activated protein tyrosine kinase. Two forms of p85 have been described (p85α and p85β), each possessing one SH3 and two SH2 domains. PI 3-kinase p85α, also known as GRB1, phosphatidylinositol 3-kinase regulatory 1 or p85, is a 724 amino acid protein that exists as four alternatively spliced isoforms. Involved in insulin metabolism, defects in the PI 3-kinase p85α gene have been linked to insulin resistance. PI 3-kinase p85α is polyubiquitinated in T-cells by Cbl-b, and has multiple phosphorylated amino acid residues, including a phosphorylated tyrosine residue at position 467.
偶联与修饰
偶联
Unconjugated
抗原信息
免疫原
A synthesized peptide: C-terminal human PI 3 Kinase p85 alpha
抗原种属
human
Uniprot ID
化学信息
分子量Theoretical: 84 kDa.
储存&溶解度
储存方式Store at -20°C or -80°C for 12 months. Avoid repeated freeze-thaw cycles.
运输方式Shipping with blue ice.

计算器

  • 稀释 计算器
  • 配液 计算器
Related Tags: buy Anti-PIK3R1 Antibody (9O121) | purchase Anti-PIK3R1 Antibody (9O121) | Anti-PIK3R1 Antibody (9O121) cost | order Anti-PIK3R1 Antibody (9O121) | Anti-PIK3R1 Antibody (9O121) molecular weight