购物车
  • TargetMol
    您的购物车当前为空

Anti-GSN Antibody (3E486)

货号 TMAC-01642 一键复制产品信息
Rating icon 还可以
202603开学季活动

Anti-GSN Antibody (3E486) 是一种 Rabbit 抗体,靶向 GSN。Anti-GSN Antibody (3E486) 可用于 FCM,ICC,IF,IHC,WB。

Anti-GSN Antibody (3E486)

一键复制产品信息
Rating icon 还可以
202603开学季活动
货号 TMAC-01642

Anti-GSN Antibody (3E486) 是一种 Rabbit 抗体,靶向 GSN。Anti-GSN Antibody (3E486) 可用于 FCM,ICC,IF,IHC,WB。

Anti-GSN Antibody (3E486)
规格价格库存数量
50 μL
¥ 1,485
5日内发货
100 μL
¥ 2,480
5日内发货
库存状态实时更新,以官网显示为准,现货产品可直接加购物车下单
大包装 & 定制
加入购物车

TargetMol的所有产品仅用作科学研究或药证申报,不能被用于人体,我们不向个人提供产品和服务。请您遵守承诺用途,不得违反法律法规规定用于任何其他用途。

实验操作小课堂
常见问题解答
查看更多

资源下载:产品操作手册

产品介绍


生物活性
产品描述
Anti-GSN Antibody (3E486) is a Rabbit antibody targeting GSN. Anti-GSN Antibody (3E486) can be used in FCM,ICC,IF,IHC,WB.
Ig Type
IgG
克隆号
3E486
反应种属
Human,Mouse
验证活性
1. Western blot analysis of Gelsolin on different lysates using anti-Gelsolin antibody at 1/500 dilution. Positive control: Lane 1: Mouse thymus, Lane 2: Mouse lung, Lane 3: THP-1, Lane 4: HepG2.
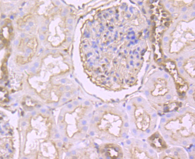
2. Immunohistochemical analysis of paraffin-embedded human kidney tissue using anti-Gelsolin antibody. Counter stained with hematoxylin.
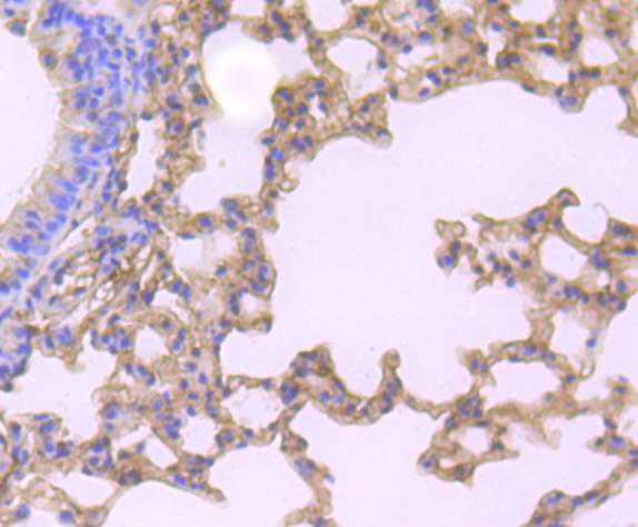
3. Immunohistochemical analysis of paraffin-embedded mouse lung tissue using anti-Gelsolin antibody. Counter stained with hematoxylin.
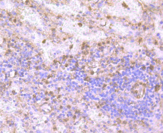
4. Immunohistochemical analysis of paraffin-embedded human spleen tissue using anti-Gelsolin antibody. Counter stained with hematoxylin.
5. ICC staining Gelsolin in NIH-3T3 cells (green). The nuclear counter stain is DAPI (blue). Cells were fixed in paraformaldehyde, permeabilised with 0.25% Triton X100/PBS.
6. ICC staining Gelsolin in SiHa cells (green). The nuclear counter stain is DAPI (blue). Cells were fixed in paraformaldehyde, permeabilised with 0.25% Triton X100/PBS.
7. Flow cytometric analysis of THP-1 cells with Gelsolin antibody at 1/100 dilution (red) compared with an unlabelled control (cells without incubation with primary antibody; black). Alexa Fluor 488-conjugated goat anti-rabbit IgG was used as the secondary antibody.
verifiedActivityverifiedActivityverifiedActivityverifiedActivityverifiedActivityverifiedActivityverifiedActivity
应用FCMICCIFIHCWB
推荐剂量
WB: 1:500-2000; IHC: 1:50-200; ICC: 1:50-200; FCM: 1:50-100
抗体种类
Monoclonal
宿主来源Rabbit
构建方式Recombinant Antibody
纯化方式ProA affinity purified
性状Liquid
缓冲液1*TBS (pH7.4), 1%BSA, 40%Glycerol. Preservative: 0.05% Sodium Azide.
研究背景Gelsolin (also known as brevin, Actin-depolymerizing factor or ADF), a protein of leukocytes, platelets and other cells, severs Actin filaments in the presence of submicromolar calcium, thereby isolating cytoplasmic Actin gels. A calcium-independent mechanism reverses the process. A Gelsolin variant with 23 more amino-terminal amino acids is a plasma component probably involved in the clearance of Actin, the most abundant human protein, from the circulation. It has been suggested that a single gene encodes both cell and plasma gelsolins. Gelsolin may be unique in that it is made for both secretion and intracytoplasmic location. Amino acid homology was identified between Gelsolin and the amyloid of the Finnish variety of amyloidosis. The amyloid in this disorder is antigenically and structurally related to Gelsolin. Gelsolin is the principal intracellular and extracellular Actin-severing protein. Gelsolin and Gc protein together constitute the extracellular Actin-scavenger system which prevents the toxic effects of Actin release into the extracellular space under circumstances of cell necrosis.
偶联与修饰
偶联
Unconjugated
抗原信息
免疫原
Recombinant Protein
Uniprot ID
化学信息
分子量Theoretical: 86 kDa.
储存&溶解度
储存方式Store at -20°C or -80°C for 12 months. Avoid repeated freeze-thaw cycles.
运输方式Shipping with blue ice.

计算器

  • 稀释 计算器
  • 配液 计算器
Related Tags: buy Anti-GSN Antibody (3E486) | purchase Anti-GSN Antibody (3E486) | Anti-GSN Antibody (3E486) cost | order Anti-GSN Antibody (3E486) | Anti-GSN Antibody (3E486) molecular weight