购物车
  • TargetMol
    您的购物车当前为空

Anti-KAP1 Antibody (4I621)

Synonyms: Tripartite motif-containing protein 28, tripartite motif containing protein 28, Tripartite motif containing 28, Trim28, Transcription intermediary factor 1-beta, Transcription intermediary factor 1 beta, TIF1-beta, TIF1B_HUMAN, TIF1B, TIF1 beta, TF1B, RNF96, RING finger protein 96, Nuclear corepressor KAP-1, Nuclear corepressor KAP 1, KRIP-1, KRIP1, KRIP 1, KRAB-interacting protein 1, KRAB-associated protein 1, KRAB interacting protein 1, KRAB associated protein 1, KAP 1, FLJ29029, E3 SUMO-protein ligase TRIM28, E3 SUMO protein ligase TRIM28
货号 TMAC-02296 一键复制产品信息
Rating icon 还可以

Anti-KAP1 Antibody (4I621) 是一种 Rabbit 抗体,靶向 KAP1。Anti-KAP1 Antibody (4I621) 可用于 FCM,ICC/IF,IHC,WB。

Anti-KAP1 Antibody (4I621)

一键复制产品信息
Rating icon 还可以
货号 TMAC-02296

别名 Tripartite motif-containing protein 28, tripartite motif containing protein 28, Tripartite motif containing 28, Trim28, Transcription intermediary factor 1-beta, Transcription intermediary factor 1 beta, TIF1-beta, TIF1B_HUMAN, TIF1B, TIF1 beta, TF1B, RNF96, RING finger protein 96, Nuclear corepressor KAP-1, Nuclear corepressor KAP 1, KRIP-1, KRIP1, KRIP 1, KRAB-interacting protein 1, KRAB-associated protein 1, KRAB interacting protein 1, KRAB associated protein 1, KAP 1, FLJ29029, E3 SUMO-protein ligase TRIM28, E3 SUMO protein ligase TRIM28

Anti-KAP1 Antibody (4I621) 是一种 Rabbit 抗体,靶向 KAP1。Anti-KAP1 Antibody (4I621) 可用于 FCM,ICC/IF,IHC,WB。

Anti-KAP1 Antibody (4I621)
规格价格库存数量
50 μL
¥ 1,480
5日内发货
100 μL
¥ 2,495
5日内发货
库存状态实时更新,以官网显示为准,现货产品可直接加购物车下单
大包装 & 定制
加入购物车
TargetMol的所有产品仅用作科学研究或药证申报,不能被用于人体,我们不向个人提供产品和服务。请您遵守承诺用途,不得违反法律法规规定用于任何其他用途。
实验操作小课堂
常见问题解答
查看更多

资源下载:产品操作手册

产品介绍


生物活性
产品描述
Anti-KAP1 Antibody (4I621) is a Rabbit antibody targeting KAP1. Anti-KAP1 Antibody (4I621) can be used in FCM,ICC/IF,IHC,WB.
别名Tripartite motif-containing protein 28, tripartite motif containing protein 28, Tripartite motif containing 28, Trim28, Transcription intermediary factor 1-beta, Transcription intermediary factor 1 beta, TIF1-beta, TIF1B_HUMAN, TIF1B, TIF1 beta, TF1B, RNF96, RING finger protein 96, Nuclear corepressor KAP-1, Nuclear corepressor KAP 1, KRIP-1, KRIP1, KRIP 1, KRAB-interacting protein 1, KRAB-associated protein 1, KRAB interacting protein 1, KRAB associated protein 1, KAP 1, FLJ29029, E3 SUMO-protein ligase TRIM28, E3 SUMO protein ligase TRIM28
Ig Type
IgG
克隆号
4I621
反应种属
Human,Mouse,Rat
验证活性
1. Western blot analysis of KAP1 on different lysates using anti-KAP1 antibody at 1/1,000 dilution. Positive control: Lane 1: HepG2, Lane 2: Hela.
2. Immunohistochemical analysis of paraffin-embedded human lung cancer tissue using anti-KAP1 antibody. Counter stained with hematoxylin.
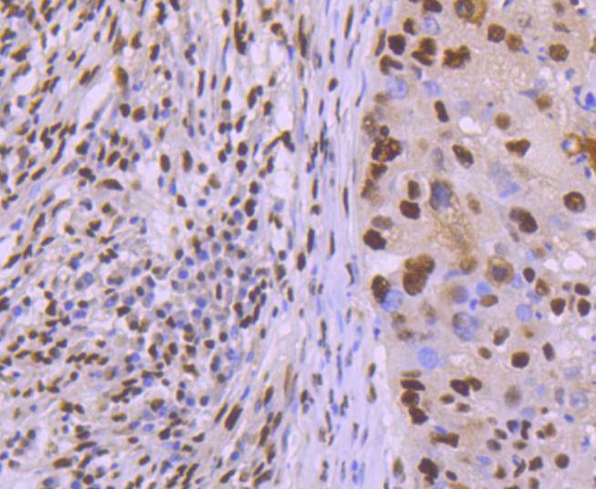
3. Immunohistochemical analysis of paraffin-embedded human liver cancer tissue using anti-KAP1 antibody. Counter stained with hematoxylin.
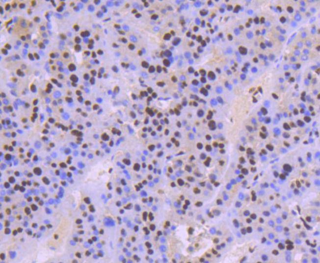
4. Immunohistochemical analysis of paraffin-embedded human breast carcinoma tissue using anti-KAP1 antibody. Counter stained with hematoxylin.
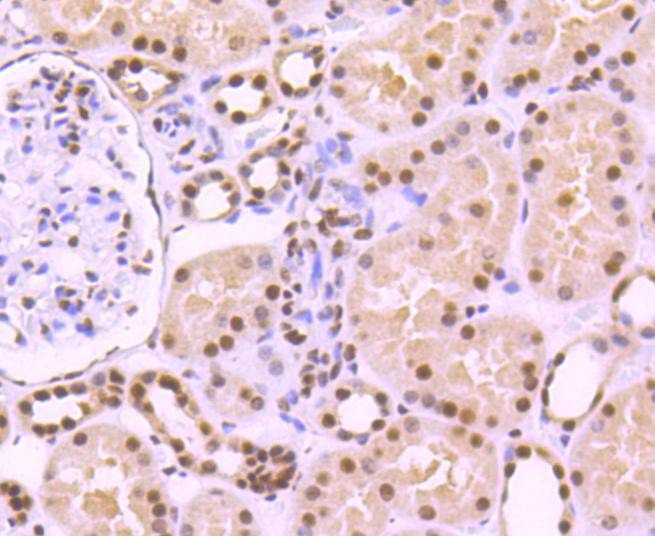
5. Immunohistochemical analysis of paraffin-embedded human kidney tissue using anti-KAP1 antibody. Counter stained with hematoxylin.
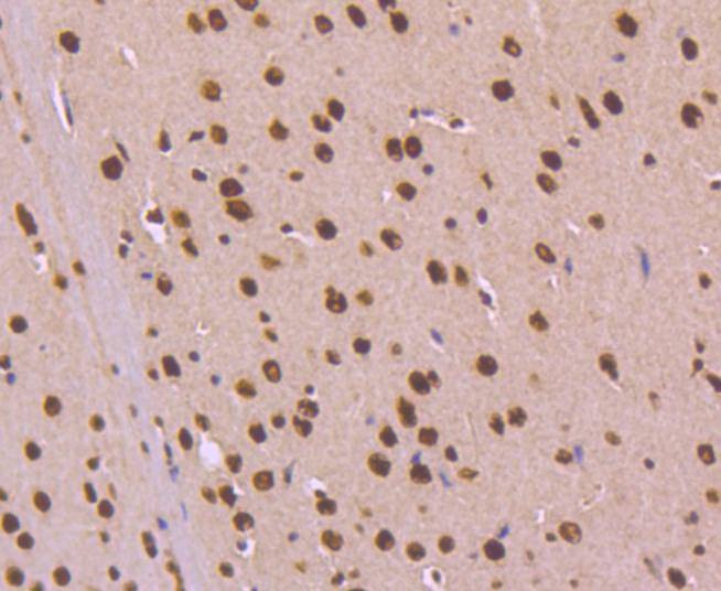
6. Immunohistochemical analysis of paraffin-embedded mouse brain tissue using anti-KAP1 antibody. Counter stained with hematoxylin.
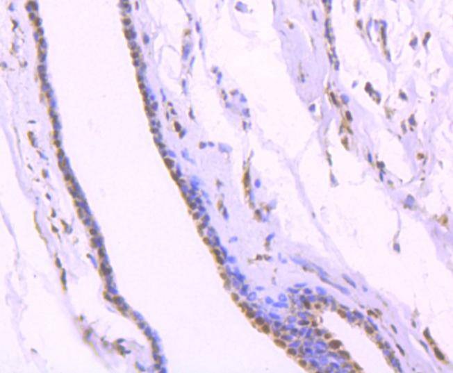
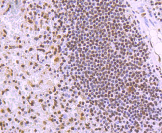
7. Immunohistochemical analysis of paraffin-embedded human spleen tissue using anti-KAP1 antibody. Counter stained with hematoxylin.
8. ICC staining KAP1 in A549 cells (green). The nuclear counter stain is DAPI (blue). Cells were fixed in paraformaldehyde, permeabilised with 0.25% Triton X100/PBS.
9. Flow cytometric analysis of Hela cells with KAP1 antibody at 1/50 dilution (red) compared with an unlabelled control (cells without incubation with primary antibody; black). Alexa Fluor 488-conjugated goat anti rabbit IgG was used as the secondary antibody.
verifiedActivityverifiedActivityverifiedActivityverifiedActivityverifiedActivityverifiedActivityverifiedActivityverifiedActivityverifiedActivity
应用FCMICC/IFIHCWB
推荐剂量
WB: 1:2000-5000; IHC: 1:50-200; ICC/IF: 1:50-200; FCM: 1:50-100
抗体种类
Monoclonal
宿主来源Rabbit
构建方式Recombinant Antibody
纯化方式ProA affinity purified
性状Liquid
缓冲液1*TBS (pH7.4), 1%BSA, 40%Glycerol. Preservative: 0.05% Sodium Azide.
研究背景TIF1β, for transcriptional intermediary factor 1-beta, also designated KAP1(for KRAB-associated protein 1), TF1β and TRIM28 (for tripartif motif-containing 28), is a member of the tripartif motif family characterized by three zinc-binding domains, a RING finger, B-boxes and a coiled-coil domain. Like TIF1α, TIF1β contains both a Cys/His PHD (plant homeodomain) finger and bromodomain that form a cooperative unit required for transcriptional repression. TIF1β mediates transcriptional control by interaction with the Kruppel-associated box (KRAB) repression domain found in many transcription factors and by binding DNA through its zinc finger. The human TIF1β gene maps to human chromosome 19q13.4 and encodes an 835 amino acid nuclear protein.
偶联与修饰
偶联
Unconjugated
抗原信息
免疫原
Recombinant Protein
Uniprot ID
化学信息
分子量Theoretical: 110 kDa.
储存&溶解度
储存方式Store at -20°C or -80°C for 12 months. Avoid repeated freeze-thaw cycles.
运输方式Shipping with blue ice.

计算器

  • 稀释 计算器
  • 配液 计算器
Related Tags: buy Anti-KAP1 Antibody (4I621) | purchase Anti-KAP1 Antibody (4I621) | Anti-KAP1 Antibody (4I621) cost | order Anti-KAP1 Antibody (4I621) | Anti-KAP1 Antibody (4I621) molecular weight