购物车
  • 全部删除
  • TargetMol
    您的购物车当前为空

Anti-CD40 Ligand Antibody (1A416)

Rating icon 还可以
产品编号 TMAC-00711
别名 TRAP, TNFSF5IMD3, TNFSF5, T-BAM, IMD3, IGM, HIGM1, gp39, CD40LIGM, CD40LG, CD40L, CD40 Ligand, CD154

Anti-CD40 Ligand Antibody (1A416) 是一种 Rabbit 抗体,靶向 CD40 Ligand。Anti-CD40 Ligand Antibody (1A416) 可用于 FCM,ICC/IF,IHC,WB。

Anti-CD40 Ligand Antibody (1A416)

Anti-CD40 Ligand Antibody (1A416)

一键复制产品信息
Rating icon 还可以
产品编号 TMAC-00711 别名 TRAP, TNFSF5IMD3, TNFSF5, T-BAM, IMD3, IGM, HIGM1, gp39, CD40LIGM, CD40LG, CD40L, CD40 Ligand, CD154

Anti-CD40 Ligand Antibody (1A416) 是一种 Rabbit 抗体,靶向 CD40 Ligand。Anti-CD40 Ligand Antibody (1A416) 可用于 FCM,ICC/IF,IHC,WB。

规格价格库存数量
50 μL
¥ 1,490
5日内发货
100 μL
¥ 2,495
5日内发货
大包装 & 定制
加入购物车
TargetMol 的所有产品仅用作科学研究或药证申报,不能被用于人体,我们不向个人提供产品和服务。请您遵守承诺用途,不得违反法律法规规定用于任何其他用途。
实验操作小课堂
常见问题解答
查看更多
联系我们获取更多批次信息
资源下载

产品介绍

生物活性
产品描述
Anti-CD40 Ligand Antibody (1A416) is a Rabbit antibody targeting CD40 Ligand. Anti-CD40 Ligand Antibody (1A416) can be used in FCM,ICC/IF,IHC,WB.
别名TRAP, TNFSF5IMD3, TNFSF5, T-BAM, IMD3, IGM, HIGM1, gp39, CD40LIGM, CD40LG, CD40L, CD40 Ligand, CD154
Ig Type
IgG
克隆号
1A416
交叉反应
Human,Mouse,Rat
验证活性
1. Western blot analysis of CD40L on different cells lysates using anti-CD40L antibody at 1/500 dilution. Positive control: Lane 1: Hela, Lane 2: Mouse liver.
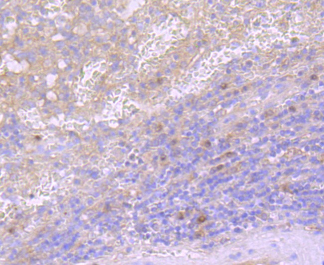
2. Immunohistochemical analysis of paraffin-embedded human spleen tissue using anti- CD40L antibody. Counter stained with hematoxylin.
3. ICC staining CD40L in Hela cells (red). The nuclear counter stain is DAPI (blue). Cells were fixed in paraformaldehyde, permeabilised with 0.25% Triton X100/PBS.
4. ICC staining CD40L in MCF-7 cells (red). The nuclear counter stain is DAPI (blue). Cells were fixed in paraformaldehyde, permeabilised with 0.25% Triton X100/PBS.
5. ICC staining CD40L in NIH-3T3 cells (green). The nuclear counter stain is DAPI (blue). Cells were fixed in paraformaldehyde, permeabilised with 0.25% Triton X100/PBS.
6. Flow cytometric analysis of THP-1 cells with CD40L antibody at 1/50 dilution (red) compared with an unlabelled control (cells without incubation with primary antibody; black). Alexa Fluor 488-conjugated goat anti rabbit IgG was used as the secondary antibody.
verifiedActivityverifiedActivityverifiedActivityverifiedActivityverifiedActivityverifiedActivity
应用FCMICC/IFIHCWB
推荐剂量
WB: 1:500-1000; IHC: 1:50-200; ICC/IF: 1:50-200; FCM: 1:50-100
抗体种类
Monoclonal
宿主来源Rabbit
构建方式Recombinant Antibody
纯化方式ProA affinity purified
性状Liquid
缓冲液1*TBS (pH7.4), 1%BSA, 40%Glycerol. Preservative: 0.05% Sodium Azide.
研究背景Resting B cells can be activated and clonally expanded into antibody-producing cells in response to a combination of cell contact and soluble signals provided by primed helper T (Th) cells. While cytokines IL-4 and IL-13 alone are inadequate for B cell activation, contact with Th cells seems to be sufficient for delivery of proliferative signals. CD40 and CD154 (also designated CD40L or TRAP) comprise a receptor ligand pair central to the transmission of this signal. CD40 is expressed on the surface of B cells and CD154 is expressed on activated T cells. In the presence of such stimulus, IL-4 and IL-13 are capable of triggering immunoglobulin class switching and secretion of IgE. CD154 is a 261 amino acid protein that is is expressed as a soluble cytokine as well as a homotrimeric type II transmembrane protein. Its expression is tightly regulated, and abnormal levels of CD154 are associated with the pathogenesis of atheromatous plaque destabilization and thrombotic events. Mutations in the gene encoding for CD154 are implicated in hyper-IgM immunodeficiency syndrome type 1.
偶联与修饰
偶联
Unconjugated
抗原信息
免疫原
Recombinant Protein
Uniprot ID
化学信息
分子量Theoretical: 36 kDa.
存储&运输
储存方式Store at -20°C or -80°C for 12 months. Avoid repeated freeze-thaw cycles.
运输方式Shipping with blue ice.

计算器

  • 稀释 计算器

关键词

评论列表

4个月前
5.0
Rating icon 很棒

评论内容

Related Tags: buy Anti-CD40 Ligand Antibody (1A416) | purchase Anti-CD40 Ligand Antibody (1A416) | Anti-CD40 Ligand Antibody (1A416) cost | order Anti-CD40 Ligand Antibody (1A416) | Anti-CD40 Ligand Antibody (1A416) molecular weight