购物车
  • TargetMol
    您的购物车当前为空

Anti-GATA3 Polyclonal Antibody

Synonyms: Trans-acting T-cell-specific transcription factor GATA-3, GATA-binding factor 3, GATA 3
货号 TMAB-00748 一键复制产品信息
Rating icon 还可以
202603开学季活动

Anti-GATA3 Polyclonal Antibody 是一种 Rabbit 抗体,靶向 GATA3。Anti-GATA3 Polyclonal Antibody 可用于 FCM,IF,IHC-Fr,IHC-P。

Anti-GATA3 Polyclonal Antibody

一键复制产品信息
Rating icon 还可以
202603开学季活动
货号 TMAB-00748

别名 Trans-acting T-cell-specific transcription factor GATA-3, GATA-binding factor 3, GATA 3

Anti-GATA3 Polyclonal Antibody 是一种 Rabbit 抗体,靶向 GATA3。Anti-GATA3 Polyclonal Antibody 可用于 FCM,IF,IHC-Fr,IHC-P。

Anti-GATA3 Polyclonal Antibody
规格价格库存数量
50 μL
¥ 1,160
5日内发货
100 μL
¥ 1,960
5日内发货
200 μL
¥ 2,790
5日内发货
库存状态实时更新,以官网显示为准,现货产品可直接加购物车下单
大包装 & 定制
加入购物车

TargetMol的所有产品仅用作科学研究或药证申报,不能被用于人体,我们不向个人提供产品和服务。请您遵守承诺用途,不得违反法律法规规定用于任何其他用途。

实验操作小课堂
常见问题解答
查看更多

资源下载:产品操作手册

产品介绍


生物活性
产品描述
Anti-GATA3 Polyclonal Antibody is a Rabbit antibody targeting GATA3. Anti-GATA3 Polyclonal Antibody can be used in FCM,IF,IHC-Fr,IHC-P.
别名
Trans-acting T-cell-specific transcription factor GATA-3, GATA-binding factor 3, GATA 3
Ig Type
IgG
反应种属
Human (predicted:Mouse,Rat,Chicken,Dog,Pig,Cow,GuineaPig)
验证活性
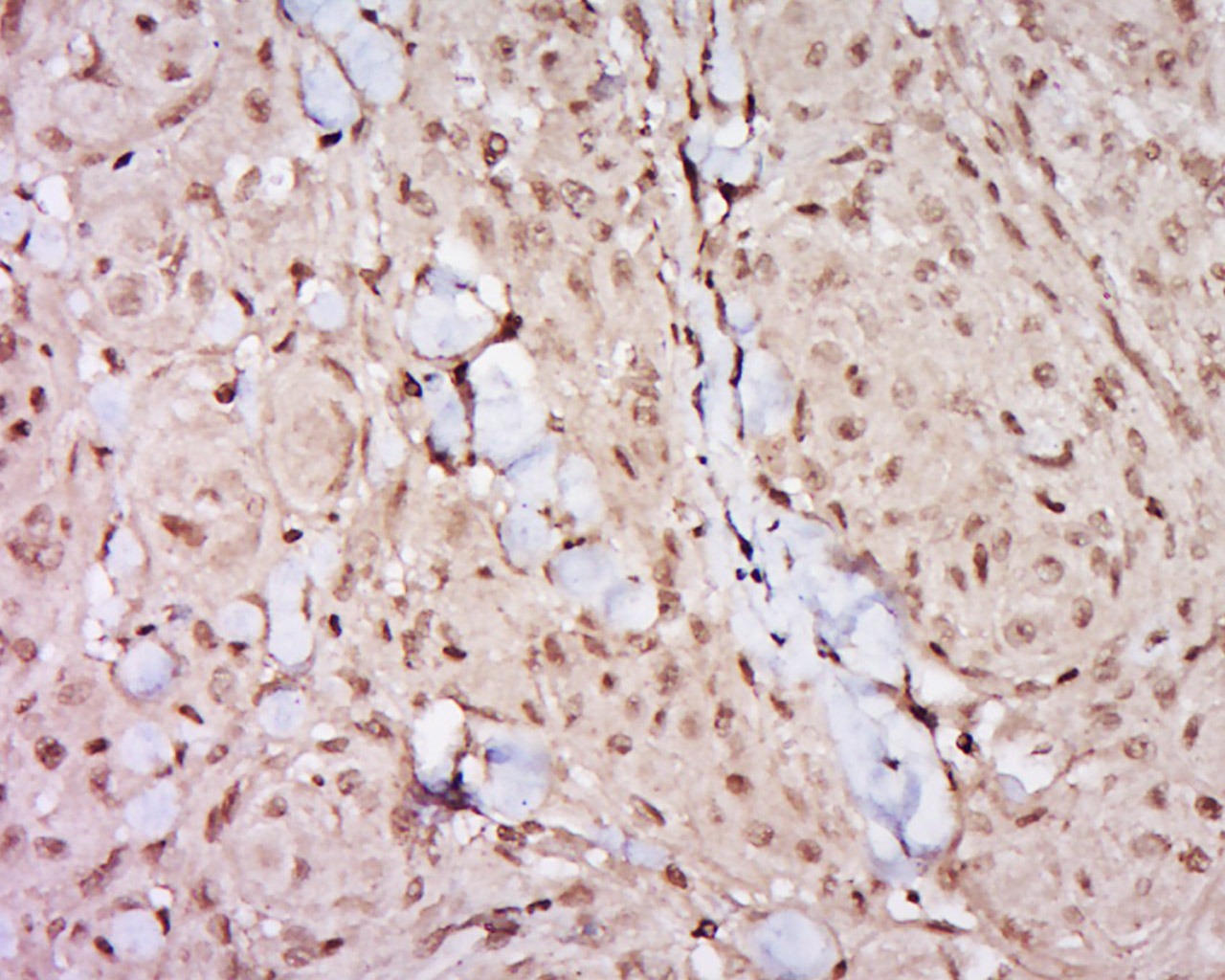
1. Tissue/cell: human meningioma; 4% Paraformaldehyde-fixed and paraffin-embedded;
Antigen retrieval: citrate buffer (0.01M, pH6.0), Boiling bathing for 15 min; Block endogenous peroxidase by 3% Hydrogen peroxide for 30 min; Blocking buffer (normal goat serum) at 37°C for 20 min;
Incubation: Anti-GATA3 Polyclonal Antibody, Unconjugated (TMAB-00748) 1:500, overnight at 4°C, followed by conjugation to the secondary antibody and DAb staining.
2. Blank control: Molt-4. Primary Antibody (green line): Rabbit Anti-GATA3 antibody (TMAB-00748)
Dilution: 1 μg/10^6 cells;
Isotype Control Antibody (orange line): Rabbit IgG.
Secondary Antibody: Goat anti-rabbit IgG-AF647
Dilution: 1 μg/test.
Protocol
The cells were fixed with 4% PFA (10 min at room temperature) and then permeabilized with 90% ice-cold methanol for 20 min at-20°C. The cells were then incubated in 5% BSA to block non-specific protein-protein interactions for 30 min at at room temperature. Cells stained with Primary Antibody for 30 min at room temperature. The secondary antibody used for 40 min at room temperature.
verifiedActivityverifiedActivity
应用FCMIFIHC-FrIHC-P
推荐剂量
IHC-P: 1:100-500; IHC-Fr: 1:100-500; IF: 1:100-500; FCM: 1ug/test
抗体种类
Polyclonal
宿主来源Rabbit
亚细胞定位Nucleus.
组织特异性T-cells and endothelial cells.
构建方式Polyclonal Antibody
纯化方式Protein A purified
性状Liquid
缓冲液0.01M TBS (pH7.4) with 1% BSA, 0.02% Proclin300 and 50% Glycerol.
浓度1 mg/mL
研究背景Members of the GATA family share a conserved zinc finger DNA-binding domain and are capable of binding the WGATAR consensus sequence. GATA-1 is erythroid-specific and is responsible for the regulated transcription of erythroid genes. It is an essential component in the generation of the erythroid lineage. GATA-2 is expressed in embryonic brain and liver, HeLa and endothelial cells, as well as in erythroid cells. Studies with a modified GATA consensus sequence, AGATCTTA, have shown that GATA-2 and GATA-3 recognize this mutated consensus while GATA-1 has poor recognition of this sequence. This indicates broader regulatory capabilities of GATA-2 and GATA-3 than GATA-1. GATA-3 is highly expressed in T lymphocytes. GATA-4, GATA-5 and GATA-6 comprise a subfamily of transcription factors. Both GATA-4 and GATA-6 are found in heart, pancreas and ovary; lung and liver tissues exhibit GATA-6, but not GATA-4 expression. GATA-5 expression has been observed in differentiated heart and gut tissues and is present throughout the course of development in the heart. Although expression patterns of the various GATA transcription factors may overlap, it is not yet apparent how the GATA factors are able to discriminate in binding their appropriate target sites.
抗原信息
免疫原
KLH conjugated synthetic peptide: human GATA3
抗原种属
Human
基因名称
GATA3
基因ID
蛋白名称
Trans-acting T-cell-specific transcription factor GATA-3
Uniprot ID
研究领域
Ectoderm,ChIP antibodies,Zinc Finger,Non-CD,Ectoderm
功能
Transcriptional activator which binds to the enhancer of the T-cell receptor alpha and delta genes. Binds to the consensus sequence 5'-AGATAG-3'.
化学信息
分子量Theoretical: 49 kDa.
储存&溶解度
储存方式Store at -20°C or -80°C for 12 months. Avoid repeated freeze-thaw cycles.
运输方式Shipping with blue ice.

计算器

  • 稀释 计算器
  • 配液 计算器
Related Tags: buy Anti-GATA3 Polyclonal Antibody | purchase Anti-GATA3 Polyclonal Antibody | Anti-GATA3 Polyclonal Antibody cost | order Anti-GATA3 Polyclonal Antibody | Anti-GATA3 Polyclonal Antibody molecular weight