购物车
  • TargetMol
    您的购物车当前为空

Anti-Androgen receptor Antibody (3T582)

Synonyms: Nuclear receptor subfamily 3 group C member 4, NR3C4, Dihydrotestosterone receptor, DHTR, AR, Androgen receptor
货号 TMAC-00200Cas号 一键复制产品信息纯度:
Rating icon 还可以

Anti-Androgen receptor Antibody (3T582) 是一种 Rabbit 抗体,靶向 Androgen receptor。Anti-Androgen receptor Antibody (3T582) 可用于 FCM,ICC/IF,IHC,WB。

Anti-Androgen receptor Antibody (3T582)

一键复制产品信息
Rating icon 还可以
货号 TMAC-00200

别名 Nuclear receptor subfamily 3 group C member 4, NR3C4, Dihydrotestosterone receptor, DHTR, AR, Androgen receptor

Anti-Androgen receptor Antibody (3T582) 是一种 Rabbit 抗体,靶向 Androgen receptor。Anti-Androgen receptor Antibody (3T582) 可用于 FCM,ICC/IF,IHC,WB。

Anti-Androgen receptor Antibody (3T582)
规格价格库存数量
50 μL
¥ 1,490
5日内发货
100 μL
¥ 2,485
5日内发货
库存状态实时更新,以官网显示为准,现货产品可直接加购物车下单
大包装 & 定制
加入购物车

TargetMol的所有产品仅用作科学研究或药证申报,不能被用于人体,我们不向个人提供产品和服务。请您遵守承诺用途,不得违反法律法规规定用于任何其他用途。

实验操作小课堂
常见问题解答
查看更多

资源下载:产品操作手册

产品介绍


生物活性
产品描述
Anti-Androgen receptor Antibody (3T582) is a Rabbit antibody targeting Androgen receptor. Anti-Androgen receptor Antibody (3T582) can be used in FCM,ICC/IF,IHC,WB.
别名
Nuclear receptor subfamily 3 group C member 4, NR3C4, Dihydrotestosterone receptor, DHTR, AR, Androgen receptor
Ig Type
IgG
克隆号
3T582
反应种属
Human
验证活性
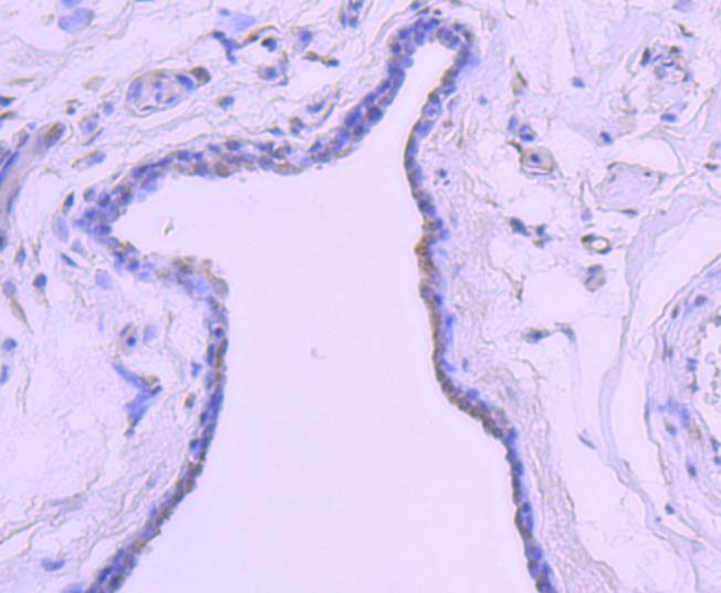
1. Immunohistochemical analysis of paraffin-embedded human breast carcinoma tissue using anti-Androgen receptor antibody. Counter stained with hematoxylin.
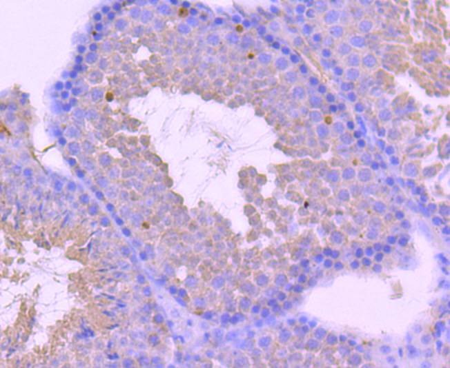
2. Immunohistochemical analysis of paraffin-embedded mouse testis tissue using anti-Androgen receptor antibody. Counter stained with hematoxylin.
3. ICC staining Androgen receptor in PC-3M cells (green). The nuclear counter stain is DAPI (blue). Cells were fixed in paraformaldehyde, permeabilised with 0.25% Triton X100/PBS.
4. ICC staining Androgen receptor in N2A cells (green). The nuclear counter stain is DAPI (blue). Cells were fixed in paraformaldehyde, permeabilised with 0.25% Triton X100/PBS.
5. ICC staining Androgen receptor in MCF-7 cells (green). The nuclear counter stain is DAPI (blue). Cells were fixed in paraformaldehyde, permeabilised with 0.25% Triton X100/PBS.
6. Flow cytometric analysis of MCF-7 cells with Androgen receptor antibody at 1/50 dilution (red) compared with an unlabelled control (cells without incubation with primary antibody; black). Alexa Fluor 488-conjugated goat anti rabbit IgG was used as the secondary antibody.
verifiedActivityverifiedActivityverifiedActivityverifiedActivityverifiedActivityverifiedActivity
应用FCMICC/IFIHCWB
推荐剂量
WB: 1:500-1000; IHC: 1:50-100; ICC/IF: 1:50-200
抗体种类
Monoclonal
宿主来源Rabbit
构建方式Recombinant Antibody
纯化方式ProA affinity purified
性状Liquid
缓冲液1*TBS (pH7.4), 1%BSA, 40%Glycerol. Preservative: 0.05% Sodium Azide.
研究背景Androgens exhibit a wide range of effects on the development, maintenance and regulation of male phenotype and male reproductive physiology. The androgen receptor (AR) is a member of the steroid superfamily of ligand-dependent transcription factors. ARs bind the two biologically active androgens, testosterone (T) and dihydrotestosterone (DHT), with high and nearly identical affinities; however, the rates of association and dissociation of T are about three times more rapid than those of DHT. This difference has resulted in speculation as to whether these differences in binding kinetics could account for the different physiological effects of T and DHT. A striking feature of AR is its rapid degradation in the absence of ligand. It is now well established that androgen binding results in an at least six-fold increase in androgen stability and that ligand-induced stabilization of AR is highly androgen- specific.
偶联与修饰
偶联
Unconjugated
抗原信息
免疫原
Recombinant Protein
Uniprot ID
化学信息
分子量Theoretical: 99 kDa.
储存&溶解度
储存方式Store at -20°C or -80°C for 12 months. Avoid repeated freeze-thaw cycles.
运输方式Shipping with blue ice.

计算器

  • 稀释 计算器
  • 配液 计算器

关键词

Related Tags: buy Anti-Androgen receptor Antibody (3T582) | purchase Anti-Androgen receptor Antibody (3T582) | Anti-Androgen receptor Antibody (3T582) cost | order Anti-Androgen receptor Antibody (3T582) | Anti-Androgen receptor Antibody (3T582) molecular weight