购物车
  • TargetMol
    您的购物车当前为空

Anti-HGFR/c-Met Antibody (4N790)

Synonyms: RCCP2, MET proto-oncogene, receptor tyrosine kinase, HGFR, DFNB97, c-Met, AUTS9
货号 TMAC-02570 一键复制产品信息
Rating icon 还可以

Anti-HGFR/c-Met Antibody (4N790) 是一种 Rabbit 抗体,靶向 HGFR/c-Met。Anti-HGFR/c-Met Antibody (4N790) 可用于 FCM,ICC/IF,IHC,WB。

Anti-HGFR/c-Met Antibody (4N790)

一键复制产品信息
Rating icon 还可以
货号 TMAC-02570

别名 RCCP2, MET proto-oncogene, receptor tyrosine kinase, HGFR, DFNB97, c-Met, AUTS9

Anti-HGFR/c-Met Antibody (4N790) 是一种 Rabbit 抗体,靶向 HGFR/c-Met。Anti-HGFR/c-Met Antibody (4N790) 可用于 FCM,ICC/IF,IHC,WB。

Anti-HGFR/c-Met Antibody (4N790)
规格价格库存数量
50 μL
¥ 1,485
5日内发货
100 μL
¥ 2,485
5日内发货
库存状态实时更新,以官网显示为准,现货产品可直接加购物车下单
大包装 & 定制
加入购物车

TargetMol的所有产品仅用作科学研究或药证申报,不能被用于人体,我们不向个人提供产品和服务。请您遵守承诺用途,不得违反法律法规规定用于任何其他用途。

实验操作小课堂
常见问题解答
查看更多

资源下载:产品操作手册

产品介绍


生物活性
产品描述
Anti-HGFR/c-Met Antibody (4N790) is a Rabbit antibody targeting HGFR/c-Met. Anti-HGFR/c-Met Antibody (4N790) can be used in FCM,ICC/IF,IHC,WB.
别名
RCCP2, MET proto-oncogene, receptor tyrosine kinase, HGFR, DFNB97, c-Met, AUTS9
Ig Type
IgG
克隆号
4N790
反应种属
Human
验证活性
1. Western blot analysis of Met on different lysates using anti-Met antibody at 1/1,000 dilution. Positive control: Lane 1: Hela, Lane 2: HepG2.
2. Immunohistochemical analysis of paraffin-embedded human tonsil tissue using anti-Met antibody. Counter stained with hematoxylin.
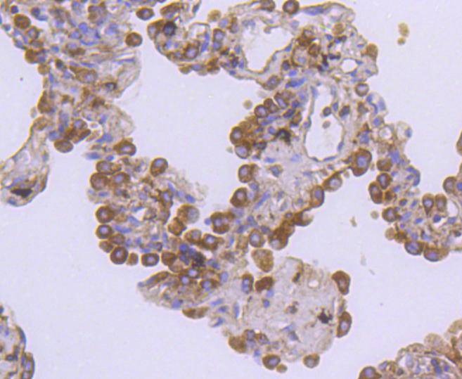
3. Immunohistochemical analysis of paraffin-embedded human lung cancer tissue using anti-Met antibody. Counter stained with hematoxylin.
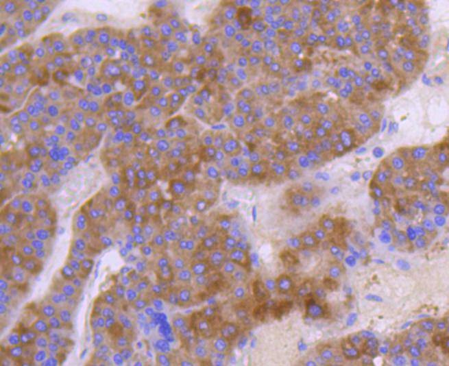
4. Immunohistochemical analysis of paraffin-embedded human liver cancer tissue using anti-Met antibody. Counter stained with hematoxylin.
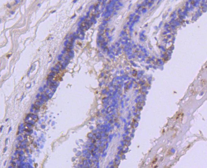
5. Immunohistochemical analysis of paraffin-embedded human breast carcinoma tissue using anti-Met antibody. Counter stained with hematoxylin.
6. ICC staining Met in Hela cells (green). The nuclear counter stain is DAPI (blue). Cells were fixed in paraformaldehyde, permeabilised with 0.25% Triton X100/PBS.
7. Flow cytometric analysis of Hela cells with Met antibody at 1/50 dilution (red) compared with an unlabelled control (cells without incubation with primary antibody; black). Alexa Fluor 488-conjugated goat anti rabbit IgG was used as the secondary antibody.
verifiedActivityverifiedActivityverifiedActivityverifiedActivityverifiedActivityverifiedActivityverifiedActivity
应用FCMICC/IFIHCWB
推荐剂量
WB: 1:1000-5000; IHC: 1:50-200; ICC/IF: 1:50-200; FCM: 1:50-100
抗体种类
Monoclonal
宿主来源Rabbit
构建方式Recombinant Antibody
纯化方式ProA affinity purified
性状Liquid
缓冲液1*TBS (pH7.4), 1%BSA, 40%Glycerol. Preservative: 0.05% Sodium Azide.
研究背景The c-Met oncogene was originally isolated from a chemical carcinogen-treated human osteogenic sarcoma cell line by transfection analysis in NIH/3T3 cells. The Met proto-oncogene product was identified as a transmembrane receptor-like protein with tyrosine kinase activity that is expressed in many tissues. A high proportion of spontaneous NIH/3T3 transformants overexpress c-Met and by transfection analysis the c-Met proto-oncogene has been shown to exhibit transforming activity. Tyrosine phosphorylation of apparently normal Met protein has also been observed in certain human gastric carcinoma cell lines . The c-Met gene product has been identified as the cell-surface receptor for hepatocyte growth factor, a plasminogen-like protein thought to be a humoral mediator of liver regeneration.
偶联与修饰
偶联
Unconjugated
抗原信息
免疫原
Recombinant Protein
Uniprot ID
化学信息
分子量Theoretical: 155 kDa.
储存&溶解度
储存方式Store at -20°C or -80°C for 12 months. Avoid repeated freeze-thaw cycles.
运输方式Shipping with blue ice.

计算器

  • 稀释 计算器
  • 配液 计算器
Related Tags: buy Anti-HGFR/c-Met Antibody (4N790) | purchase Anti-HGFR/c-Met Antibody (4N790) | Anti-HGFR/c-Met Antibody (4N790) cost | order Anti-HGFR/c-Met Antibody (4N790) | Anti-HGFR/c-Met Antibody (4N790) molecular weight