购物车
  • 全部删除
  • TargetMol
    您的购物车当前为空

Anti-Phospho-mTOR (Ser2448) Polyclonal Antibody 2

一键复制产品信息
Rating icon 还可以
产品编号 TMAC-02675
别名 p-mTOR (Ser2448), p-mTOR (S2448), mTOR (p-Ser2448), mTOR (p-S2448)

Anti-Phospho-mTOR (Ser2448) Polyclonal Antibody 是一种 Rabbit 抗体,靶向 Phospho-mTOR (Ser2448)。Anti-Phospho-mTOR (Ser2448) Polyclonal Antibody 可用于 IF,IHC,WB。

Anti-Phospho-mTOR (Ser2448) Polyclonal Antibody 2

Anti-Phospho-mTOR (Ser2448) Polyclonal Antibody 2

一键复制产品信息
Rating icon 还可以
产品编号 TMAC-02675 别名 p-mTOR (Ser2448), p-mTOR (S2448), mTOR (p-Ser2448), mTOR (p-S2448)

Anti-Phospho-mTOR (Ser2448) Polyclonal Antibody 是一种 Rabbit 抗体,靶向 Phospho-mTOR (Ser2448)。Anti-Phospho-mTOR (Ser2448) Polyclonal Antibody 可用于 IF,IHC,WB。

规格价格库存数量
50 μL
¥ 1,480
5日内发货
100 μL
¥ 2,230
5日内发货
大包装 & 定制
加入购物车
TargetMol 的所有产品仅用作科学研究或药证申报,不能被用于人体,我们不向个人提供产品和服务。请您遵守承诺用途,不得违反法律法规规定用于任何其他用途。
实验操作小课堂
常见问题解答
查看更多
联系我们获取更多批次信息
资源下载

产品介绍

生物活性
产品描述
Anti-Phospho-mTOR (Ser2448) Polyclonal Antibody is a Rabbit antibody targeting Phospho-mTOR (Ser2448). Anti-Phospho-mTOR (Ser2448) Polyclonal Antibody can be used in IF,IHC,WB.
别名p-mTOR (Ser2448), p-mTOR (S2448), mTOR (p-Ser2448), mTOR (p-S2448)
Ig Type
IgG
交叉反应
Human,Mouse,Rat
验证活性
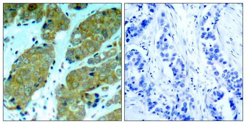
1. Immunohistochemical analysis of paraffin-embedded human breast carcinoma tissue using mTOR (Phospho-Ser2448) Antibody TMAC-02675 (left) or the same antibody preincubated with blocking peptide (right).
2. Immunofluorescence staining of methanol-fixed MCF cells using mTOR (Phospho-Ser2448) Antibody TMAC-02675.
3. Western blot analysis of extracts from 293 cells untreatedor treated with PMA using mTOR (Phospho-Ser2448) Antibody TMAC-02675.
4. Immunohistochemical analysis ofparaffin-embedded human breast carcinomatissue using mTOR (Phospho-Ser2448) Antibody TMAC-02675.
5. Western blot analysis of extracts from Hela cells, treatedwith IFNa or calf intestinal phosphatase (CIP), using mTOR (Phospho-Ser2448) Antibody TMAC-02675.
verifiedActivityverifiedActivityverifiedActivityverifiedActivityverifiedActivity
应用IFIHCWB
抗体种类
Polyclonal
宿主来源Rabbit
构建方式Polyclonal Antibody
纯化方式Antibodies were produced by immunizing rabbits with synthetic phosphopeptide and KLH conjugates. Antibodies were purified by affinity-chromatography using epitope-specific phosphopeptide. Non-phospho specific antibodies were removed by chromatogramphy using non-phosphopeptide.
性状Liquid
缓冲液Supplied at 1.0mg/mL in phosphate buffered saline (without Mg2+ and Ca2+), pH 7.4, 150mM NaCl, 0.02% sodium azide and 50% glycerol.
研究背景Kinase subunit of both mTORC1 and mTORC2, which regulate cell growth and survival in response to nutrient and hormonal signals. mTORC1 is activated in response to growth factors or amino-acids. Amino-acid-signaling to mTORC1 is mediated by Rag GTPases, which cause amino-acid-induced relocalization of mTOR within the endomembrane system. Growth factor-stimulated mTORC1 activation involves AKT1-mediated phosphorylation of TSC1-TSC2, which leads to the activation of the RHEB GTPase that potently activates the protein kinase activity of mTORC1. Activated mTORC1 up-regulates protein synthesis by phosphorylating key regulators of mRNA translation and ribosome synthesis. mTORC1 phosphorylates EIF4EBP1 and releases it from inhibiting the elongation initiation factor 4E (eiF4E). mTORC1 phosphorylates and activates S6K1 at 'Thr-421', which then promotes protein synthesis by phosphorylating PDCD4 and targeting it for degradation. mTORC2 is also activated by growth factors, but seems to be nutrient-insensitive. mTORC2 seems to function upstream of Rho GTPases to regulate the actin cytoskeleton, probably by activating one or more Rho-type guanine nucleotide exchange factors. mTORC2 promotes the serum-induced formation of stress-fibers or F-actin. mTORC2 plays a critical role in AKT1 'Ser-473' phosphorylation, which may facilitate the phosphorylation of the activation loop of AKT1 on 'Thr-308' by PDK1 which is a prerequisite for full activation. mTORC2 regulates the phosphorylation of SGK1 at 'Ser-422'. mTORC2 also modulates the phosphorylation of PRKCA on 'Ser-657'.
偶联与修饰
偶联
Unconjugated
其他可选修饰符
Phospho
抗原信息
免疫原
Peptide sequence around phosphorylation site of serine 2448 (T-D-S(p)-Y-S) derived from Human mTOR
抗原种属
human
Uniprot ID
存储&运输
储存方式Store at 2°C-8°C for 1 month. Store at -20°C or -80°C for 12 months. Avoid repeated freeze-thaw cycles.
运输方式Shipping with blue ice.

计算器

  • 稀释 计算器

关键词

评论列表

4个月前
5.0
Rating icon 很棒

评论内容

Related Tags: buy Anti-Phospho-mTOR (Ser2448) Polyclonal Antibody 2 | purchase Anti-Phospho-mTOR (Ser2448) Polyclonal Antibody 2 | Anti-Phospho-mTOR (Ser2448) Polyclonal Antibody 2 cost | order Anti-Phospho-mTOR (Ser2448) Polyclonal Antibody 2