购物车
  • TargetMol
    您的购物车当前为空

Anti-Lactoylglutathione lyase/GLO1 Antibody (8P849)

Synonyms: S-D-lactoylglutathione methylglyoxal lyase, Methylglyoxalase, Lactoylglutathione lyase, Ketone-aldehyde mutase, Glyoxalase I (Glx I), GLO1, Aldoketomutase
货号 TMAC-01668 一键复制产品信息
Rating icon 还可以

Anti-Lactoylglutathione lyase/GLO1 Antibody (8P849) 是一种 Rabbit 抗体,靶向 Lactoylglutathione lyase/GLO1。Anti-Lactoylglutathione lyase/GLO1 Antibody (8P849) 可用于 FCM,ICC,IHC,WB。

Anti-Lactoylglutathione lyase/GLO1 Antibody (8P849)

一键复制产品信息
Rating icon 还可以
货号 TMAC-01668

别名 S-D-lactoylglutathione methylglyoxal lyase, Methylglyoxalase, Lactoylglutathione lyase, Ketone-aldehyde mutase, Glyoxalase I (Glx I), GLO1, Aldoketomutase

Anti-Lactoylglutathione lyase/GLO1 Antibody (8P849) 是一种 Rabbit 抗体,靶向 Lactoylglutathione lyase/GLO1。Anti-Lactoylglutathione lyase/GLO1 Antibody (8P849) 可用于 FCM,ICC,IHC,WB。

Anti-Lactoylglutathione lyase/GLO1 Antibody (8P849)
规格价格库存数量
50 μL
¥ 1,490
5日内发货
100 μL
¥ 2,495
5日内发货
库存状态实时更新,以官网显示为准,现货产品可直接加购物车下单
大包装 & 定制
加入购物车

TargetMol的所有产品仅用作科学研究或药证申报,不能被用于人体,我们不向个人提供产品和服务。请您遵守承诺用途,不得违反法律法规规定用于任何其他用途。

实验操作小课堂
常见问题解答
查看更多

资源下载:产品操作手册

产品介绍


生物活性
产品描述
Anti-Lactoylglutathione lyase/GLO1 Antibody (8P849) is a Rabbit antibody targeting Lactoylglutathione lyase/GLO1. Anti-Lactoylglutathione lyase/GLO1 Antibody (8P849) can be used in FCM,ICC,IHC,WB.
别名
S-D-lactoylglutathione methylglyoxal lyase, Methylglyoxalase, Lactoylglutathione lyase, Ketone-aldehyde mutase, Glyoxalase I (Glx I), GLO1, Aldoketomutase
Ig Type
IgG
克隆号
8P849
反应种属
Human,Mouse,Rat
验证活性
1. Western blot analysis of GLO1 on different lysates using anti-GLO1 antibody at 1/500 dilution. Positive control: Lane 1: Mouse testis tissue, Lane 2: C2C12, Lane 3: 293, Lane 4: Rat spleen tissue.
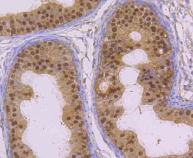
2. Immunohistochemical analysis of paraffin-embedded rat epididymis tissue using anti-GLO1 antibody. Counter stained with hematoxylin.
3. Immunohistochemical analysis of paraffin-embedded human thyroid gland tissue using anti-GLO1 antibody. Counter stained with hematoxylin.
4. ICC staining GLO1 in 293T cells (green). The nuclear counter stain is DAPI (blue). Cells were fixed in paraformaldehyde, permeabilised with 0.25% Triton X100/PBS.
5. ICC staining GLO1 in HUVEC cells (green). The nuclear counter stain is DAPI (blue). Cells were fixed in paraformaldehyde, permeabilised with 0.25% Triton X100/PBS.
6. ICC staining GLO1 in SH-SY5Y cells (green). The nuclear counter stain is DAPI (blue). Cells were fixed in paraformaldehyde, permeabilised with 0.25% Triton X100/PBS.
7. Flow cytometric analysis of Hela cells with GLO1 antibody at 1/100 dilution (red) compared with an unlabelled control (cells without incubation with primary antibody; black).
verifiedActivityverifiedActivityverifiedActivityverifiedActivityverifiedActivityverifiedActivityverifiedActivity
应用FCMICCIHCWB
推荐剂量
WB: 1:500-2000; IHC: 1:100-500; ICC: 1:100-500; FCM: 1:50-100
抗体种类
Monoclonal
宿主来源Rabbit
构建方式Recombinant Antibody
纯化方式ProA affinity purified
性状Liquid
缓冲液1*TBS (pH7.4), 1%BSA, 40%Glycerol. Preservative: 0.05% Sodium Azide.
研究背景The glyoxal pathway plays a role in the detoxification of glucose degradation products (GDP). Glyoxalase I (GLO1), a member of the glyoxalase family, is effective in eliminating GDP. Overexpression or silencing of Glyoxalase I in mice brain suggests an association between Glyoxalase I and anxiety. Glyoxalase I has three isoforms generated from two alleles in the genome which forms two homodimers and one heterodimer, each subunit binding one zinc ion. Research demonstrates that GLO1 gene expression is induced in colon carcinoma. Both an insulin response element (IRE), and a zinc metal response element (MRE) in the promoter region of the GLO1 gene have been identified.
偶联与修饰
偶联
Unconjugated
抗原信息
免疫原
Recombinant Protein
Uniprot ID
化学信息
分子量Theoretical: 21 kDa.
储存&溶解度
储存方式Store at -20°C or -80°C for 12 months. Avoid repeated freeze-thaw cycles.
运输方式Shipping with blue ice.

计算器

  • 稀释 计算器
  • 配液 计算器
Related Tags: buy Anti-Lactoylglutathione lyase/GLO1 Antibody (8P849) | purchase Anti-Lactoylglutathione lyase/GLO1 Antibody (8P849) | Anti-Lactoylglutathione lyase/GLO1 Antibody (8P849) cost | order Anti-Lactoylglutathione lyase/GLO1 Antibody (8P849) | Anti-Lactoylglutathione lyase/GLO1 Antibody (8P849) molecular weight