购物车
  • TargetMol
    您的购物车当前为空

Anti-PCNA Antibody (2C751)

Synonyms: proliferating cell nuclear antigen, ATLD2
货号 TMAC-03101 一键复制产品信息
Rating icon 还可以
202603开学季活动

Anti-PCNA Antibody (2C751) 是一种 Rabbit 抗体,靶向 PCNA。Anti-PCNA Antibody (2C751) 可用于 FCM,ICC/IF,IHC,IP,WB。

Anti-PCNA Antibody (2C751)

一键复制产品信息
Rating icon 还可以
202603开学季活动
货号 TMAC-03101

别名 proliferating cell nuclear antigen, ATLD2

Anti-PCNA Antibody (2C751) 是一种 Rabbit 抗体,靶向 PCNA。Anti-PCNA Antibody (2C751) 可用于 FCM,ICC/IF,IHC,IP,WB。

Anti-PCNA Antibody (2C751)
规格价格库存数量
50 μL
¥ 1,495
5日内发货
100 μL
¥ 2,485
5日内发货
库存状态实时更新,以官网显示为准,现货产品可直接加购物车下单
大包装 & 定制
加入购物车

TargetMol的所有产品仅用作科学研究或药证申报,不能被用于人体,我们不向个人提供产品和服务。请您遵守承诺用途,不得违反法律法规规定用于任何其他用途。

实验操作小课堂
常见问题解答
查看更多

资源下载:产品操作手册

产品介绍


生物活性
产品描述
Anti-PCNA Antibody (2C751) is a Rabbit antibody targeting PCNA. Anti-PCNA Antibody (2C751) can be used in FCM,ICC/IF,IHC,IP,WB.
别名
proliferating cell nuclear antigen, ATLD2
Ig Type
IgG
克隆号
2C751
反应种属
Human,Mouse,Rat
验证活性
1. Western blot analysis of PCNA on different lysates using anti-PCNA antibody at 1/1,000 dilution. Positive control: Lane 1: Hela, Lane 2: 293, Lane 3: A431.
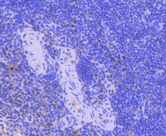
2. Immunohistochemical analysis of paraffin-embedded human tonsil tissue using anti-PCNA antibody. Counter stained with hematoxylin.
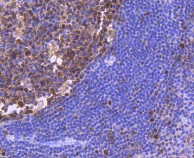
3. Immunohistochemical analysis of paraffin-embedded human spleen tissue using anti-PCNA antibody. Counter stained with hematoxylin.
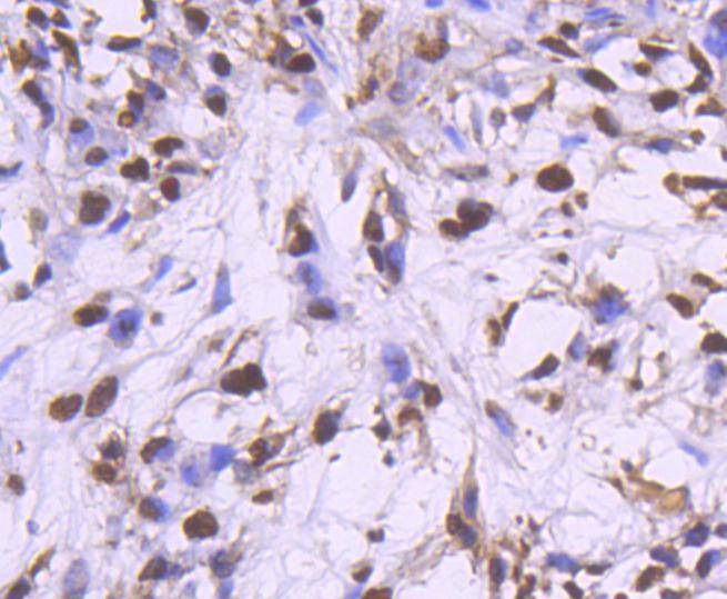
4. Immunohistochemical analysis of paraffin-embedded human breast carcinama tissue using anti-PCNA antibody. Counter stained with hematoxylin.
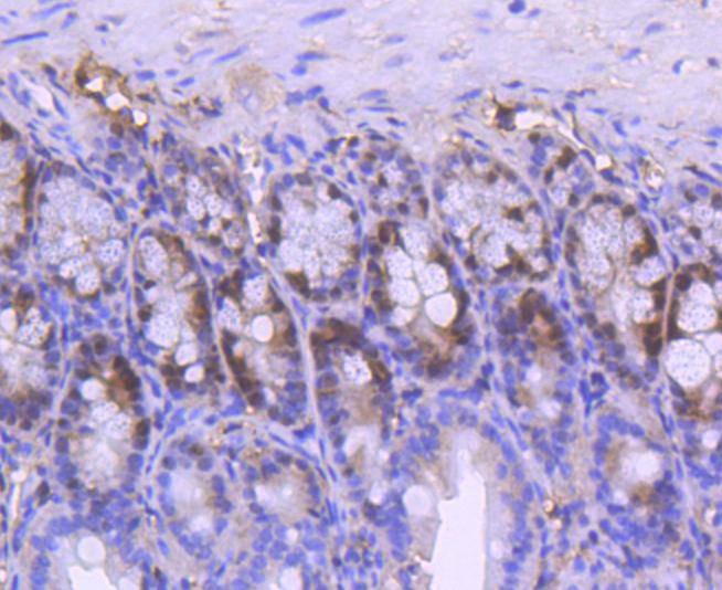
5. Immunohistochemical analysis of paraffin-embedded mouse colon tissue using anti-PCNA antibody. Counter stained with hematoxylin.
6. Immunohistochemical analysis of paraffin-embedded mouse spleen tissue using anti-PCNA antibody. Counter stained with hematoxylin.
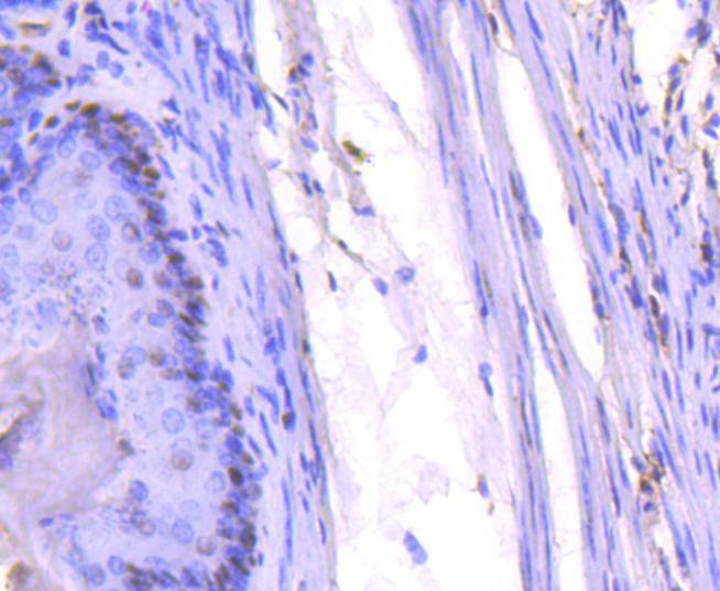
7. Immunohistochemical analysis of paraffin-embedded mouse stomach tissue using anti-PCNA antibody. Counter stained with hematoxylin.
8. Flow cytometric analysis of Hela cells with PCNA antibody at 1/50 dilution (red) compared with an unlabelled control (cells without incubation with primary antibody; black). Alexa Fluor 488-conjugated goat anti rabbit IgG was used as the secondary antibody.
verifiedActivityverifiedActivityverifiedActivityverifiedActivityverifiedActivityverifiedActivityverifiedActivityverifiedActivity
应用FCMICC/IFIHCIPWB
推荐剂量
WB: 1:1000-5000; IHC: 1:100-500; ICC/IF: 1:50-200; FCM: 1:50-100
抗体种类
Monoclonal
宿主来源Rabbit
构建方式Recombinant Antibody
纯化方式ProA affinity purified
性状Liquid
缓冲液1*TBS (pH7.4), 1%BSA, 40%Glycerol. Preservative: 0.05% Sodium Azide.
研究背景The proliferating cell nuclear antigen (PCNA), a protein synthesized in early G1 and S phases of the cell cycle, functions in cell cycle progression, DNA replication and DNA repair. In early S phase, PCNA exhibits granular distribution and is absent from the nucleoli; however, in late S phase, it relocates to the nucleoli. PCNA exists in two basic forms: one involved in ongoing DNA replication, which localizes specifically to the nucleus, and a second, soluble form, not implicated in constant synthesis. Interestingly, the latter form degrades in the presence of organic solvents, rendering it undetectable by histological methods in tissues using organic fixatives, and thus also providing a method of visualizing only the synthesizing form.
偶联与修饰
偶联
Unconjugated
抗原信息
免疫原
Recombinant Protein
Uniprot ID
化学信息
分子量Theoretical: 29 kDa.
储存&溶解度
储存方式Store at -20°C or -80°C for 12 months. Avoid repeated freeze-thaw cycles.
运输方式Shipping with blue ice.

计算器

  • 稀释 计算器
  • 配液 计算器

关键词

Related Tags: buy Anti-PCNA Antibody (2C751) | purchase Anti-PCNA Antibody (2C751) | Anti-PCNA Antibody (2C751) cost | order Anti-PCNA Antibody (2C751) | Anti-PCNA Antibody (2C751) molecular weight