购物车
  • TargetMol
    您的购物车当前为空

Anti-Aurora B Antibody (9I737)

Synonyms: STK5, STK12, STK-1, STK1, serine/threonine-protein kinase aurora-B, serine/threonine kinase 12, IPL1, aurora-related kinase 2, aurora-B, aurora-and Ipl1-like midbody-associated protein 1, aurora-1, aurora/IPL1-related kinase 2, aurora kinase B-Sv2, aurora kinase B-Sv1, aurkb-sv2, aurkb-sv1, AURKB, AurB, ARK-2, AIRK2, AIM-1, AIM1, AIK2
货号 TMAB-00174 一键复制产品信息
Rating icon 还可以

Anti-Aurora B Antibody (9I737) 是一种 Rabbit 抗体,靶向 Aurora B。Anti-Aurora B Antibody (9I737) 可用于 ICC/IF, IF, IHC-Fr, IHC-P, WB。

Anti-Aurora B Antibody (9I737)

一键复制产品信息
Rating icon 还可以
货号 TMAB-00174

别名 STK5, STK12, STK-1, STK1, serine/threonine-protein kinase aurora-B, serine/threonine kinase 12, IPL1, aurora-related kinase 2, aurora-B, aurora-and Ipl1-like midbody-associated protein 1, aurora-1, aurora/IPL1-related kinase 2, aurora kinase B-Sv2, aurora kinase B-Sv1, aurkb-sv2, aurkb-sv1, AURKB, AurB, ARK-2, AIRK2, AIM-1, AIM1, AIK2

Anti-Aurora B Antibody (9I737) 是一种 Rabbit 抗体,靶向 Aurora B。Anti-Aurora B Antibody (9I737) 可用于 ICC/IF, IF, IHC-Fr, IHC-P, WB。

Anti-Aurora B Antibody (9I737)
规格价格库存数量
25 μL
¥ 785
5日内发货
50 μL
¥ 1,395
5日内发货
100 μL
¥ 2,490
5日内发货
库存状态实时更新,以官网显示为准,现货产品可直接加购物车下单
大包装 & 定制
加入购物车

TargetMol的所有产品仅用作科学研究或药证申报,不能被用于人体,我们不向个人提供产品和服务。请您遵守承诺用途,不得违反法律法规规定用于任何其他用途。

实验操作小课堂
常见问题解答
查看更多

资源下载:产品操作手册

产品介绍


生物活性
产品描述
Anti-Aurora B Antibody (9I737) is a Rabbit antibody targeting Aurora B. Anti-Aurora B Antibody (9I737) can be used in ICC/IF, IF, IHC-Fr, IHC-P, WB.
别名
STK5, STK12, STK-1, STK1, serine/threonine-protein kinase aurora-B, serine/threonine kinase 12, IPL1, aurora-related kinase 2, aurora-B, aurora-and Ipl1-like midbody-associated protein 1, aurora-1, aurora/IPL1-related kinase 2, aurora kinase B-Sv2, aurora kinase B-Sv1, aurkb-sv2, aurkb-sv1, AURKB, AurB, ARK-2, AIRK2, AIM-1, AIM1, AIK2
Ig Type
IgG
克隆号
9I737
反应种属
Human,Mouse
验证活性
1. Sample:
Lane 1: Human Hela cell Lysates
Lane 2: Human 293T cell Lysates
Primary: Anti-Aurora B (TMAB-00174) at 1/1000 dilution
Secondary: IRDye800CW Goat Anti-Rabbit IgG at 1/20000 dilution
Predicted band size: 39 kDa
Observed band size: 35 kDa
2. Blocking buffer: 5% NFDM/TBST
Primary dilution: 1:1000
Primary incubation condition: 2 hours at room temperature
Secondary: Goat Anti-Rabbit IgG H&L (HRP)
Lysate: 1: HeLa, 2: 293, 3: A20
Protein loading quantity: 20 μg
Exposure time: 30 s
Predicted MW: 39 kDa
Observed MW: 39 kDa
3. Cell line: A549
Fixative: 100% Ice-cold methanol
Permeabilization: 0.1% TritonX-100
Primary dilution: 1:50
Primary incubation condition: 4°C overnight
Secondary: Goat Anti-Rabbit IgG
Nuclear counter stain: DAPI (Blue)
Comment: Color green is the positive signal for TMAB-00174
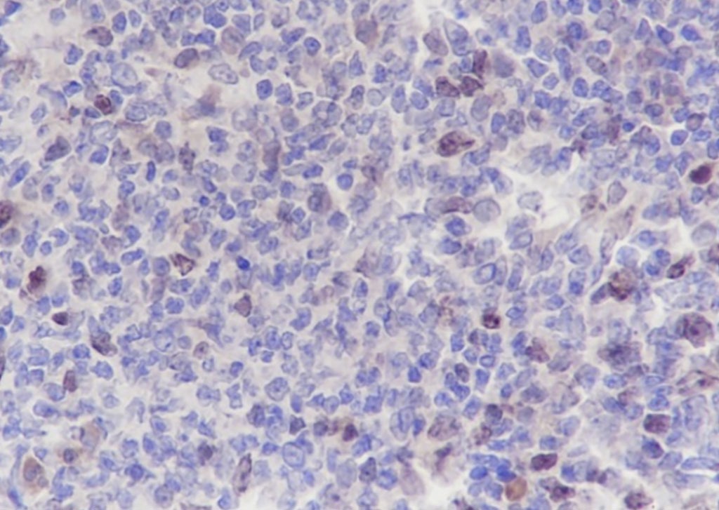
4. Tissue: Human tonsil
Section type: Formalin fixed & Paraffin-embedded section
Retrieval method: High temperature and high pressure
Retrieval buffer: Tris/EDTA buffer, pH9.0 Primary dilution: 1:100
Primary incubation condition: 1 hour at room temperature
Secondary: SP Kit (Rabbit)
Counter stain: Hematoxylin (Blue)
Comment: Color brown is the positive signal for TMAB-00174
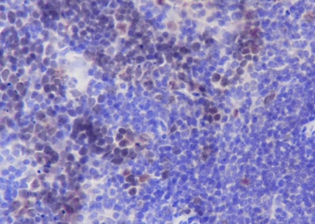
5. Tissue: Mouse spleen
Section type: Formalin fixed & Paraffin-embedded section
Retrieval method: High temperature and high pressure
Retrieval buffer: Tris/EDTA buffer, pH9.0 Primary dilution: 1:100
Primary incubation condition: 1 hour at room temperature
Secondary: SP Kit (Rabbit)
Counter stain: Hematoxylin (Blue)
Comment: Color brown is the positive signal for TMAB-00174
verifiedActivityverifiedActivityverifiedActivityverifiedActivityverifiedActivity
应用ICC/IFIFIHC-FrIHC-PWB
推荐剂量
ICC/IF=1:50-200; IF=1:50-200; IHC-Fr=1:50-200; IHC-P=1:50-200; WB=1:500-2000
抗体种类
Monoclonal
宿主来源Rabbit
亚细胞定位Nucleus. Chromosome. Chromosome, centromere. Cytoplasm, cytoskeleton, spindle. Note=Localizes on chromosome arms and inner centromeres from prophase through metaphase and then transferring to the spindle midzone and midbody from anaphase through cytokinesis. Colocalized with gamma tubulin in the mid-body. Proper localization of the active, Thr-232-phosphorylated form during metaphase may be dependent upon interaction with SPDYC.
组织特异性High level expression seen in the thymus. It is also expressed in the spleen, lung, testis, colon, placenta and fetal liver. Expressed during S and G2/M phase and expression is up-regulated in cancer cells during M phase.
构建方式Recombinant Antibody
纯化方式Protein G purified
性状Liquid
缓冲液0.01M TBS (pH7.4) with 1% BSA, 0.02% Proclin300 and 50% Glycerol.
浓度1 mg/mL
研究背景This gene encodes a member of the aurora kinase subfamily of serine/threonine kinases. The genes encoding the other two members of this subfamily are located on chromsomes 19 and 20. These kinases participate in the regulation of segregation of chromosomes during mitosis and meiosis through association with microtubules. A pseudogene of this gene is located on chromosome 8. Multiple transcript variants encoding different isoforms have been found for this gene. [provided by RefSeq, Feb 2012].
抗原信息
免疫原
KLH conjugated synthetic peptide: human Aurora B
抗原种属
Human
基因名称
AURKB
基因ID
蛋白名称
Aurora kinase B
Uniprot ID
研究领域
Aurora,Aurora,Phosphorylation,Aurora
功能
Serine/threonine-protein kinase component of the chromosomal passenger complex (CPC), a complex that acts as a key regulator of mitosis. The CPC complex has essential functions at the centromere in ensuring correct chromosome alignment and segregation and is required for chromatin-induced microtubule stabilization and spindle assembly. Involved in the bipolar attachment of spindle microtubules to kinetochores and is a key regulator for the onset of cytokinesis during mitosis. Required for central/midzone spindle assembly and cleavage furrow formation. AURKB phosphorylates the CPC complex subunits BIRC5/survivin, CDCA8/borealin and INCENP. Phosphorylation of INCENP leads to increased AURKB activity. Other known AURKB substrates involved in centromeric functions and mitosis are CENPA, DES/desmin, GPAF, KIF2C, NSUN2, RACGAP1, SEPT1, VIM/vimentin, GSG2/Haspin, and histone H3. A positive feedback loop involving GSG2 and AURKB contributes to localization of CPC to centromeres. Phosphorylation of VIM controls vimentin filament segregation in cytokinetic process, whereas histone H3 is phosphorylated at 'Ser-10' and 'Ser-28' during mitosis. A positive feedback between GSG2 and AURKB contributes to CPC localization. AURKB is also required for kinetochore localization of BUB1 and SGOL1. Phosphorylation of p53/TP53 negatively regulates its transcriptional activity.
化学信息
分子量Theoretical: 39 kDa. Actual: 35 kDa.
储存&溶解度
储存方式Store at -20°C or -80°C for 12 months. Avoid repeated freeze-thaw cycles.
运输方式Shipping with blue ice.

计算器

  • 稀释 计算器
  • 配液 计算器
Related Tags: buy Anti-Aurora B Antibody (9I737) | purchase Anti-Aurora B Antibody (9I737) | Anti-Aurora B Antibody (9I737) cost | order Anti-Aurora B Antibody (9I737) | Anti-Aurora B Antibody (9I737) molecular weight