购物车
  • TargetMol
    您的购物车当前为空

Anti-CBX3 Antibody (8Z290)

Synonyms: Modifier 2 protein, HP1Hs gamma, HP1 gamma homolog, HP1 gamma, Heterochromatin protein HP1 gamma, Heterochromatin protein 1 homolog gamma, Heterochromatin like protein 1, HECH, GAMMA, Chromobox protein homolog 3, Chromobox homolog 3 (HP1 gamma homolog, Drosophila), Chromobox homolog 3, CBX3_HUMAN, CBX3, CBX 3
货号 TMAC-02003 一键复制产品信息
Rating icon 还可以
202603开学季活动

Anti-CBX3 Antibody (8Z290) 是一种 Rabbit 抗体,靶向 CBX3。Anti-CBX3 Antibody (8Z290) 可用于 FCM,IHC,IP,WB。

Anti-CBX3 Antibody (8Z290)

一键复制产品信息
Rating icon 还可以
202603开学季活动
货号 TMAC-02003

别名 Modifier 2 protein, HP1Hs gamma, HP1 gamma homolog, HP1 gamma, Heterochromatin protein HP1 gamma, Heterochromatin protein 1 homolog gamma, Heterochromatin like protein 1, HECH, GAMMA, Chromobox protein homolog 3, Chromobox homolog 3 (HP1 gamma homolog, Drosophila), Chromobox homolog 3, CBX3_HUMAN, CBX3, CBX 3

Anti-CBX3 Antibody (8Z290) 是一种 Rabbit 抗体,靶向 CBX3。Anti-CBX3 Antibody (8Z290) 可用于 FCM,IHC,IP,WB。

Anti-CBX3 Antibody (8Z290)
规格价格库存数量
50 μL
¥ 1,480
5日内发货
100 μL
¥ 2,480
5日内发货
库存状态实时更新,以官网显示为准,现货产品可直接加购物车下单
大包装 & 定制
加入购物车

TargetMol的所有产品仅用作科学研究或药证申报,不能被用于人体,我们不向个人提供产品和服务。请您遵守承诺用途,不得违反法律法规规定用于任何其他用途。

实验操作小课堂
常见问题解答
查看更多

资源下载:产品操作手册

产品介绍


生物活性
产品描述
Anti-CBX3 Antibody (8Z290) is a Rabbit antibody targeting CBX3. Anti-CBX3 Antibody (8Z290) can be used in FCM,IHC,IP,WB.
别名
Modifier 2 protein, HP1Hs gamma, HP1 gamma homolog, HP1 gamma, Heterochromatin protein HP1 gamma, Heterochromatin protein 1 homolog gamma, Heterochromatin like protein 1, HECH, GAMMA, Chromobox protein homolog 3, Chromobox homolog 3 (HP1 gamma homolog, Drosophila), Chromobox homolog 3, CBX3_HUMAN, CBX3, CBX 3
Ig Type
IgG
克隆号
8Z290
反应种属
Human,Mouse,Rat
验证活性
1. Western blot analysis of HP1 gamma on PC-12 (1) and MCF-7 (2) cell lysate using anti-HP1 gamma antibody at 1/500 dilution.
2. Immunohistochemical analysis of paraffin-embedded rat testis tissue using anti-HP1 gamma antibody. Counter stained with hematoxylin.
3. Immunohistochemical analysis of paraffin-embedded human tonsil tissue using anti-HP1 gamma antibody. Counter stained with hematoxylin.
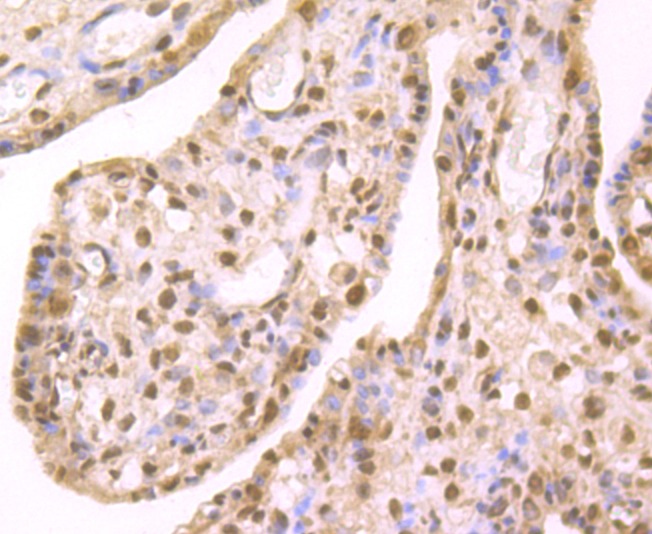
4. Immunohistochemical analysis of paraffin-embedded human placenta tissue using anti-HP1 gamma antibody. Counter stained with hematoxylin.
5. Immunohistochemical analysis of paraffin-embedded mouse colon tissue using anti-HP1 gamma antibody. Counter stained with hematoxylin.
6. Flow cytometric analysis of Hela cells with HP1 gamma antibody at 1/100 dilution (red) compared with an unlabelled control (cells without incubation with primary antibody; black). Alexa Fluor® 488-conjugated goat anti-rabbit IgG was used as the secondary antibody.
verifiedActivityverifiedActivityverifiedActivityverifiedActivityverifiedActivityverifiedActivity
应用FCMIHCIPWB
推荐剂量
WB: 1:500; IHC: 1:50-200; IP: 1:10-50; FCM: 1:50-100
抗体种类
Monoclonal
宿主来源Rabbit
构建方式Recombinant Antibody
纯化方式ProA affinity purified
性状Liquid
缓冲液1*TBS (pH7.4), 1%BSA, 40%Glycerol. Preservative: 0.05% Sodium Azide.
研究背景Chromatin assembly factor-1 (CAF-1) is a multisubunit protein complex that comprises three polypeptide subunits known as p150, p60, and p48. CAF-1 is a nucleosome assembly factor that deposits newly synthesized and acetylated histones H3/H4 into nascent chromatin during DNA replication. The p150 subunit of CAF-1 also supports the maintenance of heterochromatin, which requires the synthesis of both new histones and heterochromatin proteins and their orderly assembly during DNA replication. Heterochromatin is characterized as densely coiled chromatin that generally replicates late during S phase, has a low gene density, and contains large blocks of repetitive DNA that is relatively inaccessible to DNA-modifying reagents. In late S phase, p150 directly associates with heterochromatin associated proteins 1 (HP1α, HP1β and HP1γ). As cells prepare for mitosis, CAF-1 p150 and some HP1 progressively dissociate from heterochromatin, coinciding with the phosphorylation of Histone H3. The HP1 proteins reassociate with chromatin at the end of mitosis, as Histone H3 is dephosphorylated.
偶联与修饰
偶联
Unconjugated
抗原信息
免疫原
Recombinant Protein
Uniprot ID
化学信息
分子量Theoretical: 20 kDa.
储存&溶解度
储存方式Store at -20°C or -80°C for 12 months. Avoid repeated freeze-thaw cycles.
运输方式Shipping with blue ice.

计算器

  • 稀释 计算器
  • 配液 计算器
Related Tags: buy Anti-CBX3 Antibody (8Z290) | purchase Anti-CBX3 Antibody (8Z290) | Anti-CBX3 Antibody (8Z290) cost | order Anti-CBX3 Antibody (8Z290) | Anti-CBX3 Antibody (8Z290) molecular weight