购物车
  • TargetMol
    您的购物车当前为空

Anti-PGAM1 Antibody (6H458)

Synonyms: Phosphoglycerate mutase isozyme B, Phosphoglycerate mutase 1, PGAM-B, PGAMA, PGAM 1, EC 5.4.2.4, EC 5.4.2.11, BPG-dependent PGAM 1
货号 TMAC-03171 一键复制产品信息
Rating icon 还可以

Anti-PGAM1 Antibody (6H458) 是一种 Rabbit 抗体,靶向 PGAM1。Anti-PGAM1 Antibody (6H458) 可用于 FCM,IHC,WB。

Anti-PGAM1 Antibody (6H458)

一键复制产品信息
Rating icon 还可以
货号 TMAC-03171

别名 Phosphoglycerate mutase isozyme B, Phosphoglycerate mutase 1, PGAM-B, PGAMA, PGAM 1, EC 5.4.2.4, EC 5.4.2.11, BPG-dependent PGAM 1

Anti-PGAM1 Antibody (6H458) 是一种 Rabbit 抗体,靶向 PGAM1。Anti-PGAM1 Antibody (6H458) 可用于 FCM,IHC,WB。

Anti-PGAM1 Antibody (6H458)
规格价格库存数量
50 μL
¥ 1,485
5日内发货
100 μL
¥ 2,480
5日内发货
库存状态实时更新,以官网显示为准,现货产品可直接加购物车下单
大包装 & 定制
加入购物车

TargetMol的所有产品仅用作科学研究或药证申报,不能被用于人体,我们不向个人提供产品和服务。请您遵守承诺用途,不得违反法律法规规定用于任何其他用途。

实验操作小课堂
常见问题解答
查看更多

资源下载:产品操作手册

产品介绍


生物活性
产品描述
Anti-PGAM1 Antibody (6H458) is a Rabbit antibody targeting PGAM1. Anti-PGAM1 Antibody (6H458) can be used in FCM,IHC,WB.
别名
Phosphoglycerate mutase isozyme B, Phosphoglycerate mutase 1, PGAM-B, PGAMA, PGAM 1, EC 5.4.2.4, EC 5.4.2.11, BPG-dependent PGAM 1
Ig Type
IgG
克隆号
6H458
反应种属
Human,Mouse,Rat
验证活性
1. Western blot analysis of PGAM1 on different lysates using anti-PGAM1 antibody at 1/2,000 dilution. Positive control: Lane 1: A431, Lane 2: A549, Lane 3: Rat brain, Lane 4: Mouse brain.
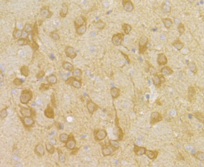
2. Immunohistochemical analysis of paraffin-embedded rat brain tissue using anti-PGAM1 antibody. Counter stained with hematoxylin.
3. Immunohistochemical analysis of paraffin-embedded human liver tissue using anti-PGAM1 antibody. Counter stained with hematoxylin.
4. Flow cytometric analysis of Jurkat cells with PGAM1 antibody at 1/100 dilution (purple) compared with an unlabelled control (cells without incubation with primary antibody; yellow). Alexa Fluor 488-conjugated goat anti-rabbit IgG was used as the secondary antibody.
verifiedActivityverifiedActivityverifiedActivityverifiedActivity
应用FCMIHCWB
推荐剂量
WB: 1:500-2000; IHC: 1:50-100; FCM: 1:50-100
抗体种类
Monoclonal
宿主来源Rabbit
构建方式Recombinant Antibody
纯化方式ProA affinity purified
性状Liquid
缓冲液1*TBS (pH7.4), 1%BSA, 40%Glycerol. Preservative: 0.05% Sodium Azide.
研究背景Members of the PGAM (phosphoglycerate mutase) family of proteins are important components of glucose and 2,3-BPGA (2,3-bisphosphoglycerate) metabolism. They are responsible for catalyzing the transfer of phospho groups between the carbon atoms of phosphoglycerates. In mammals there are two types of PGAM isozymes: PGAM1 (also known as PGAMB) and PGAM2 (also known as PGAMA). In the cell, PGAM1 and PGAM2 exist as either homodimers or heterodimers and are responsible for the interconversion of 3-phosphoglycerate and 2-phosphoglycerate. PGAM2 homodimers are expressed in skeletal muscle, mature sperm cells and heart; PGAM1 homodimers are found in most other tissues; and PGAM1/PGAM2 heterodimers are found exclusively in the heart. PGAM4, also known as PGAM3, is a protein formerly considered to be specific to humans. Initially the PGAM4 gene was described as a pseudogene but it is now known to encode a functional protein at least 25 million years old. The gene encoding PGAM4 is believed to have originated by retrotransposition, with the original copy being the PGAM1 gene.
偶联与修饰
偶联
Unconjugated
抗原信息
Uniprot ID
化学信息
分子量Theoretical: 29 kDa.
储存&溶解度
储存方式Store at -20°C or -80°C for 12 months. Avoid repeated freeze-thaw cycles.
运输方式Shipping with blue ice.

计算器

  • 稀释 计算器
  • 配液 计算器
Related Tags: buy Anti-PGAM1 Antibody (6H458) | purchase Anti-PGAM1 Antibody (6H458) | Anti-PGAM1 Antibody (6H458) cost | order Anti-PGAM1 Antibody (6H458) | Anti-PGAM1 Antibody (6H458) molecular weight